相关产品推荐更多 >
万千商家帮你免费找货
0 人在求购买到急需产品
- 详细信息
- 文献和实验
- 技术资料
- 品系:
细胞系
- 细胞类型:
原代细胞
- 供应商:
上海机纯实业有限公司
- 库存:
155
- 英文名:
小鼠原代脾基质细胞
- 生长状态:
悬浮贴壁
- 年限:
长久
- 运输方式:
干冰运输
- 器官来源:
正常组织源性
- 规格:
>5×105细胞数
产品规格:>5×105细胞数
产品价格:3750
包装规格:1ml冻存细胞悬液或T-25培养瓶
产品的运输和保存:
视天气状况和运输距离远近,公司与客户协商后选择下述方式中的一种进行。
1)1mL冻存细胞悬液装于1.8ml的冻存管中,置于装满干冰的泡沫保温盒中进行运输;收到细胞后请尽快解冻复苏细胞进行培养,如无法立刻进行复苏操作,冻存细胞可在-80℃的条件下保存1个月。
2)T-25培养瓶充满完全培养基后进行常温运输;收到细胞后请镜下观察细胞生长状态,如铺瓶率超过85%请立即进行传代操作,如悬浮的细胞较多,请将培养瓶至于培养箱中静置过夜以帮助未死亡的悬浮细胞能够再次贴壁。
推荐培养基:
我们推荐使用原代成纤维细胞培养体系(产品编号:PriMed-MLL-003)作为体外培养原代皮肤成纤维细胞的培养基。
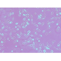
小鼠原代脾基质细胞
产品使用:
1)本产品仅能用于科研
2)本产品未通过直接用于活体动物和人的审核
3)本产品未通过用于活体诊断的审核
细胞详述:
脾是重要的淋巴器官,有造血、滤血、清除衰老血细胞及参与免疫反应等功能。也是淋巴细胞迁移和接受抗原刺激后发生免疫应到、产生免疫效应分子的重要场所。脾基质细胞是脾脏中结缔组织细胞,起到为脾脏中实质细胞提供支持和营养的作用。
小鼠原代脾基质细胞
细胞特性:
1)组织来源于实验动物的正常脾脏组织。
2)细胞鉴定:波形蛋白(Vimentin)免疫荧光染色为阳性。
3)经鉴定细胞纯度高于90%。
4)不含有 HIV-1、 HBV、HCV、支原体、细菌、酵母和真菌。
5)细胞生长方式:长梭形细胞,不规则细胞,贴壁培养。
风险提示:丁香通仅作为第三方平台,为商家信息发布提供平台空间。用户咨询产品时请注意保护个人信息及财产安全,合理判断,谨慎选购商品,商家和用户对交易行为负责。对于医疗器械类产品,请先查证核实企业经营资质和医疗器械产品注册证情况。
文献和实验胸腺(Thymus) 胸腺位于胸腔纵隔上部,胸骨后方。胸腺在胚胎期及出生后 2 岁内生长很快,体积较大;2 岁后到青春期发育仍很快;但青春期后开始萎缩,逐渐由脂肪组织所代替,它在机体免疫功能的建立上占有重要地位。骨髓内有部分淋巴细胞迁移到胸腺内,在胸腺素的影响下,增殖分化成为具有免疫功能的 T 细胞,再经血流输送到淋巴结和脾等周围免疫器官发挥免疫功能。若新生期切除胸腺或胸腺生长肿瘤,可导致细胞免疫功能显著下降,常因感染而死亡。 胸腺的组织结构:胸腺分左右两叶,表面覆盖有一层结缔组织被膜,被膜
细胞,具有多种分化潜能,可分化成为各种血细胞。 B.骨髓基质细胞(stromal cell):骨髓内膜分泌多种细胞因子(如: IL-3、IL-4、IL-6、IL-7、CSF等),促造血干细胞分化发育(骨髓微环境)。造血干细胞: (1)髓样前体细胞(myeloid progenitor) 粒细胞(多形核白细胞)、巨噬细胞、树突状细胞、肥大细胞、红细胞、血小板 (2)淋巴样前体细胞(lymphoid progenitor)淋巴细胞:T淋巴细胞(T细胞)、B淋巴细胞(B细胞)、NK细胞、B细胞
,第4~5月脾内造血干细胞增殖分化产生各种血细胞。从胚胎后期至生后终身,骨髓成为主要的造血器官,产生红细胞系、粒细胞系、单核细胞系和巨核细胞-血小板系;这些细胞系称为骨髓成分。脾和淋巴结等淋巴器官以及淋巴组织产生淋巴成分。 (一)骨髓的结构 骨髓位于骨髓腔中,约占体重的4%-6%,是人体最大的造血器官。骨髓分为红骨髓(red bone marrow)和黄骨髓(yellow bone marrow)。胎儿及婴幼儿时期的骨髓都是红骨髓,大约从5岁开始,长骨干的骨髓腔内出现脂肪组织,并随年龄
技术资料暂无技术资料 索取技术资料










