相关产品推荐更多 >
万千商家帮你免费找货
0 人在求购买到急需产品
- 详细信息
- 询价记录
- 文献和实验
- 技术资料
- 库存:
20
- 细胞类型:
I类
- 品系:
优良品
- 组织来源:
ATCC/sciencell/上海细胞库/自建细胞库
- 物种来源:
ATCC/sciencell/上海细胞库/自建细胞库
- 细胞形态:
贴壁
- 器官来源:
ATCC/sciencell/上海细胞库/自建细胞库
- 运输方式:
常温运输或冻存干冰运输
- 年限:
3~5代
- 生长状态:
优良
- 规格:
5×106cells/T25细胞培养瓶
| Organism | Tissue | Morphology | Culture Properties |
| Homo sapiens (Human) | Skin | Epithelial | Adherent |
本细胞株详细信息如下:
| General Information | |
| Cell Line Name | A-375 (Human Amelanotic Melanoma Cells) |
| Synonyms | A 375; A375; A375-MEL; A375-mel; A375mel |
| Organism | Homo sapiens (Human) |
| Tissue | Skin |
| Cell Type | - |
| Morphology | Epithelial |
| Disease | Malignant melanoma |
| Strain | - |
| Biosafety Level* | 1 |
| Age at Sampling | 54 years |
| Gender | Female |
| Genetics | - |
| Ethnicity | - |
| Applications | This cell line is a suitable transfection host. This cell line is also the ideal control for NRAS mutant-A375 isogenic cell line (ATCC® CRL-1619IG-2™). |
| Category | Cancer cell line |
* Biosafety classification is based on U.S. Public Health Service Guidelines, it is the responsibility of the customer to ensure that their facilities comply with biosafety regulations for their own country.
| Characteristics | |
| Karyotype | It is a hypotriploid with a modal number of 62 chromosomes. There are 9 marker chromosomes that are commonly found in each cell, and normal N2, N6, and N22 are present at one copy per cell. |
| Virus Susceptibility | - |
| Derivation | - |
| Clinical Data | 54 years; female |
| Antigen Expression | - |
| Receptor Expression | - |
| Oncogene | - |
| Genes Expressed | - |
