相关产品推荐更多 >
万千商家帮你免费找货
0 人在求购买到急需产品
- 详细信息
- 询价记录
- 文献和实验
- 技术资料
- 库存:
99
- 保质期:
已收到实际货物为准
- 供应商:
北京诺博莱德科技有限公司
- 保存条件:
已收到实际货物为准
详细信息:
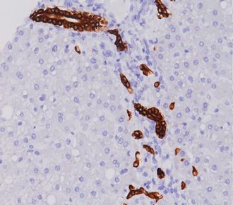
| 克隆号 : | UMAB2 |
| Ig分类 : | IgG1 |
| 适用组织: | 石蜡切片 |
| 阳性部位: | 细胞质 |
| 阳性对照: | 结肠癌 |
| 特异性 : | 此抗体可以识别细胞角蛋白19,与其它丝状蛋白无交叉反应。 |
| 推荐效价: | •原液使用前应以适当比例稀释 推荐稀释度为1:100~1:200 •工作液不必稀释,直接滴加使用 |
风险提示:丁香通仅作为第三方平台,为商家信息发布提供平台空间。用户咨询产品时请注意保护个人信息及财产安全,合理判断,谨慎选购商品,商家和用户对交易行为负责。对于医疗器械类产品,请先查证核实企业经营资质和医疗器械产品注册证情况。
- 作者
- 内容
- 询问日期
文献和实验Monoclonal Antibody-Based Strategies in Autoimmunity and Transplantation
of therapeutic monoclonal antibodies in the fields of transplantation and autoimmunity, and discuss the salient features of antibodies presently used in the clinic-notably anti-T-cell and anticytokine antibodies. The discussion will also focus on the unique
Protocol for anti-HA antibody Western Blotting
seconds, and pour it off: this method was worked out in the Yamamoto lab eons ago). 7) Incubate with secondary antibody (anti-mouse) in 5% BSA/PBS/Tween as you would ordinarily. I usually go for 2 hours @ room temp. 8) 12-15 quick washes again(in 1XPBS
4-Hydroxy-2-Nonenal (4-HNE) Staining by Anti-HNE Antibody
using an anti-4-HNE monoclonal antibody (MAb) (6 –8 ) and labeled goat anti-mouse IgG antibody (9 ).
技术资料暂无技术资料 索取技术资料










