相关产品推荐更多 >
万千商家帮你免费找货
0 人在求购买到急需产品
- 详细信息
- 技术资料
- 库存:
99
- 保质期:
已收到实际货物为准
- 供应商:
北京诺博莱德科技有限公司
- 保存条件:
已收到实际货物为准
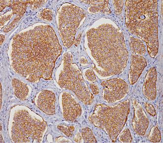
中杉金桥ZM-0057CD56(SCLC) 小鼠抗人CD56单克隆抗体 Mouse anti-CD56(NCAM)Monoclonal Antibody
详细信息:
本产品详情页介绍里面出现*或X代表有网络不能使用的词汇,如需详细的说明请联系本店客服。
详细信息:
| 克隆号 : | UMAB83 |
| Ig分类 : | IgG1 |
| 适用组织: | 石蜡切片 |
| 阳性部位: | 细胞膜/质 |
| 阳性对照: | 小细胞** |
| 特异性 : | 此抗体可以与小细胞肺癌的一种膜抗原反应,同时也可识别神经细胞黏附分子(N-CAM、CD56)。 |
| 推荐效价: | •原液使用前应以适当比例稀释 推荐稀释度为1:100~1:200 •工作液不必稀释,直接滴加使用 |
本产品详情页介绍里面出现*或X代表有网络不能使用的词汇,如需详细的说明请联系本店客服。
风险提示:丁香通仅作为第三方平台,为商家信息发布提供平台空间。用户咨询产品时请注意保护个人信息及财产安全,合理判断,谨慎选购商品,商家和用户对交易行为负责。对于医疗器械类产品,请先查证核实企业经营资质和医疗器械产品注册证情况。
技术资料暂无技术资料 索取技术资料
中杉金桥ZM-0057CD56(SCLC) 小鼠抗人CD56单克隆抗体 Mouse anti-CD56(NCAM)Monoclonal Antibody
询价