| Gene expression databases | ArrayExpress: E-MTAB-2706; E-MTAB-2770; E-MTAB-3610; GEO: GSM206443; GSM218051; GSM274681; GSM276771; GSM555173; GSM827158; GSM886854; GSM887919; GSM952580; GSM1092559; GSM1138787; GSM1374382; GSM1669582 |
| Metastasis | - |
| Tumorigenic | Yes |
| Effects | Yes, in immunosuppressed mice |
| Comments | - |
| Culture Method | |
| Doubling Time | 20~34 hrs |
| Methods for Passages | Wash by PBS once then 0.05% trypsin-EDTA solution and incubate at room temperature (or at 37ºC), observe cells under an inverted microscope until cell layer is dispersed (usually within 1 to 5 minutes) |
| Medium | DMEM (high glucose)+10% FBS |
| Special Remarks | - |
| Medium Renewal | Every 2 to 3 days |
| Subcultivation Ratio | 1:3 to 1:8 |
| Growth Condition | 95% air + 5% CO2, 37ºC |
| Freeze medium | DMEM (high glucose)+20% FBS+10% DMSO,也可以订购细胞冻存液(C0210)。 |
本细胞株经过支原体检测(Mycoplasma Test),检测结果为阴性。
本细胞株通过STR (short tandem repeats)鉴定,具体结果如下:
| AMEL | D16S539 | D7S820 |
![]() |
![]() |
![]() |
| D5S818 | THO1 | TPOX |
![]() |
![]() |
![]() |
| vWA | D13S317 | CSF1PO |
![]() |
![]() |
![]() |

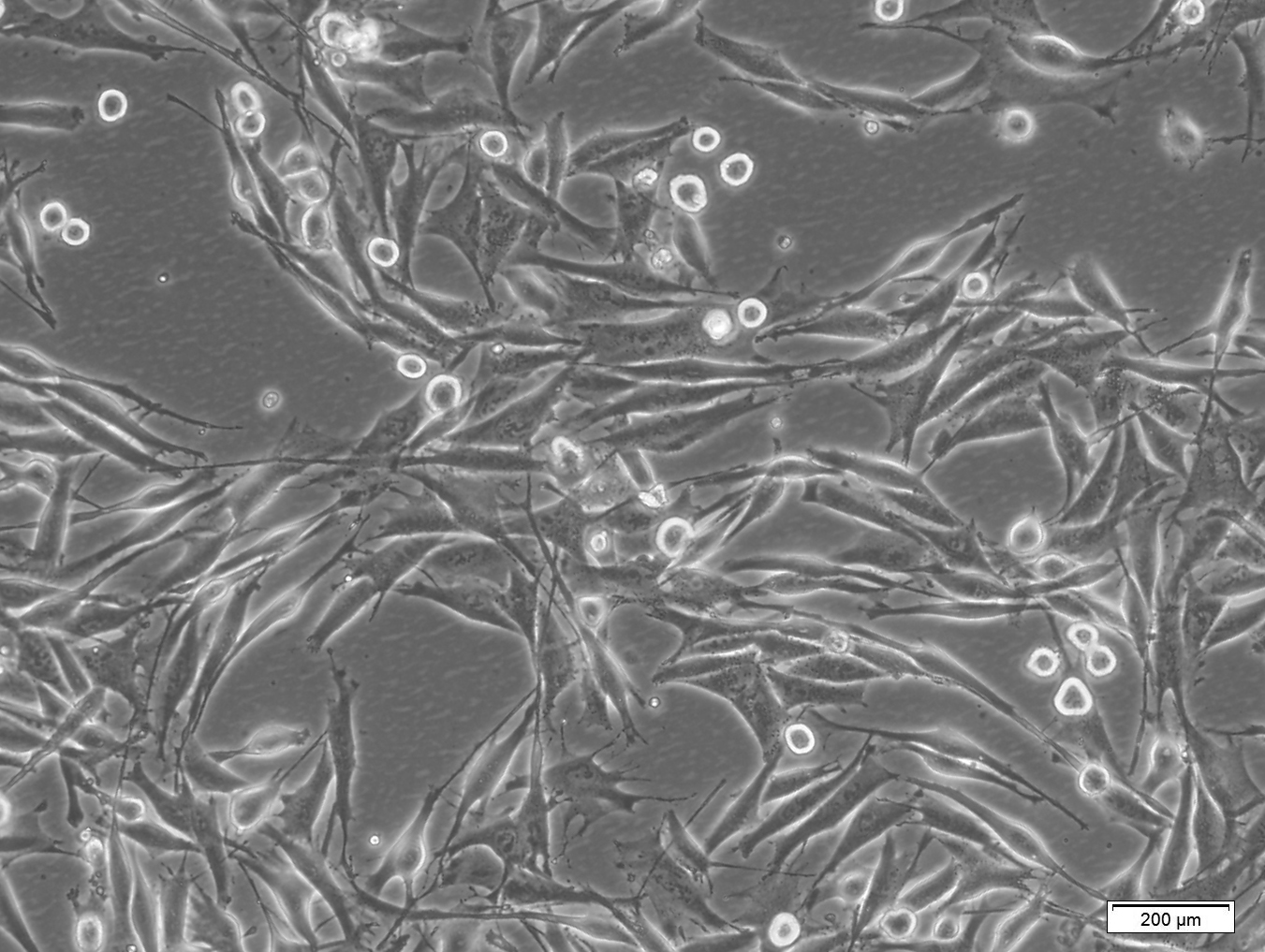
本细胞株的培养图片如下:
包装清单:
| 产品编号 | 产品名称 | 包装 |
| C6046 | A-375 (人无黑色素性黑色素瘤) | 1支/瓶 |
| — | 说明书 | 1份 |
保存条件:
对于细胞培养瓶或离心管运输的活细胞,室温3-5天有效。对于干冰运输的冻存细胞,液氮保存,长期有效;-80ºC保存,2个月有效。
STR结果可以与ATCC、DSMZ及中国国家实验细胞资源共享平台等网站的数据库进行比对,匹配度80%以上即可认为该细胞系正确。
本产品会根据细胞是否正在培养、目的地距离等因素确定运输方式:冷冻的细胞冻存管(干冰)、一小瓶贴壁培养的细胞或一小瓶/管悬浮培养的细胞(常温)。为了更好地耐受长途运输和环境温度等变化,对于正常贴壁培养的细胞,也可能会以悬浮的形式培养在细胞培养瓶或离心管中进行运输。
对于干冰运输的冻存细胞,若干冰已经完全融化,请立即将细胞复苏培养,切勿再次低温冻存;若尚留有干冰,请直接复苏培养或立即将含有细胞的冻存管放入液氮中保存待用,切不可将细胞置于高温环境。
