相关产品推荐更多 >
万千商家帮你免费找货
0 人在求购买到急需产品
- 详细信息
- 文献和实验
- 技术资料
- 免疫原:
Small cell lung carcinoma N592 live cells
- 亚型:
IgM
- 形态:
Liquid
- 保存条件:
Store as concentrated solution. Centrifuge briefly prior to opening vial. Store at 4ºC. DO NOT FREEZE.
- 克隆性:
Monoclonal
- 标记物:
Unconjugated
- 适应物种:
Human, Mouse, Rat
- 保质期:
12 months from the shipping date of the product.
- 抗原来源:
Human
- 目录编号:
GTX23099
- 级别:
Primary Antibodies
- 库存:
Available
- 供应商:
GeneTex
- 宿主:
Mouse
- 应用范围:
WB, ICC/IF, IHC-P, IHC-Fr, FACS, Blocking, Neutralizing/Inhibition
- 靶点:
RPSA
- 抗体英文名:
RPSA antibody [MLuC5]
- 抗体名:
RPSA 抗体 [MLuC5]
- 规格:
500 μl
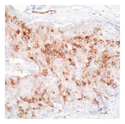
IHC-P analysis of tissue using GTX23099 RPSA antibody [MLuC5].
风险提示:丁香通仅作为第三方平台,为商家信息发布提供平台空间。用户咨询产品时请注意保护个人信息及财产安全,合理判断,谨慎选购商品,商家和用户对交易行为负责。对于医疗器械类产品,请先查证核实企业经营资质和医疗器械产品注册证情况。
文献和实验该产品被引用文献
Application Reference
Sei Kuriyama et al., Front Oncol 2022 (PMID:35174090)
Piazza M et al., J Neurosurg 2017 (PMID:28059647)
Sei Kuriyama et al., Front Oncol 2022 (PMID:35174090)
Piazza M et al., J Neurosurg 2017 (PMID:28059647)
技术资料暂无技术资料 索取技术资料
文献支持
RPSA antibody [MLuC5]
¥5000





![SSEA-1 / CD15 antibody [MC-480]](https://img1.dxycdn.com/2023/0711/451/6106825198874858761-14.jpg!wh200)



![NARG1 antibody [C2C3], C-term](https://img1.dxycdn.com/2023/0516/407/0466332107306928561-14.jpg!wh200)

