相关产品推荐更多 >
万千商家帮你免费找货
0 人在求购买到急需产品
- 详细信息
- 技术资料
- 免疫原:
Recombinant protein
- 形态:
liquid
- 保存条件:
Store at -20˚C
- 克隆性:
Monoclonal antibody
- 适应物种:
Human;Mouse
- 保质期:
12 months
- 抗原来源:
Recombinant Rabbit
- 供应商:
南京赛戈巍生物科技有限公司
- 宿主:
Recombinant Rabbit
- 应用范围:
WB,IHC
- 靶点:
Uniprot:Q9H461
- 抗体英文名:
Frizzled 8 Rabbit mAb
- 规格:
50ul/100ul
别名:Frizzled 8 seven transmembrane spanning receptor antibody
frizzled 8, seven transmembrane spanning receptor antibody
Frizzled family receptor 8 antibody
frizzled homolog 8 (Drosophila) antibody
Frizzled homolog 8 antibody
Frizzled-8 antibody
FZ 8 antibody
Fz-8 antibody
FZ8 antibody
FZD 8 antibody
FZD8 antibody
FZD8_HUMAN antibody
hFZ 8 antibody
hFz8 antibody
HGNC4046 antibody
Homolog of Drosophila Frizzled 8 antibody
计算分子量:Predicted band size 73 kDa
配方:1*TBS (pH7.4), 1%BSA, 40%Glycerol. Preservative: 0.05% Sodium Azide.
应用详情:WB: 1:500-1:1,000
IHC: 1:50-1:100
图片:
frizzled 8, seven transmembrane spanning receptor antibody
Frizzled family receptor 8 antibody
frizzled homolog 8 (Drosophila) antibody
Frizzled homolog 8 antibody
Frizzled-8 antibody
FZ 8 antibody
Fz-8 antibody
FZ8 antibody
FZD 8 antibody
FZD8 antibody
FZD8_HUMAN antibody
hFZ 8 antibody
hFz8 antibody
HGNC4046 antibody
Homolog of Drosophila Frizzled 8 antibody
计算分子量:Predicted band size 73 kDa
配方:1*TBS (pH7.4), 1%BSA, 40%Glycerol. Preservative: 0.05% Sodium Azide.
应用详情:WB: 1:500-1:1,000
IHC: 1:50-1:100
图片:
![Frizzled 8 Rabbit mAb[49849]](https://img1.dxycdn.com/p/s14/2025/0923/422/8486235259111240791.jpg)
Western blot analysis of Frizzled 8 on mouse lung tissue lysates using anti-Frizzled 8 antibody at 1/500 dilution.
,
![Frizzled 8 Rabbit mAb[49849]](https://img1.dxycdn.com/p/s14/2025/0923/462/4608253948111240791.jpg)
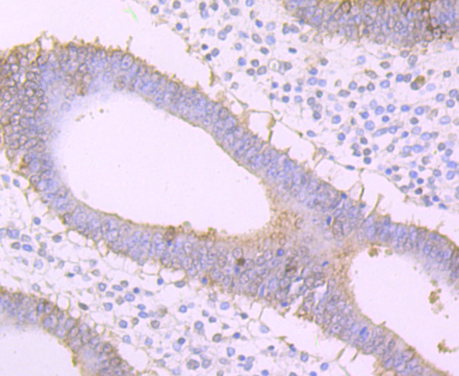
Immunohistochemical analysis of paraffin-embedded human uterus tissue using anti-Frizzled 8 antibody. Counter stained with hematoxylin.
,
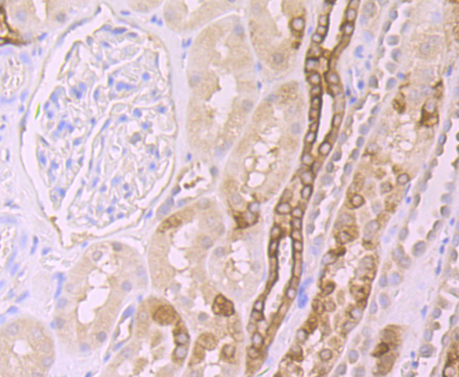
![Frizzled 8 Rabbit mAb[49849]](https://img1.dxycdn.com/p/s14/2025/0923/520/0825030158111240791.jpg)
Immunohistochemical analysis of paraffin-embedded human kidney tissue using anti-Frizzled 8 antibody. Counter stained with hematoxylin.
风险提示:丁香通仅作为第三方平台,为商家信息发布提供平台空间。用户咨询产品时请注意保护个人信息及财产安全,合理判断,谨慎选购商品,商家和用户对交易行为负责。对于医疗器械类产品,请先查证核实企业经营资质和医疗器械产品注册证情况。
技术资料暂无技术资料 索取技术资料
Frizzled 8 Rabbit mAb[49849]
询价


![Frizzled 8 Rabbit mAb[49849]](https://img1.dxycdn.com/p/s14/2025/0923/278/4431488150116040791.jpg)


![COTL1 Mouse mAb[63497]](https://img1.dxycdn.com/p/s14/2025/0922/632/2321321568067599691.jpg!wh200)
![beta II Tubulin Conjugated Antibody[C48885]](https://img1.dxycdn.com/p/s14/2025/0923/305/2150219664296040791.jpg!wh200)
![CHRNA4 Conjugated Antibody[C35829]](https://img1.dxycdn.com/p/s14/2025/0923/278/4431488150116040791.jpg!wh200)
![IL23 P19 Polyclonal Antibody FITC Conjugated[C91309FITC]](https://img1.dxycdn.com/p/s14/2025/0922/498/0460884283108299691.jpg!wh200)
