相关产品推荐更多 >
万千商家帮你免费找货
0 人在求购买到急需产品
- 详细信息
- 文献和实验
- 技术资料
- 免疫原:
Recombinant protein
- 形态:
liquid
- 保存条件:
Store at -20˚C
- 克隆性:
Monoclonal antibody
- 适应物种:
Human;Mouse;Rat
- 保质期:
12 months
- 抗原来源:
Recombinant Rabbit
- 供应商:
南京赛戈巍生物科技有限公司
- 宿主:
Recombinant Rabbit
- 应用范围:
WB, IHC, IP, FC
- 靶点:
Uniprot:P11177
- 抗体英文名:
Pyruvate Dehydrogenase E1 beta subunit Rabbit mAb
- 规格:
50ul/100ul
mitochondrial antibody
ODPB_HUMAN antibody
pdhB antibody
PDHBD antibody
PDHE1 B antibody
PDHE1-B antibody
PHE1B antibody
Pyruvate dehydrogenase (lipoamide) beta antibody
Pyruvate dehydrogenase E1 beta polypeptide antibody
Pyruvate dehydrogenase E1 component subunit beta antibody
Pyruvate dehydrogenase E1 component subunit beta mitochondrial antibody
配方:1*TBS (pH7.4), 1%BSA, 40%Glycerol. Preservative: 0.05% Sodium Azide.
应用详情:WB: 1:500-1:2,000
IHC: 1:50-1:200
FC: 1:50-1:100
图片:

Western blot analysis of Pyruvate Dehydrogenase E1 beta subunit on HepG2 (1) and Hela (2) cell lysate using anti-Pyruvate Dehydrogenase E1 beta subunit antibody at 1/1,000 dilution.
,

Western blot analysis of Pyruvate Dehydrogenase E1 beta subunit on mouse kidney tissue (1) and PC-12 (2) cell lysate using anti-Pyruvate Dehydrogenase E1 beta subunit antibody at 1/1,000 dilution.
,

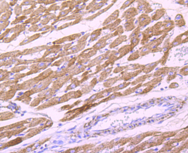
Immunohistochemical analysis of paraffin-embedded rat heart tissue using anti-Pyruvate Dehydrogenase E1 beta subunit antibody. Counter stained with hematoxylin.
,

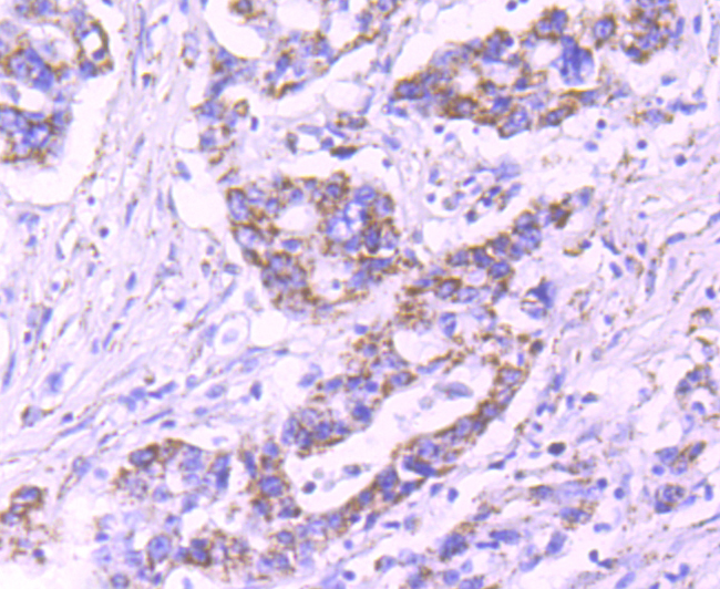
Immunohistochemical analysis of paraffin-embedded human stomach cancer tissue using anti-Pyruvate Dehydrogenase E1 beta subunit antibody. Counter stained with hematoxylin.
,

