相关产品推荐更多 >
万千商家帮你免费找货
0 人在求购买到急需产品
- 详细信息
- 文献和实验
- 技术资料
- 免疫原:
Recombinant protein expressed in E. coli corresponding to amino acids 2577-3056.
- 亚型:
IgG1
- 形态:
Liquid
- 保存条件:
Store as concentrated solution. Centrifuge briefly prior to opening vial. For short-term storage (1-2 weeks), store at 4ºC. For long-term storage, aliquot and store at -20ºC or below. Avoid multiple freeze-thaw cycles.
- 克隆性:
Monoclonal
- 标记物:
Unconjugated
- 适应物种:
Human, Mouse, Rat, Monkey
- 保质期:
12 months from the shipping date of the product.
- 抗原来源:
Human
- 目录编号:
GTX70103
- 级别:
Primary Antibodies
- 库存:
Available
- 供应商:
GeneTex
- 宿主:
Mouse
- 应用范围:
WB, ICC/IF, IHC-P, FACS, IP, ELISA, ChIP assay, IHC
- 浓度:
1 mg/ml (Please refer to the vial label for the specific concentration.)
- 靶点:
ATM
- 抗体英文名:
ATM antibody [2C1]
- 抗体名:
ATM 抗体 [2C1]
- 规格:
100 μl
Non-transfected (–) and transfected (+) HeLa whole cell extracts (60 μg) were separated by 5% SDS-PAGE, and the membrane was blotted with ATM antibody [2C1] (GTX70103) diluted at 1:500. The HRP-conjugated anti-mouse IgG antibody (GTX213111-01) was used to detect the primary antibody.
Untreated (–) and treated (+) 293T whole cell extracts (60 μg) were separated by 5% SDS-PAGE, and the membrane was blotted with ATM antibody [2C1] (GTX70103) diluted at 1:1000. The HRP-conjugated anti-mouse IgG antibody (GTX213111-01) was used to detect the primary antibody, and the signal was developed with Trident ECL plus-Enhanced.
Human Kidney (formalin-fixed, paraffin-embedded) stained with ATM antibody at 5 ug/ml followed by biotinylated anti-mouse IgG secondary antibody, alkaline phosphatase-streptavidin and chromogen.
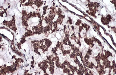
ATM antibody [2C1] detects ATM protein at nucleus by immunohistochemical analysis.
Sample: Paraffin-embedded human breast carcinoma.
ATM stained by ATM antibody [2C1] (GTX70103) diluted at 1:100.
Antigen Retrieval: Citrate buffer, pH 6.0, 15 min
Whole cell extract (30 μg) was separated by 5% SDS-PAGE, and the membrane was blotted with ATM antibody [2C1] (GTX70103) diluted at 1:1000.
Detection of human ATM protein using anti-ATM 2C1 monoclonal antibody (GTX70103) by western blot or immunoprecipitation.
Human Testis (formalin-fixed, paraffin-embedded) stained with ATM antibody at 5 ug/ml followed by biotinylated anti-mouse IgG secondary antibody, alkaline phosphatase-streptavidin and chromogen.
HeLa whole cell extract and nuclear extracts (30 μg) were separated by 5% SDS-PAGE, and the membrane was blotted with ATM antibody [2C1] (GTX70103) diluted at 1:500. The HRP-conjugated anti-mouse IgG antibody (GTX213111-01) was used to detect the primary antibody.
