相关产品推荐更多 >
万千商家帮你免费找货
0 人在求购买到急需产品
- 详细信息
- 文献和实验
- 技术资料
- 免疫原:
This antibody was developed against KLH-conjugated synthetic peptide corresponding to a portion of human ERK1 between amino acids 350-400.
- 亚型:
IgG
- 形态:
Liquid
- 保存条件:
Store as concentrated solution. Centrifuge briefly prior to opening vial. For short-term storage (1-2 weeks), store at 4ºC. For long-term storage, aliquot and store at -20ºC or below. Avoid multiple freeze-thaw cycles.
- 克隆性:
Polyclonal
- 标记物:
Unconjugated
- 适应物种:
Human
- 保质期:
12 months from the shipping date of the product.
- 抗原来源:
Human
- 目录编号:
GTX13909
- 级别:
Primary Antibodies
- 库存:
Available
- 供应商:
GeneTex
- 宿主:
Rabbit
- 应用范围:
WB, IHC-P
- 浓度:
0.5 mg/ml (Please refer to the vial label for the specific concentration.)
- 靶点:
ERK1
- 抗体英文名:
ERK1 antibody
- 抗体名:
ERK1 抗体
- 规格:
100 μg
WB analysis of A431 cell lysate using GTX13909 ERK1 antibody.
Dilution : 1 μg/ml
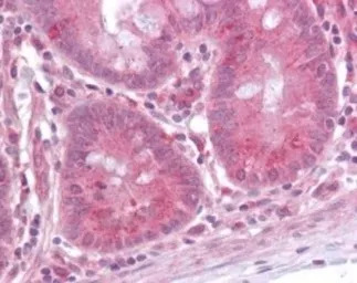
IHC-P analysis of human small intestine tissue using GTX13909 ERK1 antibody.
Dilution : 10 μg/ml
风险提示:丁香通仅作为第三方平台,为商家信息发布提供平台空间。用户咨询产品时请注意保护个人信息及财产安全,合理判断,谨慎选购商品,商家和用户对交易行为负责。对于医疗器械类产品,请先查证核实企业经营资质和医疗器械产品注册证情况。
文献和实验liuxing0626 各位学长好: 我买的ProteinTECH公司的 ERK1 抗体 western blot 条带有两条,公司的说明书也是两条,请问这是个怎么情况?而且我要做ERK1/2。但是ERK2也是单买的,混起来用的话会不会出来3条带了。 ERK1产品地址http://www.ptglab.com/Products/ERK1-Antibody-11257-1-AP.htm liuxing0626
【求助】与凋亡相关通路ERK1/2 and p38 MAP kinases的试验设计
1yangz 我是要做一个与凋亡相关的基因的凋亡通路 那我的试验设计你们看看这样设计可以不? 我先通过重组真核表达质粒转染细胞 然后检测各项凋亡指标证明该基因确实可以诱导凋亡 然后我从文献上得知该凋亡通路与ERK1/2 and p38 MAP kinases相关, 那接下来的试验我该如何设计啊? 凋亡需要做几项哪几种的啊? 特别
bashubuyi MER ERK 跟MAPK什么联系 是ERK/MAPK信号通路还是还是ERK1/2/MAPK通路 1/2是什么意思, freecell google了一下,“1/2”是指ERK-1/ERK-2。 The extracellular signal-regulated kinases 1 and 2 (ERK1 and ERK
技术资料暂无技术资料 索取技术资料