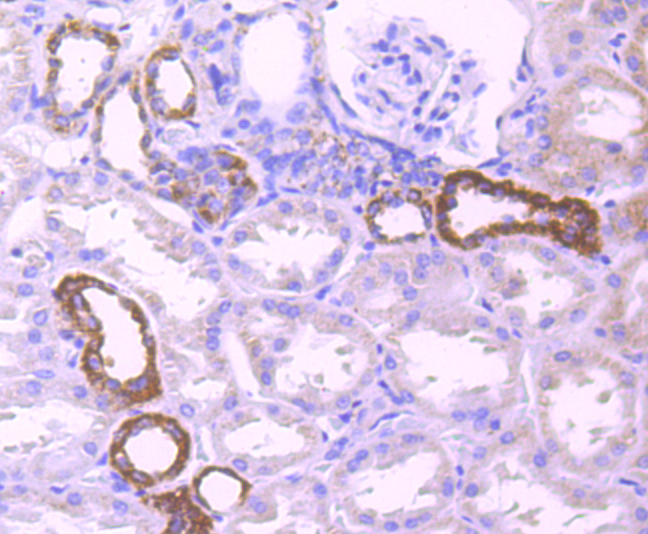
Immunohistochemical analysis of paraffin-embedded human kidney tissue using anti-Pyruvate Dehydrogenase E1 beta subunit antibody. Counter stained with hematoxylin.
,

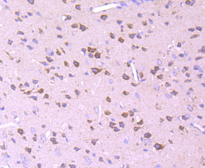
Immunohistochemical analysis of paraffin-embedded mouse brain tissue using anti-Pyruvate Dehydrogenase E1 beta subunit antibody. Counter stained with hematoxylin.
,

Immunohistochemical analysis of paraffin-embedded mouse hippocampus tissue using anti-Pyruvate Dehydrogenase E1 beta subunit antibody. Counter stained with hematoxylin.
,

Flow cytometric analysis of Hela cells with Pyruvate Dehydrogenase E1 beta subunit antibody at 1/100 dilution (red) compared with an unlabelled control (cells without incubation with primary antibody; black).
风险提示:丁香通仅作为第三方平台,为商家信息发布提供平台空间。用户咨询产品时请注意保护个人信息及财产安全,合理判断,谨慎选购商品,商家和用户对交易行为负责。对于医疗器械类产品,请先查证核实企业经营资质和医疗器械产品注册证情况。
文献和实验[资源] 所有的看家基因(housekeeping genes)列表+引物设计服务
protein), beta 1, 88kDa (CTNNB1), mRNA 1165 NM_003753 Homo sapiens eukaryotic translation initiation factor 3, subunit 7 zeta, 66/67kDa (EIF3S7), mRNA 1363 NM_004541 Homo sapiens NADH dehydrogenase (ubiquinone) 1 alpha subcomplex, 1, 7.5kDa (NDUFA1
Studies of the Ubiquitin Proteasome System
Assays of E1 and E2 Activity Basic Protocol 1: Thiolester Formation Between Rabbit E1 and Ubiquitin Basic Protocol 2: Thiolester Formation Between E2 and Ubiquitin Binding of Ubiquitin‐Proteasome Proteins Basic Protocol 3: Binding of E2s to E3s Alternate
祝贺〖雅裕睿安〗成为Signalway Antibody(SAB)独家
ul; 货号21617,产品描述:Tubulin beta-III Antibody;规格 50 ul / 100 ul; 货号21612,产品描述:GAPDH Antibody;规格 50 ul / 100 ul; 货号21335,产品描述:β-Tubulin mouse mAb;规格 50 ul / 100 ul; 货号21336,产品描述:GAPDH mouse
技术资料暂无技术资料 索取技术资料





![AVPR2 Antibody[36765]](https://img1.dxycdn.com/p/s14/2025/0922/359/6146153295428599691.jpg!wh200)
![MDMX Polyclonal Conjugated Antibody[C41128]](https://img1.dxycdn.com/p/s14/2025/0923/278/4431488150116040791.jpg!wh200)
![MRPL45 Rabbit Polyclonal Antibody[53523]](https://img1.dxycdn.com/p/s14/2025/0922/498/0460884283108299691.jpg!wh200)