收到冻存的细胞后请尽快复苏细胞进行培养,以确认细胞活力、状态并保种。如暂时不进行复苏操作,冻存细胞可在-80ºC条件下保存2个月。
每支冻存管约含1×106个细胞,体积为0.5-1ml,预期存活率60-90%,建议复苏至1个6cm培养皿中。如果复苏后存活率较低,可以消化后转移至3.5cm培养皿中,这样细胞生长会更好。
如果本产品是常温运输,并且是培养瓶中充满完全培养液的贴壁细胞,收到细胞后请在显微镜下观察细胞生长状态,如果细胞密度超过85%请尽快进行传代操作;如果悬浮的细胞较多,请将培养瓶置于培养箱中静置过夜以使悬浮的细胞再次贴壁。如果收到的是常温运输的离心管装的悬浮细胞,可以直接取出转移至培养皿或培养瓶中培养。若培养液颜色正常则保留培养液继续培养,并且在首次更换培养液时,保留一半原培养液,并加入一半新鲜培养液,这样可以尽量避免由于培养液或血清差异导致细胞生长的不适应,确保细胞良好的生长状态。
细胞培养请在生物安全柜台中进行操作,并严格遵守无菌操作。
请在培养液中加入适量青霉素-链霉素溶液以防止可能的细菌污染,如青霉素-链霉素溶液(100X) (C0222)。
理论上永生化细胞可无限传代,但为了保证细胞的良好状态,建议最早培养的几代细胞就冻存一批,并每培养一段时间后复苏早期冻存的细胞进行培养。
接收、处理、保存、丢弃及使用细胞的时候要遵守相关法律法规,充分考虑可能存在的风险和责任,采取适当的安全和处理措施尽量降低对健康或环境的危害。
本产品仅限于专业人员的科学研究用,不得用于临床诊断或治疗,不得用于食品或药品,不得存放于普通住宅内。
为了您的安全和健康,请穿实验服并戴一次性手套操作。
使用说明:
1. 细胞株的复苏
a. 将冻存管在37℃水浴锅中迅速完全融化(保持冻存管的盖子在液面以上以防止污染),并适当轻轻摇晃促融,切勿vortex。快速、完全融化可以提高细胞的复苏效果。
b. 打开冻存管前时用70%酒精擦拭细胞冻存管外壁,注意某些记号笔不耐酒精,小心标注的记号被擦拭掉。
c. 将完全融化的细胞直接离心,或者转移至无菌1.5ml或其它合适无菌离心管中,500g离心2-5min,吸除上清,注意不要吸走细胞沉淀,然后用新鲜完全培养液重悬后转移至培养器皿,混匀,置于CO2培养箱37℃培养。
d. 第二天视贴壁或生长状态,更换培养液。
2. 贴壁细胞的常规传代流程
a. 将细胞培养液、PBS等放入37℃水浴锅内预热。
b. 以10cm细胞培养皿为例。吸出原培养皿中的培养液,用2-5ml无菌PBS润洗细胞1-2次以去除残留的血清(如果细胞贴壁较差,润洗时要轻柔以避免细胞飘起),然后加1-2ml胰酶细胞消化液(含EDTA)室温消化,注意消化时间,通常为1-5分钟。如果细胞比较难消化,可以置于37℃细胞培养箱一定时间以加速消化。注意:消化时间过长,会导致传代后细胞出现生长状态不良的情况。
c. 每30秒-1分钟用显微镜观察细胞消化情况,贴壁细胞明显收缩、细胞间间隙变大、细胞趋于圆形但还未漂起,并用移液器吹打细胞发现细胞刚好可以被吹打下来时,吸除胰酶细胞消化液,再加入1-2ml新鲜完全培养液,适当晃动细胞皿以终止胰酶作用,用移液器轻轻吹打贴壁的细胞,获取细胞悬液。吹打时需控制力度,避免产生大量气泡,将细胞悬液分别接种到另外的2~5个细胞培养皿内,加入新鲜培养液,置于CO2培养箱37℃培养,第2天观察细胞贴壁生长情况。
d. 也可以在消化后,加3-5ml完全培养液终止消化,用移液器轻轻吹打细胞悬液,尽量把细胞全部吹落、吹散,然后将全部细胞悬液500g离心2-5min,离心后去上清,再用完全培养液重悬后转移到新的培养皿中,添加适量完全培养液,于CO2培养箱37℃培养。
e. 注意培养液的酚红颜色变化或根据细胞的换液要求定期换液,待细胞密度达到80-90%时需要传代或者冻存。如果没有及时传代导致细胞过密,传代后细胞容易出现生长状态不良的情况。
3. 悬浮细胞的常规传代流程
