相关产品推荐更多 >
万千商家帮你免费找货
0 人在求购买到急需产品
- 详细信息
- 文献和实验
- 技术资料
- 免疫原:
Synthetic peptide within Human NUR77 aa 10-49 / 598.
- 形态:
liquid
- 保存条件:
Store at -20˚C
- 克隆性:
Monoclonal
- 适应物种:
Human;Mouse;Rat
- 保质期:
12 months
- 抗原来源:
Recombinant Rabbit
- 供应商:
南京赛戈巍生物科技有限公司
- 宿主:
Recombinant Rabbit
- 应用范围:
WB, ICC/IF, IHC
- 靶点:
Uniprot:P22736
- 抗体英文名:
NUR77 Rabbit mAb
- 规格:
50ul/100ul
GFRP 1 antibody
GFRP antibody
GFRP1 antibody
Growth factor inducible nuclear protein N10 antibody
Growth Factor Inducible Nuclear Protein NP10 antibody
Growth Factor Response Protein 1 antibody
Hbr1 antibody
HMR antibody
Hormone Receptor antibody
MGC9485 antibody
N10 antibody
N10 nuclear protein antibody
NAK 1 antibody
NAK1 antibody
Nerve growth factor IB nuclear receptor variant 1 antibody
NGFIB antibody
NP 10 antibody
NP10 antibody
NR4A1 antibody
NR4A1_HUMAN antibody
Nuclear hormone receptor NUR/77 antibody
Nuclear Hormone Receptor TR3 antibody
Nuclear receptor subfamily 4 group A member 1 antibody
NUR77 antibody
NUR77, mouse, homolog of antibody
Orphan nuclear receptor HMR antibody
Orphan nuclear receptor NR4A1 antibody
Orphan nuclear receptor TR3 antibody
Orphan receptor tr3 antibody
Receptor NGFIB antibody
ST 59 antibody
ST-59 antibody
ST59 antibody
Steroid receptor TR3 antibody
Testicular receptor 3 antibody
TR 3 antibody
TR3 antibody
TR3 orphan receptor antibody
计算分子量:64 kDa
配方:1*TBS (pH7.4), 0.05% BSA, 40% Glycerol. Preservative: 0.05% Sodium Azide.
应用详情:
WB: 1:500-1:1000
IHC: 1:50-1:200
ICC: 1:50-1:200
图片:

Western blot analysis of NUR77 on rat brain cells lysates using anti-NUR77 antibody at 1/500 dilution.
,

ICC staining of NUR77 in Hela cells (green).4% PFA fixed cells 20 minutes, washed with PBS. Cells were probed with the primary antibody (49510,1/50) overnight at 4?? washed with PBS.CoraLite488 Goat anti-Rabbit lgG was used as the secondary antibody at 1/100 dilution.The nuclear counter stain is DAPI (blue).
,

ICC staining of NUR77 in 3T3-L1 cells (green).4% PFA fixed cells 20 minutes, washed with PBS. Cells were probed with the primary antibody (49510,1/50) overnight at 4?? washed with PBS.CoraLite488 Goat anti-Rabbit lgG was used as the secondary antibody at 1/100 dilution.The nuclear counter stain is DAPI (blue).
,