风险提示:丁香通仅作为第三方平台,为商家信息发布提供平台空间。用户咨询产品时请注意保护个人信息及财产安全,合理判断,谨慎选购商品,商家和用户对交易行为负责。对于医疗器械类产品,请先查证核实企业经营资质和医疗器械产品注册证情况。
文献和实验Wu CW et al., PLoS One 2013 (PMID:23437304)
Choi SY et al., Nucleic Acids Res 2013 (PMID:23303793)
Shi Y et al., PLoS One 2012 (PMID:23028957)
Baritaud M et al., Cell Death Dis 2012 (PMID:22972376)
Hardee ME et al., Cancer Res 2012 (PMID:22693253)
Mahajan K et al., J Biol Chem 2012 (PMID:22566699)
Hsu CC et al., J Biol Chem 2012 (PMID:22563078)
Xu Y et al., Int J Biochem Mol Biol 2011 (PMID:22187663)
Assaily W et al., Mol Cell 2011 (PMID:22055193)
Hada M et al., Mutat Res 2011 (PMID:21889946)
Gatei M et al., J Biol Chem 2011 (PMID:21757780)
Shouse GP et al., Oncogene 2011 (PMID:21460856)
Cherubini G et al., Nucleic Acids Res 2011 (PMID:21421559)
Urquhart AJ et al., Genome Integr 2011 (PMID:21219611)
Ruiz Z et al., Virology 2011 (PMID:21193212)
Guo Z et al., Cell Cycle 2010 (PMID:21150274)
Kozlov SV et al., J Biol Chem 2011 (PMID:21149446)
Powell MD et al., Proteomics Clin Appl 2010 (PMID:21137054)
Shanware NP et al., PLoS One 2010 (PMID:20730097)
Lee JH et al., Proc Natl Acad Sci U S A 2010 (PMID:20679231)
Fang Z et al., Genome Integr 2010 (PMID:20678261)
Ousset M et al., Cell Cycle 2010 (PMID:20676049)
Sakasai R et al., J Biol Chem 2010 (PMID:20304914)
Wilhelm MT et al., Genes Dev 2010 (PMID:20194434)
Kodama M et al., Mol Cell Biol 2010 (PMID:20123963)
Hu H et al., Proc Natl Acad Sci U S A 2010 (PMID:20080624)
Yoshida K et al., J Cell Sci 2010 (PMID:20048340)
So S et al., J Cell Biol 2009 (PMID:20026654)
Bolderson E et al., Nucleic Acids Res 2010 (PMID:20019063)
Nahas SA et al., Clin Chem 2009 (PMID:19147735)
Luo H et al., J Biol Chem 2008 (PMID:18442975)
Yalcin S et al., J Biol Chem 2008 (PMID:18424439)
Rimkus SA et al., Genes Dev 2008 (PMID:18408079)
Wei G et al., Cancer Res 2008 (PMID:18381427)
Sakasai R et al., J Biol Chem 2008 (PMID:18337245)
Hong X et al., Cancer Res 2007 (PMID:17671184)
Iwahori S et al., J Virol 2007 (PMID:17609267)
Fernandes ND et al., J Biol Chem 2007 (PMID:17426037)
Inoue Y et al., EMBO J 2007 (PMID:17380128)
Stauffer D et al., J Biol Chem 2007 (PMID:17272271)
Shi Y et al., J Biol Chem 2007 (PMID:17244605)
Geng L et al., Mol Cell Biol 2007 (PMID:17242184)
Gueven N et al., Neuroscience 2007 (PMID:17224243)
Shanware NP et al., J Biol Chem 2007 (PMID:17209043)
Ahmed KM et al., Mol Cancer Res 2006 (PMID:17189385)
Jiang X et al., J Biol Chem 2006 (PMID:16603769)
Gueven N et al., Cancer Res 2006 (PMID:16540636)
Shiotani B et al., Mol Cancer Res 2006 (PMID:16513843)
Freiberg RA et al., Mol Cell Biol 2006 (PMID:16478982)
Aglipay JA et al., J Biol Chem 2006 (PMID:16452482)
Wang HC et al., Cancer Res 2006 (PMID:16452194)
Pusapati RV et al., Proc Natl Acad Sci U S A 2006 (PMID:16432227)
Gibson SL et al., Cancer Res 2005 (PMID:16322218)
