万千商家帮你免费找货
0 人在求购买到急需产品
- 详细信息
- 技术资料
- 供应商:
上海机纯实业有限公司
- 库存:
大量
- 英文名:
UM-UC-1
- 生长状态:
贴壁生长
- 运输方式:
干冰
- 规格:
详见说明书
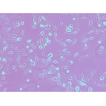
UM-UC-1(膀胱移行癌细胞)细胞库管理规范提供上万种细胞抹细胞系,囊括ATCC细胞细胞系细胞珠肿盍细胞细胞贴壁细胞悬浮细胞等提供参考文献和优培养条件。为广大科研工作者大大节省了重复劳动的时间和精力,我们有过硬的技术咨询和完善的售后服务,为您解决后顾之忧。
有关UM-UC-1(膀胱移行癌细胞)无菌技术:
1. 实验进行前,无菌室及无菌操作台(laminar flow) 以紫外灯照射30-60 分钟灭菌,以70 % ethanol 擦拭无菌操作台面,并开启无菌操作台风扇运转10 分钟后,才开始实验操作。每次操作只处理一株细胞株,且即使培养基相同亦不共享培养基,以避免失误混淆或细胞间污染。实验完毕后,将实验物品带出工作台,以70 % ethanol 擦拭无菌操作台面。操作间隔应让无菌操作台运转10分钟以上后,再进行下一个细胞株的操作。
2. 无菌操作工作区域应保持清洁及宽敞,必要物品,例如试管架、吸管、吸取器或吸管盒等可以暂时放置,其它实验用品用完即应移出,以利于气流之流通。实验用品以70 % ethanol 擦拭后才带入无菌操作台内。实验操作应在台面的中央无菌区域,勿在边缘的非无菌区域操作。
3. 小心取用无菌的实验物品,避免造成污染。勿碰触吸管尖头部或容器瓶口,亦不要在打开的容器正上方操作实验。容器打开后,以手夹住瓶盖并握住瓶身,倾斜约45° 角取用,尽量勿将瓶盖盖口朝上放置桌面。
4. 工作人员应注意自身的安全,须穿戴实验衣及手套后才进行实验。对于来自人类或是病毒感染的细胞株应特别小心操作,并选择适当等级的无菌操作台(至少Class II)。操作过程中,应避免引起aerosol 的产生,例如DMSO 及TPA 等,并避免尖锐针头的伤害等。
UM-UC-1(膀胱移行癌细胞)保证运输中细胞的正常生长,关于其价格、报价、货期,请咨询机纯生物。
有关UM-UC-1(膀胱移行癌细胞)无菌技术:
1. 实验进行前,无菌室及无菌操作台(laminar flow) 以紫外灯照射30-60 分钟灭菌,以70 % ethanol 擦拭无菌操作台面,并开启无菌操作台风扇运转10 分钟后,才开始实验操作。每次操作只处理一株细胞株,且即使培养基相同亦不共享培养基,以避免失误混淆或细胞间污染。实验完毕后,将实验物品带出工作台,以70 % ethanol 擦拭无菌操作台面。操作间隔应让无菌操作台运转10分钟以上后,再进行下一个细胞株的操作。
2. 无菌操作工作区域应保持清洁及宽敞,必要物品,例如试管架、吸管、吸取器或吸管盒等可以暂时放置,其它实验用品用完即应移出,以利于气流之流通。实验用品以70 % ethanol 擦拭后才带入无菌操作台内。实验操作应在台面的中央无菌区域,勿在边缘的非无菌区域操作。
3. 小心取用无菌的实验物品,避免造成污染。勿碰触吸管尖头部或容器瓶口,亦不要在打开的容器正上方操作实验。容器打开后,以手夹住瓶盖并握住瓶身,倾斜约45° 角取用,尽量勿将瓶盖盖口朝上放置桌面。
4. 工作人员应注意自身的安全,须穿戴实验衣及手套后才进行实验。对于来自人类或是病毒感染的细胞株应特别小心操作,并选择适当等级的无菌操作台(至少Class II)。操作过程中,应避免引起aerosol 的产生,例如DMSO 及TPA 等,并避免尖锐针头的伤害等。
UM-UC-1(膀胱移行癌细胞)保证运输中细胞的正常生长,关于其价格、报价、货期,请咨询机纯生物。
风险提示:丁香通仅作为第三方平台,为商家信息发布提供平台空间。用户咨询产品时请注意保护个人信息及财产安全,合理判断,谨慎选购商品,商家和用户对交易行为负责。对于医疗器械类产品,请先查证核实企业经营资质和医疗器械产品注册证情况。
技术资料暂无技术资料 索取技术资料
UM-UC-1(膀胱移行癌细胞)
询价









