相关产品推荐更多 >
万千商家帮你免费找货
0 人在求购买到急需产品
- 详细信息
- 文献和实验
- 技术资料
- 免疫原:
BALB/C mice were immunized with solubilized keratin extract from human stratum corneum.
- 亚型:
IgG1
- 形态:
Liquid
- 保存条件:
Store as concentrated solution. Centrifuge briefly prior to opening vial. Store at 4ºC.
- 克隆性:
Monoclonal
- 标记物:
Unconjugated
- 适应物种:
Human
- 保质期:
12 months from the shipping date of the product.
- 抗原来源:
Human
- 目录编号:
GTX73466
- 级别:
Primary Antibodies
- 库存:
Available
- 供应商:
GeneTex
- 宿主:
Mouse
- 应用范围:
IHC-P
- 浓度:
Batch dependent (Please refer to the vial label for the specific concentration.)
- 靶点:
HMW Cytokeratin
- 抗体英文名:
HMW Cytokeratin antibody [34βE12] (ready-to-use)
- 抗体名:
HMW Cytokeratin 抗体 [34βE12] (ready-to-use)
- 规格:
6 ml
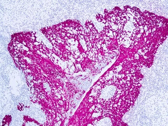
IHC-P analysis of human prostate tissue using GTX73466 Cytokeratin high MW antibody [34βE12] (ready-to-use).
风险提示:丁香通仅作为第三方平台,为商家信息发布提供平台空间。用户咨询产品时请注意保护个人信息及财产安全,合理判断,谨慎选购商品,商家和用户对交易行为负责。对于医疗器械类产品,请先查证核实企业经营资质和医疗器械产品注册证情况。
文献和实验Chen J et al., Dermatology 2021 (PMID:34515096)
Yang CF et al., Am J Hum Genet 2018 (PMID:29336782)
Use of In Vivo Biotinylation for Chromatin Immunoprecipitation
. van Werven, F.J. and Timmers, H.T. 2006. The use of biotin tagging in Saccharomyces cerevisiae improves the sensitivity of chromatin immunoprecipitation. Nucleic Acids Res. 34:e33
, with or without accentuation beneath the cell membrane or in paranuclear region.- This antibody stains stratified squamous epithelium and squamous cell carcinomas particularly well.- Major applications:a) 34 E12 stains the basal cells of the prostate, i.e. normal/reactive
Staining protocols for placental explant cultures
-cytokeratin 7 (OV-TL 12/30; Dako; use at 1/50). This identifies the outgrowing cells unequivocally as trophoblast. Anticytokeratin 8/18 can be used for marking cells (e.g CAM5.2, Beckton-Dickenson) but beware that some placental fibroblasts express this marker
技术资料暂无技术资料 索取技术资料







![ERAB antibody [N2C3]](https://img1.dxycdn.com/2023/0516/407/0466332107306928561-14.jpg!wh200)