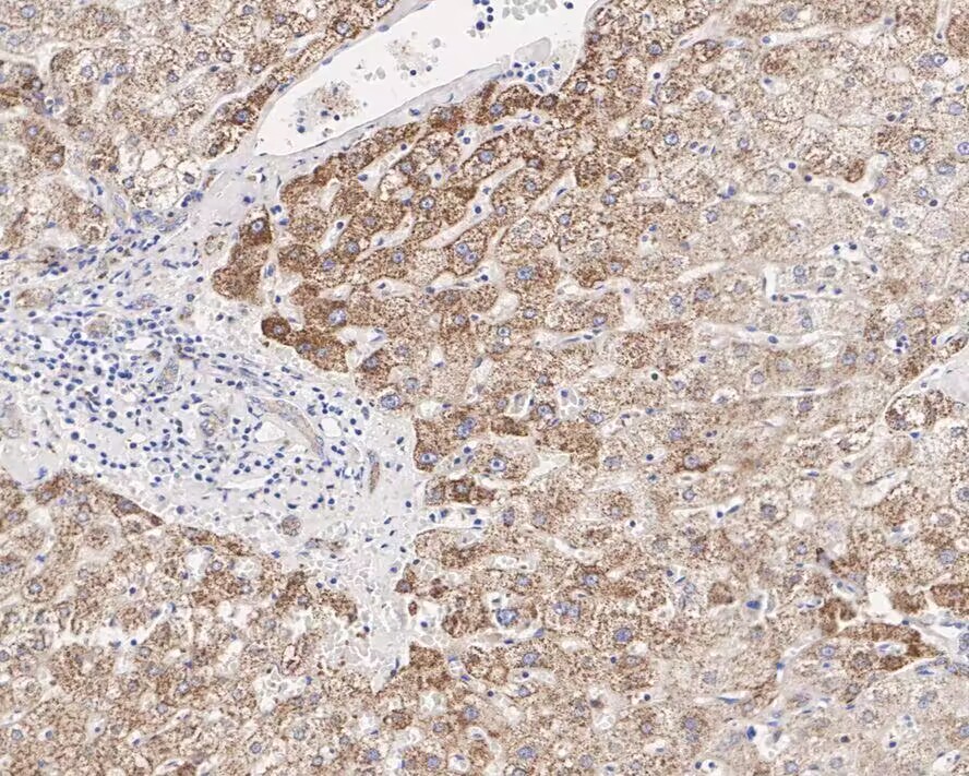
Immunohistochemical analysis of paraffin-embedded human liver tissue with Rabbit anti-NUR77 antibody (ET1703-97) at 1/1,000 dilution. The section was pre-treated using heat mediated antigen retrieval with sodium citrate buffer (pH 6.0) for 2 minutes. The tissues were blocked in 1% BSA for 20 minutes at room temperature, washed with ddH2O and PBS, and then probed with the primary antibody at 1/1,000 dilution for 1 hour at room temperature. The detection was performed using an HRP conjugated compact polymer system. DAB was used as the chromogen. Tissues were counterstained with hematoxylin and mounted with DPX.
,

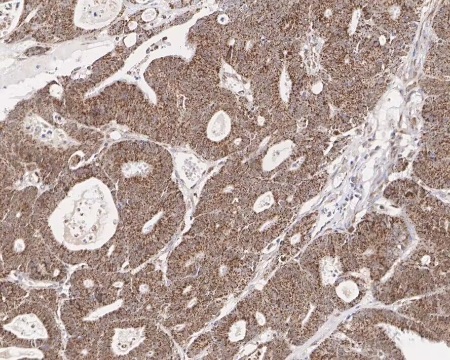
Immunohistochemical analysis of paraffin-embedded human colon carcinoma tissue with Rabbit anti-NUR77 antibody at 1/1,000 dilution. The section was pre-treated using heat mediated antigen retrieval with sodium citrate buffer (pH 6.0) for 2 minutes. The tissues were blocked in 1% BSA for 20 minutes at room temperature, washed with ddH2O and PBS, and then probed with the primary antibody at 1/1,000 dilution for 1 hour at room temperature. The detection was performed using an HRP conjugated compact polymer system. DAB was used as the chromogen. Tissues were counterstained with hematoxylin and mounted with DPX.
,

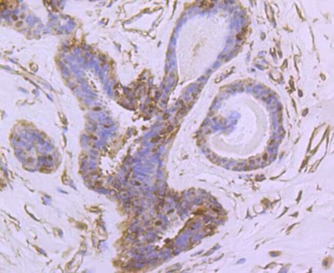
Immunohistochemical analysis of paraffin-embedded human breast tissue using anti-NUR77 antibody. The section was pre-treated using heat mediated antigen retrieval with Tris-EDTA buffer (pH 8.0-8.4) for 20 minutes.The tissues were blocked in 5% BSA for 30 minutes at room temperature, washed with ddH2O and PBS, and then probed with the primary antibody (1/50) for 30 minutes at room temperature. The detection was performed using an HRP conjugated compact polymer system. DAB was used as the chromogen. Tissues were counterstained with hematoxylin and mounted with DPX.
,