a. 将细胞悬液转移到无菌离心管内,500g离心2-5min,弃去上清,加入新鲜的培养液,用吸管小心吹散沉淀,获取细胞悬液,将细胞悬液分别接种到另外的2-5个细胞瓶内,加入新鲜完全培养液,置于CO2培养箱37℃培养。
b. 也可以取少量悬浮细胞直接转移到新的培养瓶中,添加适当的新鲜完全培养液,置于CO2培养箱37℃培养。
c. 注意培养液的酚红颜色变化或根据细胞的换液要求定期换液,待细胞密度达到80-90%时可以考虑传代或者冻存。
4. 半贴壁半悬浮细胞的培养
a. 若悬浮细胞较多且折光率良好,可离心收集,继续培养。
b. 若仅有少量细胞悬浮,也可不用收集,传代操作按常规贴壁细胞操作流程处理。
c. 若悬浮细胞较多,离心收集,原瓶中贴壁细胞按照常规贴壁细胞操作流程进行消化、终止消化、吹打,并与之前收集的悬浮细胞混合,接种到新的细胞培养皿中。
5. 细胞株的冻存
a. 按照细胞传代方法收集细胞。
b. 细胞计数:一般要求冻存的细胞,每毫升的细胞数量为1×106-107个细胞。
c. 取适当细胞悬液,500g离心2-5min,弃上清,加入细胞冻存液,重悬,转移到冻存管中,用记号笔标记好细胞株名称、冻存日期、代数等信息,并记录在相应表格中以便管理和快速查找细胞位置。
d. 将冻存管放入专用的细胞冻存盒中,-80℃过夜,然后转移至液氮灌中保存。如果没有专用的细胞冻存盒,可以按下面程序进行冻存:4℃ 1h,-20℃ 2h,-80℃过夜,然后转移至液氮灌中保存。冻存细胞储存在-80℃中通常不建议超过半年,时间太长会影响复苏效率。推荐使用细胞冻存盒(FCFC012)。
e. 为保持细胞的良好状态,每隔1年,取出1-2支冻存的细胞复苏一次,并冻存新的细胞。
风险提示:丁香通仅作为第三方平台,为商家信息发布提供平台空间。用户咨询产品时请注意保护个人信息及财产安全,合理判断,谨慎选购商品,商家和用户对交易行为负责。对于医疗器械类产品,请先查证核实企业经营资质和医疗器械产品注册证情况。
- 作者
- 内容
- 询问日期
文献和实验黑色素瘤(melanmoa)又称为恶性黑色素瘤,是一种能产生黑色素的高度恶性肿瘤,大多见于30岁以上成人,发生于皮肤者以足底部和外阴及肛门周围多见,可以一开始即为恶性,但通常由交界痣恶变而来。凡黑痣色素加深、体积增大、生长加快或溃破、发炎和出血等常是恶变的象征。此瘤也可发生于粘膜和内脏器官。黑色素瘤的组织结构呈多样性,瘤细胞可呈巢状、条索状或腺泡样排列。瘤细胞可呈多边形或梭形,核大,常有粗大的嗜酸性核仁,胞浆内可有黑色素颗粒。也有胞浆内没有黑色素颗粒的黑色素瘤,称为无黑色素性黑色素瘤
呈黑色或黑褐色的高度恶性的肿瘤。多从皮肤、眼球、脑脊髓膜等生理上有黑色素( melanin)存在的组织发生。生长甚快,易转移到淋巴结、肝脏等处,且易再发。不仅见于老年,青年也有大致相同的发病率。主张起源于中胚叶的学者使用黑色肉瘤(德 Melanosarkom)这一名称;此外,如果呈现上皮性排列时则称为黑色素癌(德 Melanokarzinom)。在肿瘤组织内氧化的酪氨酸以二羟基吲哚( dihydroxyindole)和多巴( dopa)从尿中排出,形成黑色素,而表现为黑色素
无黑色素性黑瘤。真皮内有显著慢性炎细胞浸润。瘤细胞侵入后则炎性细胞减少及消失,如果有比较明显的炎性细胞,则示反应强,治疗预后较好。 2.临床表现 黑色素瘤发生于中老年人较多,男比女多发。好发下肢足部,其次是躯干、头颈部和上肢。症状主要为迅速长大的黑色素结节。初起可于正常皮肤发生黑色素沉着,或者色素痣发生色素增多,黑色加深,继之病变损害不断扩大,硬度增加,伴有痒痛感觉。黑色素瘤的病损有的呈隆起、斑块及结节状,有的呈蕈状或菜花状。向皮下组织生长时则呈皮下结节或肿块型,向四周扩散者则出现
技术资料暂无技术资料 索取技术资料



















