相关产品推荐更多 >
万千商家帮你免费找货
0 人在求购买到急需产品
- 详细信息
- 文献和实验
- 技术资料
- 免疫原:
This NfkB p65 antibody was raised against a synthetic peptide corresponding to amino acids 526-539 of human NF-kB (p65) protein.
- 亚型:
IgG1
- 形态:
Liquid
- 保存条件:
Store as concentrated solution. Centrifuge briefly prior to opening vial. For short-term storage (1-2 weeks), store at 4ºC. For long-term storage, aliquot and store at -20ºC or below. Avoid multiple freeze-thaw cycles.
- 克隆性:
Monoclonal
- 标记物:
Unconjugated
- 适应物种:
Human, Mouse, Rat
- 保质期:
12 months from the shipping date of the product.
- 抗原来源:
Human
- 目录编号:
GTX13594
- 级别:
Primary Antibodies
- 库存:
Available
- 供应商:
GeneTex
- 宿主:
Mouse
- 应用范围:
WB, IHC-P, FACS, MS
- 浓度:
1 mg/ml (Please refer to the vial label for the specific concentration.)
- 靶点:
NFkB p65
- 抗体英文名:
NFkB p65 antibody [112A1021]
- 抗体名:
NFkB p65 抗体 [112A1021]
- 规格:
100 μg
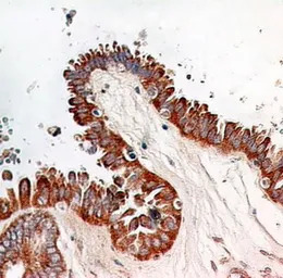
IHC-P analysis of human ovarian cystadenocarcinoma tissue using GTX13594 NFkB p65 antibody [112A1021].
Dilution : 5 μg/ml
Antigen retrieval : 10 mM sodium citrate buffer, pH 6.0
WB analysis of HeLa cell lysate using GTX13594 NFkB p65 antibody [112A1021].
FACS (Intracellular staining) analysis of HEK293 cells using GTX13594 NFkB p65 antibody [112A1021].
Red : primary antibody
Green : isotype control
Antibody amount : 0.5μg
WB analysis of Daudi, HeLa cell lysates using GTX13594 NFkB p65 antibody [112A1021].
Dilution : 1 μg/ml
IHC-P analysis of human ovarian cystadenocarcinoma tissue using GTX13594 NFkB p65 antibody [112A1021].
Dilution : 5 μg/ml
WB analysis of (A) Ramos, B) Daudi, C) HeLa and D) NIH 3T3 cell lysates using GTX13594 NFkB p65 antibody [112A1021].
Loading : 30μg
Dilution : 2 μg/ml
WB analysis of (A) Ramos, B) Daudi, C) HeLa and D) mouse NIH 3T3 cell lysates using GTX13594 NFkB p65 antibody [112A1021].
Loading : 30μg
Dilution : 2 μg/ml
风险提示:丁香通仅作为第三方平台,为商家信息发布提供平台空间。用户咨询产品时请注意保护个人信息及财产安全,合理判断,谨慎选购商品,商家和用户对交易行为负责。对于医疗器械类产品,请先查证核实企业经营资质和医疗器械产品注册证情况。
文献和实验sakura042 本新手欲研究nfkb引起内皮细胞凋亡的机制:是否通过jnk通路。 这是否是一个信号通路串话的问题? 我们用特异性抑制剂阻断nfkb后发现jnk活性下降,是否就能说明nfkb促进内皮细胞凋亡是通过jnk通路呢?还需要再阻断或者过表达jnk通路来反证吗? 这个问题困扰了我好久,请教各位高手。 sakura042 自己顶一下 三叶虫 请问一下
【求助】矛盾的实验结果:IKb alpha和NFKB同时升高
吴佰霖 我的基因过表达,结合文献,推理应该是IKb alpha下降,而NFKB升高 (IKb可磷酸化NFKB,使后者降低) 但现在我的结果是两者同时升高,请问可能的原因有哪些呢? 谢谢 woxingwosu 可否检测一下NFKB的磷酸化情况? erik NFKB是检测核内的吗?检测p65还是p50/ 吴佰霖 检测总蛋白
人核转录因子p65(NF-kB p65)ELISA试剂盒 说明书
上海西唐生物科技有限公司 021-55229872, 65333639 www.westang.com 人核转录因子p65 ( NF - kB p65 )ELISA 试剂盒 原理 本实验采用双抗体夹心 ABC-ELISA 法。用抗人 NF- kB p65单抗包被于酶标板上,标准品和样品中的 NF- kB p65 与单抗结合,加入生物素化的抗人NF- kB p65 ,形成免疫复合
技术资料暂无技术资料 索取技术资料







![ANP antibody [N1C3]](https://img1.dxycdn.com/2023/0516/050/2572066211091928561-14.jpg!wh200)

