相关产品推荐更多 >
万千商家帮你免费找货
0 人在求购买到急需产品
- 详细信息
- 文献和实验
- 技术资料
- 供应商:
上海机纯实业有限公司
- 库存:
大量
- 英文名:
MFC
- 生长状态:
贴壁生长
- 运输方式:
干冰
- 规格:
详见说明书
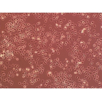
MFC(前胃癌)全程提供细胞生物体、生长特性、来源、器官、类型、形态、培养条件、应用、组织、冻存条件等复苏及冻存细胞株说明书信息,专业的技术支持您的细胞系实验,让您实验再无烦扰!培养的前一周内出现质量问题,客户可凭细胞的照片以及书面形式的细胞培养,实验操作过程提供给我司。经技术人员核实认定为可以予以重发的情况,由我司再免费提供一次细胞。
MFC(前胃癌)订购指南:
细胞常温运输,完全培养基、细胞因子等低温运输,国内快递1-4天即可送达,偏远区域除外。
其他相关细胞产品:
JC4210 CW-2细胞,结肠腺癌细胞
JC3517 SV40T转化的人胚肾细胞(亚系),293T/17细胞
JC8674 人纤维肉瘤细胞,HT-1080
JC10428 杂交瘤(抗CD3)
JC9875 人食管上皮细胞
JC5331 NBTF细胞,新生牛眼Tenon's囊成纤维细胞
JC7726 人乳腺癌细胞ZR-75-30细胞
JC3764 人眼脉络黑色素瘤细胞,MuM-2B细胞
JC8101 人神经母细胞瘤细胞IMR-32细胞
JC9335 小鼠杂交瘤细胞,HB L3-1-54
JC6361 VERO细胞衍生株;SVP
JC9694 大鼠神经胶质瘤细胞,C6细胞
JC4228 NCI-H446[H446]细胞,小细胞肺癌细胞
JC8783 人膀胱移行细胞癌,J82
JC5970 人卵巢癌细胞;Caov-4
JC2619 RH-35(肝癌细胞)
JC8686 人髓母细胞瘤细胞,D341 Med
JC2800 C6(脑胶质瘤细胞)
JC3647 人正常前列腺上皮细胞,RWPE-1细胞
JC5535 小鼠杂交瘤细胞;HB PG 11
JC4603 L-M TK细胞,鼠胸腺激酶缺陷细胞株
JC10895 人Burkitt's淋巴瘤细胞
JC8192 小鼠淋巴细胞白血病L1210 细胞
JC10462 大鼠肝癌细胞
JC8194 人胰腺腺泡上皮癌HPAC细胞
JC10910 人单核细胞白血病
JC5387 Ranca细胞,小鼠肾癌细胞
JC9640 RAW264.7小鼠单核巨噬细胞白血病细胞
JC7402 中国仓鼠卵巢细胞(亚系克隆)CHO-DUKXB11-prepro-TGFβ1cDNA细胞
JC7696 人T淋巴瘤细胞H9细胞
风险提示:丁香通仅作为第三方平台,为商家信息发布提供平台空间。用户咨询产品时请注意保护个人信息及财产安全,合理判断,谨慎选购商品,商家和用户对交易行为负责。对于医疗器械类产品,请先查证核实企业经营资质和医疗器械产品注册证情况。
文献和实验最终pH7.4±0.2 使用方法: 1、 称取本品52.2g,加入蒸馏水或去离子水1 L,搅拌加热煮沸至完全溶解,冷至50℃左右,倾注平皿,待凝固后备用。 2、 水样抽滤。水样滤完后,再抽气约5秒,关上阀门,取下滤器,用灭菌镊子夹取滤膜边缘部分,移放在MFC培养基上,滤膜截留面向上,滤膜应与培养基完全贴紧,两者间不得留有
动物组织肿瘤细胞 AtT-20 小鼠垂体瘤 BC3H1 鼠脑瘤 BV-2 小鼠小胶质瘤细胞 C6 大鼠脑胶质瘤 Cyc-tAg 小鼠T淋巴细胞瘤(SV40T抗原转染) DCS 小鼠树突状细胞肉瘤(B类) EL-4 鼠T淋巴细胞瘤 FOX-NY 小鼠淋巴瘤细胞 GH3 大鼠垂体瘤细胞 HEPA1-6 小鼠肝癌细胞 MEL 小鼠红白血病细胞 MFC 小鼠前胃癌细胞 MMQ 大鼠垂体瘤细胞 NG108-15 小鼠
-8 EBV转化的绒猴白细胞 CP-88 草鱼胚胎细胞 NISE-Sacy-12 蓖麻蚕卵细胞 ZC-7901 草鱼吻端细胞 RF/6A 猴脉络膜-视网膜细胞(内皮) Mv1Lu 貂肺上皮细胞 二、肿瘤细胞 1.小鼠类 EL4 淋巴瘤 Pcc4 胚癌细胞 EL4IL-2 淋巴瘤 P815 肥大细胞瘤 YAC-1 淋巴瘤 MFC 前胃癌 L1210 淋巴白血病 AtT20 垂体瘤 P388D1 淋巴样瘤 NS
技术资料暂无技术资料 索取技术资料









