相关产品推荐更多 >
万千商家帮你免费找货
0 人在求购买到急需产品
- 详细信息
- 文献和实验
- 技术资料
- 供应商:
上海机纯实业有限公司
- 库存:
大量
- 英文名:
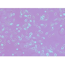
YAC-1
- 生长状态:
贴壁生长
- 运输方式:
干冰
- 规格:
详见说明书
YAC-1(淋巴瘤)全程提供细胞生物体、生长特性、来源、器官、类型、形态、培养条件、应用、组织、冻存条件等复苏及冻存细胞株说明书信息,专业的技术支持您的细胞系实验,让您实验再无烦扰!培养的前一周内出现质量问题,客户可凭细胞的照片以及书面形式的细胞培养,实验操作过程提供给我司。经技术人员核实认定为可以予以重发的情况,由我司再免费提供一次细胞。
YAC-1(淋巴瘤)订购指南:
细胞常温运输,完全培养基、细胞因子等低温运输,国内快递1-4天即可送达,偏远区域除外。
其他相关细胞产品:
JC4218 SK-N-MC细胞,神经上皮瘤细胞
JC5897 人恶性胚胎横纹肌瘤细胞;RD
JC6696 小鼠杂交瘤细胞;SCGN-F9
JC2851 NCI-H596 [H596](人肺癌细胞)
JC9090 正常小鼠睾丸Sertoli细胞,TM4
JC10626 非洲绿猴肾细胞
JC6152 非洲绿猴肾细胞(SV40转化);COS-1 [COS1]
JC7172 EB病毒转化的人B淋巴细胞KMY0903细胞
JC2946 小鼠神经细胞瘤与大鼠神经胶质瘤之融合细胞,NG108-15[108CC15]细胞
JC6273 人Ph+急淋白血病细胞系;SUP-B15
JC4627 M2e细胞,人喉癌细胞
JC9790 人胃腺癌细胞,AGs细胞
JC5384 DSL-6A/C1细胞,大鼠胰腺癌细胞株
JC8153 人侵袭性脉络膜黑色素瘤细胞MuM-2C细胞
JC6806 小鼠杂交瘤细胞;AFM-20092C9
JC9105 小鼠淋巴瘤细胞,EL4
JC4942 JEG细胞,人绒毛膜癌
JC10686 小鼠骨髓瘤细胞
JC4460 Hs888Lu细胞,人肺成纤维细胞
JC2980 成纤维细胞,L929细胞
JC6129 小鼠胚胎成纤维细胞;C3H/10T1/2, Clone 8
JC8950 人盲肠腺癌细胞(未分化),Hce-8693
JC6535 小鼠L细胞;TKMp97-12
JC5375 W256细胞,Walker氏癌肉瘤256瘤株
JC9888 人肝动脉平滑肌细胞
JC9099 小鼠结肠癌细胞,CT26.WT
JC6829 粉纹夜蛾细胞;QB-TN9-4s-CL-B
JC4016 小鼠胚胎成纤维细胞,3T6-Swiss albino细胞
JC7254 人皮肤成纤维细胞HSAS1细胞
JC3462 人肺小细胞肺癌,NCI-H2227细胞
风险提示:丁香通仅作为第三方平台,为商家信息发布提供平台空间。用户咨询产品时请注意保护个人信息及财产安全,合理判断,谨慎选购商品,商家和用户对交易行为负责。对于医疗器械类产品,请先查证核实企业经营资质和医疗器械产品注册证情况。
文献和实验YAC Transfer by Microinjection
Soon after the first report of how yeast artificial chromosomes (YACs) could be used as cloning vectors for large DNA fragments, the transfer of YACs into mammalian cells came into focus of interest, Following mammalian cell transfer, the YAC
YAC transfer by Kar1 mating: Reference: Hugerat, Y., Spencer, F., Zenvirth, D. and Simchen, G. (1994). A versatile method for efficient YAC transfer between any two strains. Genomics 22, 108-117 2. Spencer, F., Hugerat, Y
腺淋巴瘤又名淋巴乳突状囊腺瘤,是发生于涎腺的良性肿瘤,几乎全部发生于腮腺,极少数见于颌下腺,未见有发生于小涎腺者,其发病的组织来源不清,有两种说法:一是胚胎发育时期存在于腮腺导管内的淋巴结内的 腮腺组织发生而来,另一种说法是由于腺管上皮的增生与炎症或免疫反应发展形成。 临床表现 1.好发于腮腺后份表面及下极。 2.生长缓慢,无症状,一般较小(直径4cm以内),圆或卵圆形,界限清楚,质地较软,活动,与周围组织无粘连,可有双侧发病。 3.涎腺造影示涎腺内良性
技术资料暂无技术资料 索取技术资料









