万千商家帮你免费找货
0 人在求购买到急需产品
- 详细信息
- 文献和实验
- 技术资料
- 品系:
细胞系
- 细胞类型:
原代细胞
- 供应商:
上海机纯实业有限公司
- 库存:
230
- 英文名:
大鼠原代骨骼肌成纤维细胞
- 生长状态:
悬浮贴壁
- 年限:
长久
- 运输方式:
干冰运输
- 器官来源:
正常组织源性
- 规格:
>5×105细胞数
产品规格:>5×105细胞数
产品价格:3750
包装规格:1ml冻存细胞悬液或T-25培养瓶
产品的运输和保存:
视天气状况和运输距离远近,公司与客户协商后选择下述方式中的一种进行。
1)1mL冻存细胞悬液装于1.8ml的冻存管中,置于装满干冰的泡沫保温盒中进行运输;收到细胞后请尽快解冻复苏细胞进行培养,如无法立刻进行复苏操作,冻存细胞可在-80℃的条件下保存1个月。
2)T-25培养瓶充满完全培养基后进行常温运输;收到细胞后请镜下观察细胞生长状态,如铺瓶率超过85%请立即进行传代操作,如悬浮的细胞较多,请将培养瓶至于培养箱中静置过夜以帮助未死亡的悬浮细胞能够再次贴壁。
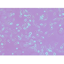
大鼠原代骨骼肌成纤维细胞
细胞特性:
1)组织来源于实验动物的正常腿部肌肉组织。
2)细胞鉴定:波形蛋白(Vimentin)免疫荧光染色为阳性。
3)经鉴定细胞纯度高于90%。
4)不含有 HIV-1、 HBV、HCV、支原体、细菌、酵母和真菌。
5)细胞生长方式:长梭形细胞,不规则细胞,贴壁培养。
推荐培养基:
我们推荐使用原代成纤维细胞培养体系作为体外培养原代骨骼肌成纤维细胞的培养基。
产品使用:
1)本产品仅能用于科研
2)本产品未通过直接用于活体动物和人的审核
3)本产品未通过用于活体诊断的审核
大鼠原代骨骼肌成纤维细胞
细胞详述:
肌肉可分为肌腹和肌腱,其中两端较细呈乳白色的部分为肌腱,呈索条或扁带状,由平行的胶原纤维束构成,色白,有光泽,但无收缩能力,腱附着于骨处与骨膜牢固地编织在一起,属于结缔组织,同时,肌腹的表面包以结缔组织性外膜,向两端则与肌腱组织融合在一起,这些结缔组织是由成纤维细胞构成,具有支持、连接、保护和营养功能。
风险提示:丁香通仅作为第三方平台,为商家信息发布提供平台空间。用户咨询产品时请注意保护个人信息及财产安全,合理判断,谨慎选购商品,商家和用户对交易行为负责。对于医疗器械类产品,请先查证核实企业经营资质和医疗器械产品注册证情况。
文献和实验所示即为大鼠原代足细胞。按顺序:图1,2是培养7天传代前的图片,小球周围爬出很多细胞。图3,4是传代第二天细胞情况,过筛后仍有小的组织滤过。图5是传代7天足细胞完全分化图片。 由于本人实验刚有进展,好多图片制作不理想,后续的细胞免疫荧光坚持在做,失败过两次,出结果后再发,不过导师说了就是足细胞! 图1 图2 图3 图4 图5
正常小鼠原代骨骼肌细胞培养 一、实验试剂1、培养基: PriCells Medium + 10% FBS + 1% P/S + PriCells Supplement2、冻存液: PriCells Medium + 20% FBS + 10% DMSO3、洗涤液: 1 × PBS (pH 7.4 )+ 1% P/S4、染色液: 0.4% Trypan Blue5、消化液: PriCells Isolation of Primary Cell Kit6、检测试剂:鼠抗人及大鼠desmin一抗
的[5],但细胞得率均较低,而近些年来国外大多数方法采用以大脑皮质为材料、酶消化及梯度离心分离脑微血管段并进行原代培养[6~9,11,12]。由于原代培养中无法避免地混杂成纤维细胞、周细胞、平滑肌细胞、星型胶质细胞等其他细胞的生长,而且工作量大、过程繁琐且费用高[1],进行较纯的大鼠脑微血管内皮细胞原代培养一直是国内外的一个难点。 本人参照文献[6]、[7]、[8]的方法,成功地摸索出大鼠脑微血管内皮细胞分离和原代培养的方法,并获得纯度较高的脑微血管内皮细胞。 1.材料与方法 1.1 实验动物 每次
技术资料暂无技术资料 索取技术资料










