万千商家帮你免费找货
0 人在求购买到急需产品
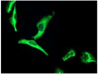
- 详细信息
- 文献和实验
- 技术资料
- 亚型:
IgG
- 保存条件:
Store at -20 °C
- 库存:
20-60
- 供应商:
上海一研
- 浓度:
1mg/ml
- 抗体英文名:
CYB5R3
- 规格:
0.2ml
一、服务内容 1、客户可提供抗原用于制备多克隆抗体,抗原可包含:天然蛋白、重组蛋白、细胞或细胞提取液、病毒或病原体、菌种或菌体蛋白、小分子多肽、化合物;其中小分子多肽和化合物等半抗原免疫前需偶联载体蛋白。 2、客户可提供蛋白名称、GeneID、核酸序列、氨基酸序列等信息,我公司根据客户的实验需求设计抗原,合成多肽抗原或表达蛋白抗原,免疫动物制备多克隆抗体。 3、可提供抗体标记、抗体对筛选、试剂盒开发、免疫学检测等增值服务。 二、服务流程 1、客户提交多克隆抗体制备请求并明确对抗体的要求,与公司商定具体的制备项目、数量和费用,双方签订《委托多 克隆抗体制备合同》。 2、客户提供抗原或抗原信息,我公司按照合同要求安排多克隆抗体制备服务,并在规定时间内完成制备委托。 3、抗体制备完成后,我公司按照客户要求纯化分装,免费低温邮寄给客户,同时提供抗体制备报告。 三、样品要求 1、客户提供制备抗体所需蛋白或多肽片段,抗原纯度>85%,数量>10mg,浓度>1mg/ml。 2、客户提供的抗原信息应包含蛋白抗原的英文全称、种属信息、GeneID或序列信息;化合物抗原应提供化学结构式、活性基团、溶解性等信息。 3、请提前说明样品来源和生物危害等情况,或其他任何特殊情况。
风险提示:丁香通仅作为第三方平台,为商家信息发布提供平台空间。用户咨询产品时请注意保护个人信息及财产安全,合理判断,谨慎选购商品,商家和用户对交易行为负责。对于医疗器械类产品,请先查证核实企业经营资质和医疗器械产品注册证情况。
文献和实验相关实验
细胞色素b563 cytochrome b563 亦称细胞色素 b6 。存在于高等植物至藻类的叶绿体中,与类囊体膜结合紧密。含有原正铁血红素,氧化还原 (β带)和 434nm(γ带或 So- ret带)。为发动光合磷酸化的环状电子传递系统的一个成分,可被光化系统Ⅰ所还原和氧化。
广义的细胞色素 b是指含有血红素的细胞色素的总称,是血红素和蛋白质之间无共价键的物质。狭义的细胞色素 b包含于动物等的线粒体中。所包含的血红素,还原型的吸收带为 562、 531、 429毫微米,分子量约为 3万。分离物与结构结合状态之间在自动氧化性、氧化还原电位上存在着差异。包含在线粒体的电子传递系统中。
面包酵母中的一种细胞色素 b。含有血红素,还原型吸收带为 557、 528、 423毫微米,分子量约 17万。和 L-乳酸脱氢酶( EC1. 1. 2. 3)相同,这个酶还含有 FMN和寡聚脱氧核糖核苷酸,通过细胞色素 C氧化乳酸。
技术资料暂无技术资料 索取技术资料
细胞色素b5还原酶3抗体
询价










