万千商家帮你免费找货
0 人在求购买到急需产品
- 详细信息
- 文献和实验
- 技术资料
- 供应商:
上海机纯实业有限公司
- 库存:
大量
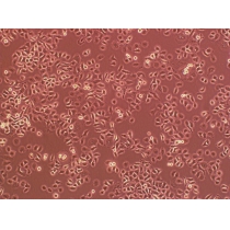
- 英文名:
COS-7
- 生长状态:
贴壁生长
- 运输方式:
干冰
- 规格:
详见说明书
有关COS-7(非洲绿猴肾细胞)无菌技术:
1. 实验进行前,无菌室及无菌操作台(laminar flow) 以紫外灯照射30-60 分钟灭菌,以70 % ethanol 擦拭无菌操作台面,并开启无菌操作台风扇运转10 分钟后,才开始实验操作。每次操作只处理一株细胞株,且即使培养基相同亦不共享培养基,以避免失误混淆或细胞间污染。实验完毕后,将实验物品带出工作台,以70 % ethanol 擦拭无菌操作台面。操作间隔应让无菌操作台运转10分钟以上后,再进行下一个细胞株的操作。
2. 无菌操作工作区域应保持清洁及宽敞,必要物品,例如试管架、吸管、吸取器或吸管盒等可以暂时放置,其它实验用品用完即应移出,以利于气流之流通。实验用品以70 % ethanol 擦拭后才带入无菌操作台内。实验操作应在台面的中央无菌区域,勿在边缘的非无菌区域操作。
3. 小心取用无菌的实验物品,避免造成污染。勿碰触吸管尖头部或容器瓶口,亦不要在打开的容器正上方操作实验。容器打开后,以手夹住瓶盖并握住瓶身,倾斜约45° 角取用,尽量勿将瓶盖盖口朝上放置桌面。
4. 工作人员应注意自身的安全,须穿戴实验衣及手套后才进行实验。对于来自人类或是病毒感染的细胞株应特别小心操作,并选择适当等级的无菌操作台(至少Class II)。操作过程中,应避免引起aerosol 的产生,例如DMSO 及TPA 等,并避免尖锐针头的伤害等。
COS-7(非洲绿猴肾细胞)保证运输中细胞的正常生长,关于其价格、报价、货期,请咨询机纯生物。
风险提示:丁香通仅作为第三方平台,为商家信息发布提供平台空间。用户咨询产品时请注意保护个人信息及财产安全,合理判断,谨慎选购商品,商家和用户对交易行为负责。对于医疗器械类产品,请先查证核实企业经营资质和医疗器械产品注册证情况。
文献和实验传代步骤比较传统:倒掉培养液->PBS洗2遍->胰酶0.25%消化->倒掉胰酶->加培养基->用吸管吹打均匀->分瓶->放置37度,5%CO2孵箱。我的体会是:1、消化时间和实验环境温度也有很大关系,我们实验室条件比较差,不能维持恒温(不过我想大部分实验室目前也还是做不到的)。夏天的时候,消化特别快。但是到了冬天,就很慢,要用手捂老半天。2、消化到什么程度可以,经验很重要,如果每瓶消化都要通过显微镜观察来判断,首先效率太低,而且还很容易消化过头。对光观察培养瓶,当感觉到有些泛白,瓶角有少许细胞
地鼠肾BS-C-1 非注洲绿猴肾C2C12 小鼠成肌细胞C3H 10T1/2 2A6 小鼠成纤维细胞CHOdhfr 二氢叶酸缺陷型中国仓鼠卵巢细胞CHO-K1 中国仓鼠卵巢细胞COS-1 非洲绿肾COS-7 非洲绿猴肾细胞 CV-1 猴肾细胞 FDC-P1 小鼠正常骨髓细胞 IAR20 小鼠肝细胞 IEC-6 大鼠小肠隐窝上皮细胞 LL-PK1 猪肾细胞 MC3T3-E1 小鼠胚胎成骨细胞 MDCK 狗肾细胞 MEF 小鼠
元 CNE TCHu 13 人 鼻咽癌细胞 400元 COLO 205 TCHu102 人 结肠癌细胞 800元 COLO-320 TCHu 14 人 结肠腺癌细胞 450元 COS-1 GNO 1 非洲绿猴 SV40转化的非洲绿猴肾细胞 400元 COS-7 GNO 2 非洲绿猴 SV40转化的非洲绿猴肾细胞 400元 CRFK GNO16 猫 猫肾细胞 400元 CTLL-2 GNM 4 小鼠 T细胞 450元 CV
技术资料暂无技术资料 索取技术资料










