相关产品推荐更多 >
万千商家帮你免费找货
0 人在求购买到急需产品
- 详细信息
- 文献和实验
- 技术资料
- 免疫原:
Cytoskeleton preparation from HeLa cells.
- 亚型:
IgG1
- 形态:
Liquid
- 保存条件:
Store as concentrated solution. Centrifuge briefly prior to opening vial. Store at 4ºC. DO NOT FREEZE.
- 克隆性:
Monoclonal
- 标记物:
Unconjugated
- 适应物种:
Human, Mouse, Rat, Sheep, Bovine, Dog, Hamster, Pig
- 保质期:
12 months from the shipping date of the product.
- 抗原来源:
Human
- 目录编号:
GTX22535
- 级别:
Primary Antibodies
- 库存:
Available
- 供应商:
GeneTex
- 宿主:
Mouse
- 应用范围:
WB, ICC/IF, IHC-P, IP
- 浓度:
1 mg/ml (Please refer to the vial label for the specific concentration.)
- 靶点:
We do not recommend use of this product for Chicken,Xenopus.
- 抗体英文名:
Cytokeratin 5 + 18 antibody [C-50]
- 抗体名:
Cytokeratin 5 + 18 抗体 [C-50]
- 规格:
100 μg
WB analysis of MCF-7 cell lysates using GTX22535 Cytokeratin 5 + 18 antibody [C-50].
Lane 1 : MW standard
Lane 2 : GTX22535
Lane 3 : Isotype mouse IgG1 control
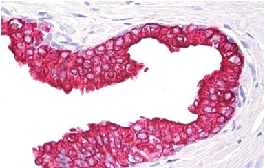
IHC-P analysis of human prostate tissue using GTX22535 Cytokeratin 5 + 18 antibody [C-50].
风险提示:丁香通仅作为第三方平台,为商家信息发布提供平台空间。用户咨询产品时请注意保护个人信息及财产安全,合理判断,谨慎选购商品,商家和用户对交易行为负责。对于医疗器械类产品,请先查证核实企业经营资质和医疗器械产品注册证情况。
文献和实验Abugomaa A et al., Sci Rep 2020 (PMID:32523078)
Ordonez NG et al., Hum Pathol 2013 (PMID:23427873)
上海西唐生物科技有限公司 021-55229872, 65333639 www.westang.com 大鼠白介素 -18(IL-18)ELISA 试剂盒 ( 用于血清、血浆、细胞培养上清液和其它生物体液内 ) 原理 本实验采用双抗体夹心 ABC-ELISA 法。用抗大鼠 IL-18 单抗包被于酶标板上,标准品和样品中的 IL-18 与单抗结合,加入生物素化的抗大鼠 IL-18 ,形成免疫复合物连接
上海西唐生物科技有限公司 021-55229872, 65333639 www.westang.com 兔白介素-18 (IL-18)ELISA 试剂盒 ( 用于血清、血浆、细胞培养上清液和其它生物体液内 ) 原理 本实验采用双抗体夹心 ABC-ELISA 法。用抗兔 IL-18 单抗包被于酶标板上,标准品和样品中的 IL-18与单抗结合,加入生物素化的抗兔 IL
Combined 3C-ChIP-Cloning (6C) Assay: A Tool to Unravel Protein-Mediated Genome Architecture
involves conventional 3C methodology: The chromatin is cross-linked, digested with restriction enzymes, and ligated under conditions that favor intramolecular ligation. Immediately after ligation, the chromatin is immunoprecipitated using an antibody
技术资料暂无技术资料 索取技术资料





![Lipocalin-2 antibody [33]](https://img1.dxycdn.com/2023/0711/451/6106825198874858761-14.jpg!wh200)



