相关产品推荐更多 >
万千商家帮你免费找货
0 人在求购买到急需产品
- 详细信息
- 文献和实验
- 技术资料
- 免疫原:
BALB/C mice were injected with purified human α-fetoprotein.
- 亚型:
IgG2a
- 形态:
Liquid
- 保存条件:
Store as concentrated solution. Centrifuge briefly prior to opening vial. Store at 4ºC.
- 克隆性:
Monoclonal
- 标记物:
Unconjugated
- 适应物种:
Human
- 保质期:
12 months from the shipping date of the product.
- 抗原来源:
Human
- 目录编号:
GTX20839
- 级别:
Primary Antibodies
- 库存:
Available
- 供应商:
GeneTex
- 宿主:
Mouse
- 应用范围:
IHC-P
- 浓度:
Batch dependent (Please refer to the vial label for the specific concentration.)
- 靶点:
Alpha fetoprotein / AFP
- 抗体英文名:
Alpha fetoprotein / AFP antibody [C3] (ready-to-use)
- 抗体名:
Alpha fetoprotein / AFP 抗体 [C3] (ready-to-use)
- 规格:
6 ml
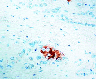
IHC-P analysis of human fetal liver tissue using GTX20839 Alpha fetoprotein / AFP antibody [C3] (ready-to-use).
风险提示:丁香通仅作为第三方平台,为商家信息发布提供平台空间。用户咨询产品时请注意保护个人信息及财产安全,合理判断,谨慎选购商品,商家和用户对交易行为负责。对于医疗器械类产品,请先查证核实企业经营资质和医疗器械产品注册证情况。
文献和实验In situ hybridisation to alpha satellite sequences (chromosome specific)
solution and replace with mouse anti-biotin antibody diluted 1:100 in blocking solution for 40 minutes at 37C. We currently use DAKO antibody #M0743, 100-200m l per slide. (10) Wash with blocking solution for 10 minutes (11) Incubate with rabbit
Construction and Use of Glycan Microarrays
of Cy3 and Cy5 on antibody microarrays. Proteome Sci. 4:21. Kamena, F., Tamborrini, M., Liu, X., Kwon, Y.U., Thompson, F., Pluschke, G., and Seeberger, P.H. 2008. Synthetic
蛋白类;化学发光测定法;定量分析 Establishment of chemiluminescent immunoassay for determination of alpha�fetoprotein FENG Yan�Ming, MA Jun�Fen, WU Biao, GUO Lan�Ying, WU Yong�Jun, LI Zhi�Tao, WU Yi�Ming 1Department of Labour Health
技术资料暂无技术资料 索取技术资料








