万千商家帮你免费找货
0 人在求购买到急需产品
- 详细信息
- 文献和实验
- 技术资料
- 品系:
细胞系
- 细胞类型:
原代细胞
- 供应商:
上海机纯实业有限公司
- 库存:
81
- 英文名:
人原代输尿管平滑肌细胞
- 生长状态:
悬浮贴壁
- 年限:
长久
- 运输方式:
干冰运输
- 器官来源:
正常组织源性
- 规格:
>5×105细胞数
产品规格:>5×105细胞数
产品价格:7000
包装规格:1ml冻存细胞悬液或T-25培养瓶
产品的运输和保存:
视天气状况和运输距离远近,公司与客户协商后选择下述方式中的一种进行。
1)1mL冻存细胞悬液装于1.8ml的冻存管中,置于装满干冰的泡沫保温盒中进行运输;收到细胞后请尽快解冻复苏细胞进行培养,如无法立刻进行复苏操作,冻存细胞可在-80℃的条件下保存1个月。
2)T-25培养瓶充满完全培养基后进行常温运输;收到细胞后请镜下观察细胞生长状态,如铺瓶率超过85%请立即进行传代操作,如悬浮的细胞较多,请将培养瓶至于培养箱中静置过夜以帮助未死亡的悬浮细胞能够再次贴壁。
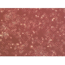
人原代输尿管平滑肌细胞
细胞特性:
1)细胞来源于人正常输尿管组织。
2)细胞鉴定:平滑肌肌动蛋白(α-SMA)免疫荧光染色为阳性。
3)经鉴定细胞纯度高于90%。
4)不含有 HIV-1、 HBV、HCV、支原体、细菌、酵母和真菌。
5)细胞生长方式:长梭状细胞,贴壁培养。
人原代输尿管平滑肌细胞
推荐培养基:
我们推荐使用原代平滑肌细胞培养体系作为体外培养原代输尿管平滑肌细胞的培养基。
产品使用:
1)本产品仅能用于科研
2)本产品未通过直接用于活体动物和人的审核
3)本产品未通过用于活体诊断的审核
人原代输尿管平滑肌细胞
细胞详述:
输尿管上接肾盂,下连膀胱,是一对细长的管道,呈扁圆柱状,管径平均为0.5-0.7厘米。成人输尿管全长25-35厘米,位于腹膜后,沿腰大肌内侧的前方垂直下降进入骨盆。输尿管管壁为三层组织所构成。外系筋膜组织,包围着整个肾盂和输尿管,其中有丰富的血管和神经纤维;中间为三层肌肉,其内外层为纵行肌,中层为环形肌;里为粘膜层,与肾盂及膀胱粘膜是连贯的。粘膜下层有丰富的网状淋巴管,是肾脏向下、膀胱向上感染的途径之一。
输尿管的生理功能是将尿液从肾盂排入膀胱。尿液在输尿管内的运送不是被动的过程 ,而是通过输尿管蠕动方式主动地进行。输尿管有较厚的平滑肌层.可作节律性的蠕动,使尿液不断地流入膀胱。因此对输尿管平滑肌运动的研究,是尿动力学的重要研究方向。
风险提示:丁香通仅作为第三方平台,为商家信息发布提供平台空间。用户咨询产品时请注意保护个人信息及财产安全,合理判断,谨慎选购商品,商家和用户对交易行为负责。对于医疗器械类产品,请先查证核实企业经营资质和医疗器械产品注册证情况。
文献和实验实验步骤(一)、取SD 大鼠一只,实验时断椎处死。(二)、在无菌条件下快速自肛门上2 cm 取结肠10 cm 左右,生理盐水中反复灌肠冲洗。(三)、移入含300 U/ml青霉素、300 U/ml 链霉素的HepesRinger缓冲液中浸泡,肠段内外各15 min。(四)、将经抗生素浸泡过的肠段移入含Hepes Ringer缓冲液的塑料培养板中(培养板预先铺上705胶),在体视显微镜下沿肠系膜对侧纵行切开肠段,皮内针固定好四角,仔细地刮除粘膜层,翻转至外侧,小心地撕去肠系膜,再仔细地刮去浆膜
1、麻醉后消毒,下腹正中切口于膀胱颈(结扎处远端约1~2cm),严格无菌操作取出标本、手术台位于超净台旁2、在超净台,40u/ml庆大霉素溶液中浸泡5分钟3、生理盐水漂洗1次4、D-hanks液漂洗1次5、放入D-hanks液中,除去粘膜、粘膜下及浆膜如果是Shame组兔,以10ml注射器抽取约8ml D-hanks液,于粘膜层下注射起泡后,剪去粘膜层,直接剪取平滑肌组织,弃浆膜层及其上未剪下之肌组织。new: 如果是不全BOO兔,则可将膀胱剪成宽约0.5cm之条状,撕去粘膜层后,助手以一眼
培养液:MEM(GIBCO),20%FBS,双抗100IU/ml; 原代细胞培养:取5kg左右兔空气栓塞法处死后断头,于无菌条件下从枕大孔处用大止血箝扳开颅骨暴露并小心取出脑组织放入装有DMEM的培养皿中,用眼科镊分离基底动脉后按常规平滑肌方法贴块培养。 传代: (1)吸除培养瓶内旧培养液。 (2)D-Hanks液冲洗2遍。 (3)加入消化液少许,以能覆盖瓶底为限。 (4)倒置显微镜观察发现细胞胞质回缩、细胞间隙增大时,立即终止消化。 (5)吸除消化液,向瓶底注入D-Hanks液
技术资料暂无技术资料 索取技术资料










