相关产品推荐更多 >
万千商家帮你免费找货
0 人在求购买到急需产品
- 详细信息
- 文献和实验
- 技术资料
- 免疫原:
Human milk fat globule membranes
- 亚型:
IgG1
- 形态:
Liquid
- 保存条件:
Store as concentrated solution. Centrifuge briefly prior to opening vial. Store at 4℃.
- 克隆性:
Monoclonal
- 标记物:
Unconjugated
- 适应物种:
Human
- 保质期:
12 months from the shipping date of the product.
- 抗原来源:
Human
- 目录编号:
GTX28203
- 级别:
Primary Antibodies
- 库存:
Available
- 供应商:
GeneTex
- 宿主:
Mouse
- 应用范围:
IHC-P, IHC
- 浓度:
Batch dependent (Please refer to the vial label for the specific concentration.)
- 靶点:
MUC1
- 抗体英文名:
MUC1 antibody [GP1.4]
- 抗体名:
MUC1 抗体 [GP1.4]
- 规格:
100 μl
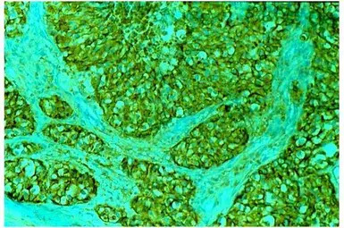
IHC Image using GTX28203 - Detection of MUC1 by IHC in Human Breast Carcinoma
风险提示:丁香通仅作为第三方平台,为商家信息发布提供平台空间。用户咨询产品时请注意保护个人信息及财产安全,合理判断,谨慎选购商品,商家和用户对交易行为负责。对于医疗器械类产品,请先查证核实企业经营资质和医疗器械产品注册证情况。
文献和实验Isolation of Human Fab Fragments Against Ovarian Carcinoma Using Guided Selection
on aspects such as mechanisms of action, preclinical screening, and clinical results, see specific references in Table 1 and an excellent recent review (1 ). Table 1 Target Antigens Potentially Suited for Antibody-Based Immunotherapy of Ovarian
多篇 SCI 发现用 RIPA 提蛋白存在问题,我们该如何应对?
公司把它变成了现实,来自美国专利技术离心管柱蛋白提取法,只需您加入裂解液,过柱离心,不产生不可溶组分,1 分钟轻松解决蛋白提取丢失问题。参考文献Alcaraz, C, et al. (1990) . Comparison of a radioimmunoprecipitation assay to immunoblotting and ELISA for detection of antibody to African swine fever virus. J. Vet. Diagn
次的抑制网络,研究决策需从宏观维度出发,筛选具有战略互补性的Siglec靶点。当前证据表明,唾液酸-Siglec轴通过不同分子在特定免疫细胞亚群上的特异性表达,构建了分工明确的免疫抑制体系。基于此,研究可以聚焦于以下三个核心方向: 突破T/NK细胞功能耗竭的“隐形枷锁” 针对效应细胞功能受阻的逃逸策略,Siglec-9与Siglec-7构成了关键研究靶点。确凿的实验证据显示,肿瘤细胞表面高度唾液酸化的粘蛋白(如MUC1)作为配体,能够特异性结合NK细胞上的Siglec-7以及T细胞和髓系
技术资料暂无技术资料 索取技术资料






![SARS-CoV-2 (COVID-19) Spike (N501Y Mutant) antibody [HL1425]](https://img1.dxycdn.com/2023/0711/058/8406876405285858761-14.jpg!wh200)


