相关产品推荐更多 >
万千商家帮你免费找货
0 人在求购买到急需产品
- 详细信息
- 询价记录
- 文献和实验
- 技术资料
- 库存:
99
- 保质期:
已收到实际货物为准
- 供应商:
北京诺博莱德科技有限公司
- 保存条件:
已收到实际货物为准
详细信息:
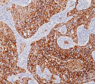
| 克隆号 : | Zym5.2(UCD/PR-10.11) |
| Ig分类 : | IgG1 |
| 适用组织: | 冷冻/石蜡切片 |
| 阳性部位: | 细胞质 |
| 阳性对照: | 结肠 |
| 特异性 : | 此抗体所识别的是分子量分别为52kD(CK8)和45kD(CK18)的人来源的细胞角蛋白。 |
| 推荐效价: | •原液使用前应以适当比例稀释 推荐稀释度为1:50~1:100 •工作液不必稀释,直接滴加使用 |
风险提示:丁香通仅作为第三方平台,为商家信息发布提供平台空间。用户咨询产品时请注意保护个人信息及财产安全,合理判断,谨慎选购商品,商家和用户对交易行为负责。对于医疗器械类产品,请先查证核实企业经营资质和医疗器械产品注册证情况。
- 作者
- 内容
- 询问日期
文献和实验Characterization and Validation of Cre‐Driver Mouse Lines
‐injected Ins1‐CreERT2 /ROSA26 mice revealed specific Cre protein content and Cre activity restricted to the islets of Langerhans. ISH procedures have been described elsewhere (Chotteau‐Lelievre et al., ; Gofflot et al., ). For IHC, primary rabbit anti‐Cre
的光学扫描成像,从而能够研究细胞间的关系和远距离神经连通性。结合荧光示踪剂,组织清除有助于识别相互作用的细胞结构,包括发散或会聚的神经和脉管系统。图 8:PACT 透明及扫描成像总结与讨论目前最为常用的方法是 CLARITY、CUBIC、ScaleS 等。CLARITY 方法自 2013 年问世以来,近年来对其电泳设备及染色方法的改进,极大地缩短了透明和染色时间 [18]。并且已有稳定的商业化透明设备,透明效果好、性能稳定,是目前应用较多的一种方法。CUBIC 由于可同时进行透明和免疫染色,操作简单
Immunofluorescent Staining of Mouse and Rat Leukocytes
-up, please see description in "Procedure for Setting Compensation for Multi-Color Flow Cytometric Analysis". For reducing FcgII/IIIR-mediated antibody binding (or binding of SAv-PE or SAv-Cy-Chrome) which could contribute to background, the use of anti-mouse CD32/CD
技术资料暂无技术资料 索取技术资料









