研选同类产品更多 >
万千商家帮你免费找货
0 人在求购买到急需产品
- 详细信息
- 用户评价
- 文献和实验
- 技术资料
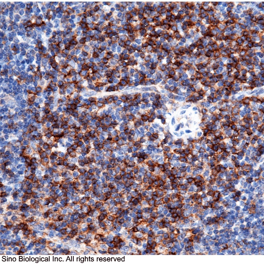
- 免疫原:
Recombinant Mouse CD4 protein (Catalog#50134-M08H)
- 亚型:
Rabbit IgG
- 形态:
液体
- 保存条件:
在-20℃ to -80℃
- 克隆性:
MAb
- 适应物种:
兔
- 保质期:
12个月
- 抗原来源:
50134-M08H
- 目录编号:
50134-R001
- 级别:
免疫学试剂
- 库存:
99
- 供应商:
北京义翘神州科技股份有限公司
- 宿主:
Rabbit
- 应用范围:
ELISA,IHC-P
- 浓度:
ELISA: 1:5000-1:10000;IHC-P: 1:100-1:500
- 靶点:
CD4
- 抗体英文名:
CD4 Antibody, Rabbit MAb
- 抗体名:
CD4 兔单抗
- 规格:
20 µL/100 µL
| 规格: | 20 µL | 产品价格: | ¥800.0 |
|---|---|---|---|
| 规格: | 100 µL | 产品价格: | ¥2500.0 |
CD4|CD4 antibody|CD4抗体|Anti-Mouse 兔单抗(产品说明)
抗体种属:Mouse
抗体靶点:CD4
抗体应用:ELISA,IHC-P
抗原货号:50134-M08H
抗原描述:Recombinant Mouse CD4 protein (Catalog#50134-M08H)
抗体宿主:Rabbit
抗体Ig类型:Rabbit IgG
抗体纯化方法:Protein A
抗体制备:This antibody was obtained from a rabbit immunized with purified, recombinant Mouse CD4 (rM; Catalog#50134-M08H; NP_038516.1; Met 1-Thr 394).
抗体特异性:Mouse CD4
抗体保存:This antibody can be stored at 2℃-8℃ for one month without detectable loss of activity. Antibody products are stable for twelve months from date of receipt when stored at -20℃ to -80℃. Preservative-Free. Avoid repeated freeze-thaw cycles.
风险提示:丁香通仅作为第三方平台,为商家信息发布提供平台空间。用户咨询产品时请注意保护个人信息及财产安全,合理判断,谨慎选购商品,商家和用户对交易行为负责。对于医疗器械类产品,请先查证核实企业经营资质和医疗器械产品注册证情况。
用户评价
暂无用户评价
文献和实验1, Plüss L, et al. Generation and in vivo characterization of a novel high-affinity human antibody targeting carcinoembryonic antigen.mAbs, PubMed ID: 37243574
2, Liu J, et al. FAP is a prognostic marker, but not a viable therapeutic target for clinical translation in HNSCC.Cellular oncology (Dordrecht), PubMed ID: 37856075
3, Elsayed A, et al. Optimizing the design and geometry of T cell engaging bispecific antibodies targeting CEA in colorectal cancer.Molecular cancer therapeutics, PubMed ID: 38638035
4, Wu R, et al. Gasdermin C promotes Stemness and Immune Evasion in Pancreatic Cancer via Pyroptosis-Independent Mechanism.Advanced science (Weinheim, Baden-Wurttemberg, Germany), PubMed ID: 39297408
组织化学分析。(图 C)使用Anti-Erk1/2 Mouse mAb 鼠单抗进行目的蛋白检测;(图 D) 使用p44/42 MAPK (Erk1/2)Rabbit mAb 兔单抗进行目的蛋白检测。 图 7 免疫组化实验检测Akt表达 注:使用 Anti-Akt (pan) Rabbit mAb 对正常小鼠肝组织进行免疫组织化学分析。(图 E)使用免疫组化试剂盒 M&R HRP/DAB Detection IHC Kit,抗体1:100 稀释;(图F)使用另一种试剂盒,抗体 1:100 稀释。
h)即可。2. 修复大法——不仅仅是「煮一煮」微波炉修复:简单易行效果好,CST 推荐使用微波炉完成修复。合适的修复液:根据抗体说明书使用合适的修复液。用柠檬酸修复后,切片需浸泡在修复液中,自然冷却;而用 EDTA 修复后,切片可直接从修复缸中取出,直接进行下一步。注:使用不同的修复方式和不同生产商的抗体检测人肺癌组织中 EGFR 的表达。第一排为 CST 的 EGF Receptor (D38B1) XP® Rabbit mAb(#4267),EDTA 的修复方式明显优于柠檬酸盐及胃蛋白
到 PVDF 膜上,同时减少蛋白不必要降解,这对于最终获得清晰、可信结果也是需要考虑因素。抗体信息:1.ACC1, Recombinant Rabbit monoclonal IgG. HuaAn. HuaAn biotechnology , inc.2.ATGL, Mouse mAb IgG1, Cat#:RT1058. HuaAn biotechnology , inc.3.p-PERK(Thr981), Rabbit Polyclonal IgG primary antibodies, Cat
技术资料暂无技术资料 索取技术资料











