相关产品推荐更多 >
万千商家帮你免费找货
0 人在求购买到急需产品
- 详细信息
- 技术资料
- 供应商:
上海机纯实业有限公司
- 库存:
大量
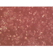
- 英文名:
Beta-TC-6
- 生长状态:
贴壁生长
- 运输方式:
干冰
- 规格:
详见说明书
我司Beta-TC-6(小鼠胰腺癌beta细胞)提供品牌细胞现货,根据多年细胞培养经验,优化细胞适培养条件,根据国内各地区天气条件,保证运输中细胞的存活率,给客户一个良的细胞质量。培养的前一周内出现质量问题,客户可凭细胞的照片以及书面形式的细胞培养实验操作过程提供给我司。经我司技术人员核实认定为可以予以重发的情况,再免费提供一次细胞。
Beta-TC-6(小鼠胰腺癌beta细胞)由我司提供,供应的价格、技术咨询以及增殖服务,进口来源,传代次数低、细胞饱满有光泽、活力>95%,质量稳定,价格优惠。可发复苏活细胞,周期1-2周;可发冻存细胞,周期2-3个工作日。
注意Beta-TC-6(小鼠胰腺癌beta细胞)事项:
1. 培养基为低温长途运输,收到后请先查看是否有漏液、破损或污染等,若出现问题请及时和我们联系。
2. 用75%的酒精擦拭瓶身,4℃保存。
Beta-TC-6(小鼠胰腺癌beta细胞)主要分以下几种情况:
种情况:如果小黑点有增殖趋势,则有可能是细菌、真菌或支原体污染,需要处理。
第二种情况:如果小黑点没有增殖趋势,且不影响细胞生长,也不影响实验的话。
则可能有以下情况:
1)是“黑胶虫
2)是核糖体,也可能是杂质
3)是细胞碎片,或血清中的里德沉淀析出,在做布朗运动
相关促销细胞产品:
AsPC-1:人转移胰腺癌细胞
ARPE-19:人视网膜上皮细胞
ARO:甲状腺癌细胞
AR42J:大鼠胰腺外分泌细胞
AMS2:人干细胞因子单克隆抗体细胞株
AN3CA:人子宫内膜腺癌转移细胞
Ana-1:小鼠巨噬细胞
Anglne:人卵巢癌细胞系
AML-193:人急性单核细胞白血病单核细胞
AML12:小鼠正常肝细胞
ALVA:人前列腺癌细胞
AL7P/HL-60R:人原髓细胞白血病细胞
ACHN:人肾腺癌细胞
AD293:人胚肾细胞
AE1201:人肺转化细胞系
AGS:人胃腺癌细胞
AC5:人类T细胞
Acc-2:涎腺腺样囊性癌细胞
Acc-3:涎腺腺样囊性癌细胞
ACC-M:人涎腺癌细胞
Beta-TC-6(小鼠胰腺癌beta细胞)由我司提供,供应的价格、技术咨询以及增殖服务,进口来源,传代次数低、细胞饱满有光泽、活力>95%,质量稳定,价格优惠。可发复苏活细胞,周期1-2周;可发冻存细胞,周期2-3个工作日。
注意Beta-TC-6(小鼠胰腺癌beta细胞)事项:
1. 培养基为低温长途运输,收到后请先查看是否有漏液、破损或污染等,若出现问题请及时和我们联系。
2. 用75%的酒精擦拭瓶身,4℃保存。
Beta-TC-6(小鼠胰腺癌beta细胞)主要分以下几种情况:
种情况:如果小黑点有增殖趋势,则有可能是细菌、真菌或支原体污染,需要处理。
第二种情况:如果小黑点没有增殖趋势,且不影响细胞生长,也不影响实验的话。
则可能有以下情况:
1)是“黑胶虫
2)是核糖体,也可能是杂质
3)是细胞碎片,或血清中的里德沉淀析出,在做布朗运动
相关促销细胞产品:
AsPC-1:人转移胰腺癌细胞
ARPE-19:人视网膜上皮细胞
ARO:甲状腺癌细胞
AR42J:大鼠胰腺外分泌细胞
AMS2:人干细胞因子单克隆抗体细胞株
AN3CA:人子宫内膜腺癌转移细胞
Ana-1:小鼠巨噬细胞
Anglne:人卵巢癌细胞系
AML-193:人急性单核细胞白血病单核细胞
AML12:小鼠正常肝细胞
ALVA:人前列腺癌细胞
AL7P/HL-60R:人原髓细胞白血病细胞
ACHN:人肾腺癌细胞
AD293:人胚肾细胞
AE1201:人肺转化细胞系
AGS:人胃腺癌细胞
AC5:人类T细胞
Acc-2:涎腺腺样囊性癌细胞
Acc-3:涎腺腺样囊性癌细胞
ACC-M:人涎腺癌细胞
风险提示:丁香通仅作为第三方平台,为商家信息发布提供平台空间。用户咨询产品时请注意保护个人信息及财产安全,合理判断,谨慎选购商品,商家和用户对交易行为负责。对于医疗器械类产品,请先查证核实企业经营资质和医疗器械产品注册证情况。
技术资料暂无技术资料 索取技术资料
Beta-TC-6(小鼠胰腺癌beta细胞)
询价









