相关产品推荐更多 >
万千商家帮你免费找货
0 人在求购买到急需产品
- 详细信息
- 文献和实验
- 技术资料
- 供应商:
上海机纯实业有限公司
- 库存:
大量
- 年限:
12个月
- 英文名:
Tca-8113 [Tca8113]
- 规格:
T25
| 目录号 | JC-Y1510 |
| 细胞英文(简称) | Tca-8113 [Tca8113] |
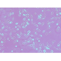
| 细胞名称 | Tca-8113 [Tca8113]人舌鳞癌细胞 |
| 背景资料 | Tca-8113源自属于I级鳞癌(T2N1Amo, II stage)的原位舌癌的活组织检查切片。通过干贴壁方法建立于1987年,传代时间为38小时。传代第三天有丝分裂指数为61%,移植效率为86%,软琼脂克隆生成率为53-57.7%。ATS处理后在ICR和C57B1小鼠中成瘤。电镜和组化特征与鳞癌相符。 |
| 细胞来源 | ATCC |
| 代次 | P3 |
| 规格 | T25 |
| 细胞数 | 50-100万 |
| 价格 | 电议 |
| 生物安全级别 | 2 |
| 组织来源 | 舌癌 |
| 细胞形态 | 贴壁;上皮细胞样 |
| 细胞活力 | 95%(Viability by Trypan Blue Exclusion) |
| 细胞检测 | 细胞不含有HIV-1、HBV、HCV、支原体、细菌、酵母和真菌 |
| 培养条件 | RPMI-1640 +10% FBS;37℃,5% CO2 |
| 传代方法 | 建议1:2-1:3 两天换液一次 |
| 冻存条件 | 完全培养基50%+40%FBS+10%DMSO |
风险提示:丁香通仅作为第三方平台,为商家信息发布提供平台空间。用户咨询产品时请注意保护个人信息及财产安全,合理判断,谨慎选购商品,商家和用户对交易行为负责。对于医疗器械类产品,请先查证核实企业经营资质和医疗器械产品注册证情况。
文献和实验【求助】STAT3在人舌癌细胞株Tca8113中是否高表达?
ykzj1981 请教各位,我曾查阅文献,有人已经证实口腔鳞癌中存在STAT3的高表达,但Tca8113中是否存在,至今未查到相关文献,是Tca8113中不存在,还是没有人做,请教各位! qingguyouquan Tca8113是国产口腔癌肿瘤细胞株,好像是二医的,国外认可度低,楼主用它做实验效果可能不太好,并且最多发国内期刊。 http://www.ncbi.nlm.nih.gov/sites/entrez
Protocol for Trichloroacetic Acid (TCA) Precipitation
Introduction The efficiency of nucleotide incorporation in DNA/RNA polymerization reactions (e.g. transcription, reverse transcription, and DNA replication) can be determined by trichloroacetic acid (TCA) precipitation. TCA
volume of 20% TCA (trichloroacetic acid)to protein sample.2.Incubate 30 min on ice.3.Spin in microfuge at 4 deg.For 15 min.4.Carefully remove all supernatant.5.Add ~300μl cold acetone and spin 5 min at 4 degrees.6.Remove supernatant and dry pellet.7.Resuspend
技术资料暂无技术资料 索取技术资料




![[RPMI8226细胞]人多发性骨髓瘤细胞](https://img1.dxycdn.com/2019/0221/991/3330135536899453745-14.jpg!wh200)





