相关产品推荐更多 >
万千商家帮你免费找货
0 人在求购买到急需产品
- 详细信息
- 文献和实验
- 技术资料
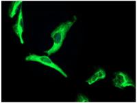
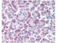
- 亚型:
IgG
- 保存条件:
Store at -20 °C
- 库存:
20-60
- 供应商:
上海一研
- 浓度:
1mg/ml
- 抗体英文名:
LH(Luteinizing Hormone)
- 规格:
0.5mg
风险提示:丁香通仅作为第三方平台,为商家信息发布提供平台空间。用户咨询产品时请注意保护个人信息及财产安全,合理判断,谨慎选购商品,商家和用户对交易行为负责。对于医疗器械类产品,请先查证核实企业经营资质和医疗器械产品注册证情况。
文献和实验网络 第三节 抗原的抗原性 自发现抗体后,用血清学方法在体外实验,证明了天然抗原与其相应抗体发生特异性结合,这是一个重要的免疫学现象,称这种特性为抗原的抗原性。在早期由于尚未建立对蛋白质抗原进行分析的方法,为研究抗原性的化学本质造成了困难。奥地利免疫化学家Landsteiner在本世纪20年代创建了人工结合抗原,并应用
抗体的结构 抗体是能与抗原特异性结合的免疫球蛋白(immunoglobulin,Ig)。Ig 分五类,即 IgG、IgA、IgM、IgD 和 IgE。与免疫测定有关的 Ig 主要为 IgG 和 IgM。Ig 由两个轻链(L)和两个重链(H)的单体组成。Ig 的轻链是相同的,有 κ(kappa)和 λ(Lambda)两种型别。五类 Ig 的重链结构不同,这决定了它们的抗原性也不同。IgG 和 IgM 的重链分别称为 γ(gamma)链和 μ(mu )链。 重链和轻链的 N 端的氨基酸排列顺序
CDl 分子对脂类抗原的提呈 CDl分子在结构上与MHC I类分子相关,但Cm基因位于MHC外,无多态性。人类有五个紧密连锁的CD5基因,四个表达。编码蛋白分成两组,第一组包括CDh、CDlb和CDlc,CDld属于第二组。CDlb和CDlc提呈的脂类抗原,主要来自分枝杆菌胞壁成分,包括糖脂和磷脂等,如霉菌酸、葡萄糖单霉菌酸脂、脂阿糖甘露聚糖等。CDld分子能提呈疏水肽,也能提呈某些脂类抗原如酰基鞘氨醇。 CDlb分子存在于APC的酸性内体
技术资料暂无技术资料 索取技术资料









