相关产品推荐更多 >
万千商家帮你免费找货
0 人在求购买到急需产品
- 详细信息
- 文献和实验
- 技术资料
- 供应商:
上海机纯实业有限公司
- 库存:
大量
- 生长状态:
贴壁生长
- 运输方式:
干冰
- 英文名:
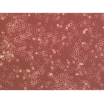
[U937细胞]
- 规格:
详见说明书
培养条件
RPMI1640(w/oHepes)10%FBS
细胞生长:悬浮生长
细胞形态:单核细胞
细胞数量:1×106个细胞数
细胞传代:维持细胞浓度在1×105~2×106/ml根据细胞浓度3~4换液1次
细胞特性:该细胞是由NilssonK实验室于1974年从一名37岁的患有恶性组织细胞性淋巴瘤的白人男性的胸水中分离建立的。1979年来的研究显示该细胞在人混合淋巴细胞培养物上清、佛波酯、VitD3、γ-IFN、TNF和维A酸的诱导下可以向终末单核细胞分化。该细胞不合成免疫球蛋白EBV阴性可产生溶菌酶、β-2-微球蛋白受PMA刺激后可产生TNF-α表达C3R可作转染宿主表达Fas对TNF和抗Fas的抗体敏感。
细胞纯度:96%
细胞活力:94%(ViabilitybyTrypanBlueExclusion)
细胞检测:细胞不含有HIV-1、HBV、HCV、支原体、细菌、酵母和真菌
产品注明
细胞冻存:液氮冻存(基础培养基+10%DMSO+20%FBS)
细胞运输:干冰运输(1Vial)或活细胞运输(T-25flasks)
细胞用途:只可用于科研不可用于临床诊断和治疗
[U937细胞]人组织细胞淋巴瘤细胞处理程序
在培养瓶中接种细胞并在培养基中完全填充培养基以防止运输过程中细胞的丢失。
1、收到后,目视检查培养物是否有微生物污染的宏观证据。
使用倒置显微镜(配备有相位传感器),仔细检查是否有微生物污染的证据。还检查以确定大多数细胞是否仍然附着在烧瓶底部?在运输过程中,培养物有时被粗略地处理,并且许多细胞经常分离并悬浮在培养基中(但仍然是可行的)。
2、如果细胞仍然附着,无菌去除5至10毫升的运输介质。可以节省运输媒介以重复使用。在5%℃的空气中,在37℃下培养细胞,直到它们准备进行传代培养BGC-823人胃腺癌细胞(低分化)没有附着,无菌地移除烧瓶的全部内容物,并以1000rpm离心5至10分钟。取出运输介质并保存。在10毫升这种培养基中重新沉淀颗粒细胞并加入25厘米的烧瓶中。在空气中5%℃下,在37℃下孵育,直至细胞准备进行传代培养。
[U937细胞]人组织细胞淋巴瘤细胞冷冻保存程序
1、去除和丢弃培养基。
2、简要冲洗细胞层0.25(w/v)trypsin0.53mm EDTA溶液去除所有痕迹血清含有胰蛋白酶抑制剂。
3、加入2至3毫升的胰蛋白酶-EDTA溶液瓶中,倒置显微镜下观察细胞到细胞层是分散的(通常在1到10分钟)。
注意:为了避免结块,不要在击打或摇晃瓶子时搅拌细胞,等待细胞分离。难以分离的细胞可以放置在37°C以促进扩散。
4、加入6~8毫升的完整生长培养基,轻轻吸液,抽吸细胞。
5、去除胰酶EDTA溶液,将细胞悬液到离心管和旋转约5 1000rpmfor 10分钟。
6、低温保存培养液中的上清液和复苏细胞。
7、将细胞转移至低温瓶,1ml/瓶。
8、低温容器中的细胞Frozen(NalgENα5100-01)。
风险提示:丁香通仅作为第三方平台,为商家信息发布提供平台空间。用户咨询产品时请注意保护个人信息及财产安全,合理判断,谨慎选购商品,商家和用户对交易行为负责。对于医疗器械类产品,请先查证核实企业经营资质和医疗器械产品注册证情况。
文献和实验静置数小时; 5. 待植块牢固贴壁后,轻轻翻转培养瓶,使培养液均匀覆盖住植块。在37℃、5%CO2 的培养箱中继续培养; 培养24小时后换液,去除未贴壁细胞后继续培养,以后每周换液2—3次; 6. 3天后,去除未贴壁的植块。每3天换半量培养液。
PriCells: 中国人组织源性原代细胞是最适于在中国进行体外检测和药物研发进行细胞培养的科研单位和生物公司
PriCells: 中国人组织源性原代细胞是最适于在中国进行体外检测和药物研发进行细胞培养的科研单位和生物公司原代细胞培养最大优点是:细胞直接来源于机体组织,生物性状尚未发生大的变化,在一定程度上能够反映体内的状态。细胞株和原代细胞不是完全一样。并非每一种组织源性细胞都有相应的细胞株,有些细胞必须养原代,细胞株是来源于原代细胞,原代细胞导入了病毒增殖基因并转变为细胞株,细胞株带有癌变细胞的特点。细胞株的遗传物质已经发生改变,并不再具有接触生长抑制现象。细胞株形态及状态不如原代细胞,相对长时间
三句话读懂一篇 CNS!首次提取超 100 万年的 DNA;轻轻一喷,瞬时改变作物性状...
with reprogrammed specificity。该研究搭建了一种新型蛋白定向进化平台,并借助该平台定向进化一种天然的蛋白酶(源自细菌肉毒素的轻链),进一步地改变其特异性,使之切割磷酸酯酶与张力蛋白同源物(PTEN)等其它细胞内源性蛋白。 该工作首次建立了一套蛋白酶定向进化方法,具有重大科学应用价值,后续开发出更灵活通用的工具令人期待!图片来源:Science 5. NEJM: 随访数据公布,非霍奇金淋巴瘤治疗取得好成绩 弥散性大 B 细胞淋巴瘤(DLBCL)约占全球非霍奇金淋巴瘤(NHL)病例的 30%,是最常
技术资料暂无技术资料 索取技术资料






![[HKC细胞]人胚肾上皮细胞](https://img1.dxycdn.com/2019/0221/044/3330142443206541823-14.jpg!wh200)

![[NCI-H661细胞]人大细胞肺癌细胞](https://img1.dxycdn.com/2019/0221/533/3330139507596359484-14.jpg!wh200)

