相关产品推荐更多 >

Goat Anti-Human lambda light chain antibody, pre-adsorbed (AP)
询价
Goat Anti-Human IgD (Heavy chain) antibody, pre-adsorbed (FITC)
询价
Goat Anti-Mouse IgM (Mu chain) antibody, pre-adsorbed (AP)
询价
Goat anti-Mouse IgM (mu chain) antibody, pre-adsorbed (HRP)
¥2000
Goat Anti-Mouse IgG2b (Heavy chain) antibody, pre-adsorbed (FITC)
询价
万千商家帮你免费找货
0 人在求购买到急需产品
- 详细信息
- 文献和实验
- 技术资料
- 免疫原:
Lambda light chains isolated from pooled urine of patients with Bence Jones proteinuria.
- 亚型:
IgG
- 形态:
Liquid
- 保存条件:
Store as concentrated solution. Centrifuge briefly prior to opening vial. Store at 4ºC.
- 克隆性:
Polyclonal
- 标记物:
Unconjugated
- 适应物种:
Human
- 保质期:
12 months from the shipping date of the product.
- 抗原来源:
Human
- 目录编号:
GTX20941
- 级别:
Secondary Antibodies
- 库存:
Available
- 供应商:
GeneTex
- 宿主:
Rabbit
- 应用范围:
IHC-P
- 浓度:
Batch dependent (Please refer to the vial label for the specific concentration.)
- 靶点:
This antibody reacts with free as well as bound lambda light chains. Contaminating antibodies have been removed by solid phase adsorption.
- 抗体英文名:
Rabbit Anti-Human lambda light chain antibody (ready-to-use)
- 抗体名:
Rabbit Anti-Human lambda light chain 抗体 (ready-to-use)
- 规格:
6 ml
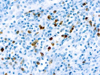
IHC-P analysis of human tonsil tissue using GTX20941 Human lambda Light chain antibody (ready-to-use).
风险提示:丁香通仅作为第三方平台,为商家信息发布提供平台空间。用户咨询产品时请注意保护个人信息及财产安全,合理判断,谨慎选购商品,商家和用户对交易行为负责。对于医疗器械类产品,请先查证核实企业经营资质和医疗器械产品注册证情况。
文献和实验Structure and Properties of Human Immunoglobulin Light-Chain Dimers
Antibodies are multisubunit proteins, but unlike many other multisubunit proteins, it is possible to study structural and functional properties of an antibody subunit free of the others. Thus, antibodies are singular proteins
IMMUNOSCREENING OF LAMBDA-GT11 BACTERIOPHAGE LIBRARIES WITH ANTIBODY PROBES
dishes of lysed E. coli to reduce anti-E. coli antibody background. These antibodies are present in all human sera, rabbit sera, and rodent sera. For each Petri dish containing solidified LB agar, mix 0.6ml of the Y1090 overnight-saturated culture with 30
Symplex™ is an antibody discovery technology that identifies fully human antigen-specific antibody repertoires directly from plasma cells. The technology utilizes reverse transcription and overlap extension polymerase chain reaction performed
技术资料暂无技术资料 索取技术资料