Immunohistochemical analysis of paraffin-embedded human breast tissue using anti-NUR77 antibody. The section was pre-treated using heat mediated antigen retrieval with Tris-EDTA buffer (pH 8.0-8.4) for 20 minutes.The tissues were blocked in 5% BSA for 30 minutes at room temperature, washed with ddH2O and PBS, and then probed with the primary antibody (1/50) for 30 minutes at room temperature. The detection was performed using an HRP conjugated compact polymer system. DAB was used as the chromogen. Tissues were counterstained with hematoxylin and mounted with DPX.
,

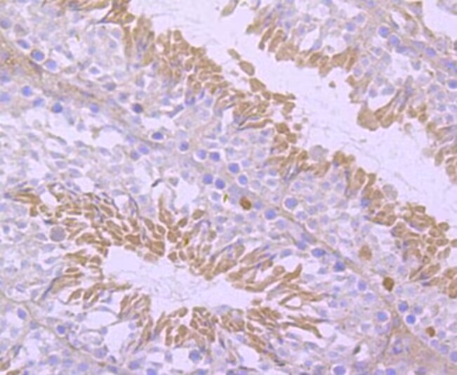
Immunohistochemical analysis of paraffin-embedded mouse ovarian tissue using anti-NUR77 antibody. The section was pre-treated using heat mediated antigen retrieval with Tris-EDTA buffer (pH 8.0-8.4) for 20 minutes.The tissues were blocked in 5% BSA for 30 minutes at room temperature, washed with ddH2O and PBS, and then probed with the primary antibody (1/50) for 30 minutes at room temperature. The detection was performed using an HRP conjugated compact polymer system. DAB was used as the chromogen. Tissues were counterstained with hematoxylin and mounted with DPX.
风险提示:丁香通仅作为第三方平台,为商家信息发布提供平台空间。用户咨询产品时请注意保护个人信息及财产安全,合理判断,谨慎选购商品,商家和用户对交易行为负责。对于医疗器械类产品,请先查证核实企业经营资质和医疗器械产品注册证情况。
文献和实验:使用 Anti-phospho-Akt (Ser473) Rabbit mAb 对石蜡包埋的人乳腺癌组织进行免疫组织化学分析。(图 A)使用免疫组化试剂盒M&R HRP/DAB Detection IHC Kit,抗体 1:100 稀释;(图 B) 采用普通免疫组化试剂盒,抗体 1:25 稀释。 图 6 免疫组化实验检测 Erk1/2 表达 注:使用 Anti-Erk1/2 Mouse mAb与p44/42 MAPK (Erk1/2)Rabbit mAb 对正常小鼠心脏组织进行免疫
h)即可。2. 修复大法——不仅仅是「煮一煮」微波炉修复:简单易行效果好,CST 推荐使用微波炉完成修复。合适的修复液:根据抗体说明书使用合适的修复液。用柠檬酸修复后,切片需浸泡在修复液中,自然冷却;而用 EDTA 修复后,切片可直接从修复缸中取出,直接进行下一步。注:使用不同的修复方式和不同生产商的抗体检测人肺癌组织中 EGFR 的表达。第一排为 CST 的 EGF Receptor (D38B1) XP® Rabbit mAb(#4267),EDTA 的修复方式明显优于柠檬酸盐及胃蛋白
到 PVDF 膜上,同时减少蛋白不必要降解,这对于最终获得清晰、可信结果也是需要考虑因素。抗体信息:1.ACC1, Recombinant Rabbit monoclonal IgG. HuaAn. HuaAn biotechnology , inc.2.ATGL, Mouse mAb IgG1, Cat#:RT1058. HuaAn biotechnology , inc.3.p-PERK(Thr981), Rabbit Polyclonal IgG primary antibodies, Cat
技术资料暂无技术资料 索取技术资料






![SATB2 Conjugated Antibody[C49685]](https://img1.dxycdn.com/p/s14/2025/0923/305/2150219664296040791.jpg!wh200)
![GUCA2A Antibody[47614]](https://img1.dxycdn.com/p/s14/2025/0923/496/0462304380155040791.jpg!wh200)
![ACBD6 Antibody[34378]](https://img1.dxycdn.com/p/s14/2025/0922/359/6146153295428599691.jpg!wh200)
![TCF3 Conjugated Antibody[C56049]](https://img1.dxycdn.com/p/s14/2025/0922/632/2321321568067599691.jpg!wh200)
