相关产品推荐更多 >
万千商家帮你免费找货
0 人在求购买到急需产品
- 详细信息
- 文献和实验
- 技术资料
- 免疫原:
M19 fusion protein containing full-length human protein. [UniProt# P52272]
- 亚型:
IgG1
- 形态:
Liquid
- 保存条件:
Store as concentrated solution. Centrifuge briefly prior to opening vial. For short-term storage (1-2 weeks), store at 4ºC. For long-term storage, aliquot and store at -20ºC or below. Avoid multiple freeze-thaw cycles.
- 克隆性:
Monoclonal
- 标记物:
Unconjugated
- 适应物种:
Human, Mouse, Rat, Rabbit, Bovine, Pig
- 保质期:
12 months from the shipping date of the product.
- 抗原来源:
Human
- 目录编号:
GTX29547
- 级别:
Primary Antibodies
- 库存:
Available
- 供应商:
GeneTex
- 宿主:
Mouse
- 应用范围:
WB, ICC/IF, IHC-P, IHC-Fr, IP
- 靶点:
This antibody is specific for all four M proteins of hnRNP (M1, M2, M3 and M4).
- 抗体英文名:
hnRNP M1-M4 antibody [1D8]
- 抗体名:
hnRNP M1-M4 抗体 [1D8]
- 规格:
200 μl
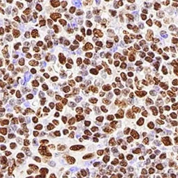
IHC-P analysis of human tonsil tissue using GTX29547 HNRNP M1-M4 antibody [1D8].
Dilution : 1:500
Antigen retrieval : Heat induced antigen retrieval (HIER) using 10mM sodium citrate buffer (pH 6.0)
WB analysis of HeLa cell lysate using GTX29547 HNRNP M1-M4 antibody [1D8].
风险提示:丁香通仅作为第三方平台,为商家信息发布提供平台空间。用户咨询产品时请注意保护个人信息及财产安全,合理判断,谨慎选购商品,商家和用户对交易行为负责。对于医疗器械类产品,请先查证核实企业经营资质和医疗器械产品注册证情况。
文献和实验Flow Cytometry Assay to Measure Internalization of GPCRs
. However, the user can probably also substitute PBS Ca-free, Mg-free plus 0.04% EDTA to lift cells.7) Pellet cells in centrifuge set at 4degC and rinse 1x with media. NOTE: Since the anti-FLAG M1 antibody (Sigma, Covance)requires Ca ions to bind the FLAG epitope
Flow Cytometry Assay to Measure Internalization of GPCR's
PBS Ca-free, Mg-free plus 0.04% EDTA to lift cells. 7) Pellet cells in centrifuge set at 4degC and rinse 1x with media. NOTE: Since the anti-FLAG M1 antibody ( Sigma , Covance )requires Ca ions to bind the FLAG epitope, you must rinse
Important in phagocytosis via receptor-mediated endocytosis of IgG-antigen complexes Mediates antigen capture for presentation to T cells, antibody-dependent cellular cytotoxicity, release of cytokines and reactive oxygen intermediates Positive
技术资料暂无技术资料 索取技术资料







![BMAL1 antibody [1C5]](https://img1.dxycdn.com/2023/0711/451/6106825198874858761-14.jpg!wh200)

