相关产品推荐更多 >
万千商家帮你免费找货
0 人在求购买到急需产品
- 详细信息
- 文献和实验
- 技术资料
- 免疫原:
This antibody was developed against recombinant psoriasin/HID-5 protein.
- 亚型:
IgG1
- 形态:
Liquid
- 保存条件:
Store as concentrated solution. Centrifuge briefly prior to opening vial. For short-term storage (1-2 weeks), store at 4ºC. For long-term storage, aliquot and store at -20ºC or below. Avoid multiple freeze-thaw cycles.
- 克隆性:
Monoclonal
- 标记物:
Unconjugated
- 适应物种:
Human
- 保质期:
12 months from the shipping date of the product.
- 抗原来源:
Human
- 目录编号:
GTX13680
- 级别:
Primary Antibodies
- 库存:
Available
- 供应商:
GeneTex
- 宿主:
Mouse
- 应用范围:
WB, ICC/IF, IHC-P, IHC-Fr, FACS, IP
- 浓度:
1 mg/ml (Please refer to the vial label for the specific concentration.)
- 靶点:
Psoriasin
- 抗体英文名:
Psoriasin antibody [47C1068]
- 抗体名:
Psoriasin 抗体 [47C1068]
- 规格:
100 μg
WB analysis of (A) MCF-10a and (B) MCF-7 cell lysate using GTX13680 Psoriasin antibody [47C1068].
Dilution : 1 μg/ml
WB analysis of MCF-7 cell lysate using GTX13680 Psoriasin antibody [47C1068].
WB analysis of MCF-7 cell lysate using GTX13680 Psoriasin antibody [47C1068].
IHC-P analysis of human esophageal squamous cell carcinoma (SCC) tissue using GTX13680 Psoriasin antibody [47C1068].
Dilution : 5 μg/ml
IHC-P analysis of human breast tissue using GTX13680 Psoriasin antibody [47C1068].
Dilution : 1:200
Antigen retrieval : Citrate buffer pH 6
ICC/IF analysis of (A) untreated or (B) LPS-treated (100 ng/ml, 21 hrs) HOPE-fixed NCI-H727 cells using GTX13680 Psoriasin antibody [47C1068]. Positive control(C) is shown by the expression of the nuclear Ki67 antigen with the MIB-1 (2 ug/ml) antibody. Negative control(D) was included omitting the primary antibody.
IHC-P analysis of human lymph node cancer tissue using GTX13680 Psoriasin antibody [47C1068].
Dilution : 5 μg/ml
FACS (Intracellular staining) analysis of Jurkat cells using GTX13680 Psoriasin antibody [47C1068].
Blue : Primary antibody
Orange : isotype control
Dilution : 1 μg/mL
Fixation : 4% PFA
Permibilization : 0.1% saponin
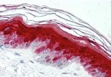
IHC-P analysis of human skin tissue using GTX13680 Psoriasin antibody [47C1068].
Dilution : 10 μg/ml
Antigen retrieval : Heat-induced antigen retrieval
风险提示:丁香通仅作为第三方平台,为商家信息发布提供平台空间。用户咨询产品时请注意保护个人信息及财产安全,合理判断,谨慎选购商品,商家和用户对交易行为负责。对于医疗器械类产品,请先查证核实企业经营资质和医疗器械产品注册证情况。
文献和实验Overexpression Models: Lentiviral Modeling of Brain Cancer
‐Flag antibody. For the right‐side blot, MEF Ikk2−/− cells were infected with mock virus (lane 1), H‐RasV12‐shp53 plus Cre (lane 2), and in lane 3 a positive control for p53 was run. Tubulin detection was used as loading control. (C ) Immunofluorescent
Evaluation of Proliferation of Neural Stem Cells In Vitro and In Vivo
on species from which primary antibody was derived, in 0.25% (v/v) Triton X‐100/0.01 M PBS Primary antibodies: rat anti‐BrdU (AbDSerotec, cat. no. MCA2060), mouse anti‐NeuN (Chemicon, cat
技术资料暂无技术资料 索取技术资料







![CD48 antibody [OX-78] (PE)](https://img1.dxycdn.com/2023/0711/451/6106825198874858761-14.jpg!wh200)
