相关产品推荐更多 >
万千商家帮你免费找货
0 人在求购买到急需产品
- 详细信息
- 文献和实验
- 技术资料
- 免疫原:
BALB/C mice were injected with a synthetic peptide corresponding to the human androgen receptor.
- 亚型:
IgG1
- 形态:
Liquid
- 保存条件:
Store as concentrated solution. Centrifuge briefly prior to opening vial. Store at 4ºC.
- 克隆性:
Monoclonal
- 标记物:
Unconjugated
- 适应物种:
Human
- 保质期:
12 months from the shipping date of the product.
- 抗原来源:
Human
- 目录编号:
GTX29474
- 级别:
Primary Antibodies
- 库存:
Available
- 供应商:
GeneTex
- 宿主:
Mouse
- 应用范围:
IHC-P
- 浓度:
Batch dependent (Please refer to the vial label for the specific concentration.)
- 靶点:
This antibody reacts with full length AR and also with the newly described A form of the receptor. This antibody does not cross-react with estrogen, progesterone or glucocorticoid receptors.
- 抗体英文名:
Androgen Receptor antibody [AR 441]
- 抗体名:
Androgen Receptor 抗体 [AR 441]
- 规格:
250 μl
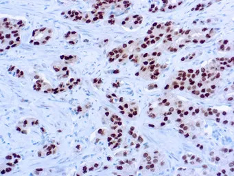
IHC-P analysis of human prostate carcinoma tissue using GTX29474 Androgen Receptor antibody [AR 441].
风险提示:丁香通仅作为第三方平台,为商家信息发布提供平台空间。用户咨询产品时请注意保护个人信息及财产安全,合理判断,谨慎选购商品,商家和用户对交易行为负责。对于医疗器械类产品,请先查证核实企业经营资质和医疗器械产品注册证情况。
文献和实验Yokoyama A et al., J Endocr Soc 2021 (PMID:34585037)
Yuan M et al., Med Sci Monit 2019 (PMID:31201297)
Onodera Y et al., Cancer Med 2016 (PMID:27333920)
Analysis of Androgen Receptor SUMOylation
Androgen receptor (AR) is a ligand-controlled transcription factor that is deregulated and therefore targeted in prostate cancer. In addition to androgens, AR is regulated by post-translational modifications (PTMs). SUMOylation, conjugation
Analysis of Interdomain Interactions of the Androgen Receptor
High-affinity binding of testosterone or dihydrotestosterone to the androgen receptor (AR) triggers the androgen-dependent AR NH2 - and carboxyl-terminal (N/C) interaction between the AR NH2 -terminal FXX LF motif and the activation function
In Vitro and In Vivo Silencing of the Androgen Receptor
The androgen receptor (AR) plays a pivotal role in the progression of prostate cancer from the androgen-dependent to the castration-resistant state, making it a potential target for therapy. In this chapter, we describe the preparation
技术资料暂无技术资料 索取技术资料





![DMTF1 antibody [N3C2], Internal](https://img1.dxycdn.com/2023/0516/045/6925717576889828561-14.jpg!wh200)
![STRAP antibody [N1C3]](https://img1.dxycdn.com/2023/0711/255/2344116916935858761-14.jpg!wh200)


