相关产品推荐更多 >
万千商家帮你免费找货
0 人在求购买到急需产品
- 详细信息
- 文献和实验
- 技术资料
- 免疫原:
Recombinant protein
- 形态:
liquid
- 保存条件:
Store at -20˚C
- 克隆性:
Monoclonal antibody
- 适应物种:
Human
- 保质期:
12 months
- 抗原来源:
Recombinant Rabbit
- 供应商:
南京赛戈巍生物科技有限公司
- 宿主:
Recombinant Rabbit
- 应用范围:
WB, ICC/IF, IHC, FC
- 靶点:
Uniprot:P10635
- 抗体英文名:
Cytochrome P450 2D6 Rabbit mAb
- 规格:
50ul/100ul
CYP2D antibody
CYP2D6 antibody
CYP2D7AP antibody
CYP2D7BP antibody
CYP2D7P2 antibody
CYP2D8P2 antibody
CYP2DL1 antibody
CYPIID6 antibody
Cytochrome P450 DB1 antibody
Cytochrome P450 family 2 subfamily D member 6 antibody
Cytochrome P450 family 2 subfamily D polypeptide 6 antibody
Debrisoquine 4 hydroxylase antibody
Flavoprotein linked monooxygenase antibody
Microsomal monooxygenase antibody
P450 DB1 antibody
P450C2D antibody
P450DB1 antibody
Xenobiotic monooxygenase antibody
计算分子量:56 kDa
配方:1*TBS (pH7.4), 1%BSA, 40%Glycerol. Preservative: 0.05% Sodium Azide.
应用详情:WB: 1:500-1:2,000
IHC: 1:50-1:200
ICC: 1:50-1:200
FC: 1:50-1:100
图片:

Western blot analysis of Cytochrome P450 2D6 on HepG2 cell using anti-Cytochrome P450 2D6 antibody at 1/1,000 dilution.
,

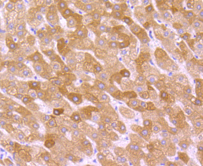
Immunohistochemical analysis of paraffin-embedded human liver tissue using anti-Cytochrome P450 2D6 antibody. Counter stained with hematoxylin.
,

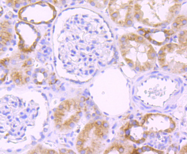
Immunohistochemical analysis of paraffin-embedded human kidney tissue using anti-Cytochrome P450 2D6 antibody. Counter stained with hematoxylin.
,

ICC staining Cytochrome P450 2D6 in HepG2 cells (green). The nuclear counter stain is DAPI (blue). Cells were fixed in paraformaldehyde, permeabilised with 0.25% Triton X100/PBS.
,

ICC staining Cytochrome P450 2D6 in SW480 cells (green). The nuclear counter stain is DAPI (blue). Cells were fixed in paraformaldehyde, permeabilised with 0.25% Triton X100/PBS.
,

Flow cytometric analysis of SW480 cells with Cytochrome P450 2D6 antibody at 1/100 dilution (red) compared with an unlabelled control (cells without incubation with primary antibody; black).
风险提示:丁香通仅作为第三方平台,为商家信息发布提供平台空间。用户咨询产品时请注意保护个人信息及财产安全,合理判断,谨慎选购商品,商家和用户对交易行为负责。对于医疗器械类产品,请先查证核实企业经营资质和医疗器械产品注册证情况。
文献和实验Genotyping for Cytochrome P450 Polymorphisms
Protocols for the extraction of DNA from human blood and for genotyping for a number of common cytochrome P450 polymorphisms using either polymerase chain reaction (PCR)-restriction fragment length polymorphism or PCR-single-strand
Analysis of Cytochrome P450 Polymorphisms
of known polymorphisms in cytochrome P450 genes. Methods for phenotypic detection of polymorphisms in CYP2D6 and CYP2A6 are also described.
Evaluation of Cytochrome P450 Activities in Human Hepatocytes In Vitro
Major hepatic cytochrome P450 activities (CYP1A2, CYP2A6, CYP2B6, CYP2C9, CYP2C19, CYP2D6, CYP2E1, and CYP3A4) can be simultaneously examined in human hepatocytes by incubation with a cocktail of multiple specific probes. Cocktail strategy
技术资料暂无技术资料 索取技术资料





![DGAT1 Rabbit Polyclonal Antibody[55022]](https://img1.dxycdn.com/p/s14/2025/0922/498/0460884283108299691.jpg!wh200)
![KLK3 Conjugated Antibody[C35547]](https://img1.dxycdn.com/p/s14/2025/0923/278/4431488150116040791.jpg!wh200)
![ARSB Antibody[37428]](https://img1.dxycdn.com/p/s14/2025/0922/359/6146153295428599691.jpg!wh200)