Dodson GE et al., J Biol Chem 2006 (PMID:16293623)
Shi Y et al., J Biol Chem 2005 (PMID:16221684)
Gueven N et al., Genes Chromosomes Cancer 2006 (PMID:16180236)
Sun Y et al., Proc Natl Acad Sci U S A 2005 (PMID:16141325)
Kim JS et al., J Cell Biol 2005 (PMID:16061690)
Young DB et al., J Biol Chem 2005 (PMID:15929992)
Fujiuchi N et al., J Biol Chem 2004 (PMID:14990579)
Panta GR et al., Mol Cell Biol 2004 (PMID:14966265)
Ali A et al., Genes Dev 2004 (PMID:14871926)
Qi J et al., Gene Ther 2004 (PMID:14681694)
Huang TT et al., Cell 2003 (PMID:14651848)
Naka K et al., J Biol Chem 2004 (PMID:14570874)
Shackelford RE et al., DNA Repair (Amst) 2003 (PMID:12967654)
Gueven N et al., Genes Chromosomes Cancer 2003 (PMID:12939743)
Cortes ML et al., Gene Ther 2003 (PMID:12883528)
Fedier A et al., Ann Oncol 2003 (PMID:12796033)
Scott SP et al., Proc Natl Acad Sci U S A 2002 (PMID:11805335)
Perkins EJ et al., Genes Dev 2002 (PMID:11799059)
Dork T et al., Cancer Res 2001 (PMID:11606401)
Smilenov LB et al., Cancer Res 2001 (PMID:11479203)
Weil MM et al., Oncogene 2001 (PMID:11466622)
Vemuri MC et al., Cell Death Differ 2001 (PMID:11319607)
Hu B et al., J Biol Chem 2001 (PMID:11278490)
Scherthan H et al., Mol Cell Biol 2000 (PMID:11003672)
Sible E et al., J Immunol 2023 (PMID:36603026)
Li J et al., Nucleic Acids Res 2022 (PMID:36200829)
Zhang Y et al., iScience 2022 (PMID:36185355)
Kim YH et al., Cells 2022 (PMID:36139416)
Vanessa Mordasini et al., Oncotarget 2017 (PMID:28031537)
Jingwen Li et al., RSC Adv 2019 (PMID:35540656)
Fangfang Wang et al., Acta Pharm Sin B 2022 (PMID:35530159)
Yang SC et al., Int J Mol Sci 2022 (PMID:35163553)
Zhang L et al., Nat Commun 2022 (PMID:35042897)
Bulut-Karslioglu A et al., Nat Commun 2021 (PMID:34381042)
Teng YN et al., Cells 2021 (PMID:34208028)
Saito Y et al., J Cell Sci 2020 (PMID:32434870)
Chen TY et al., Cell Death Differ 2021 (PMID:33462409)
Pan YR et al., Biomolecules 2020 (PMID:33182492)
Geng X et al., Biochem Pharmacol 2020 (PMID:32976831)
Analyzing the Regulation and Function of ATM
activity is measured using p531–44 -specific substrate or by immunoblotting extracts with an anti-phosphoserine 15 p53-specific antibody. Missense mutations affecting ATM kinase activity are detected using in vitro mutagenesis of ATM cDNA followed
祝贺〖雅裕睿安〗成为Signalway Antibody(SAB)独家
祝贺〖上海雅裕 〗成为 Signalway Antibody 品牌 (SAB) 的独家总代理。 促销【 ABCD 】细则如下: 【 A 】 买两支 SAB 抗体免费获得 8G 优盘 活动时间:即日起,至 2011 年
domains as well as ataxia telangiectasia mutated (ATM) protein kinase in cells treated with inhibitors of DNA replication. Phosphorylation of these proteins is detected in individual cell immunocytochemically with phospho-specific antibody (Ab
技术资料暂无技术资料 索取技术资料








![proBNP antibody [13G12]](https://img1.dxycdn.com/2023/0711/451/6106825198874858761-14.jpg!wh200)

