相关产品推荐更多 >
万千商家帮你免费找货
0 人在求购买到急需产品
- 详细信息
- 文献和实验
- 技术资料
- 抗体名:
14-3-3 alpha+beta Rabbit mAb
- 抗体英文名:
14-3-3 alpha+beta Rabbit mAb
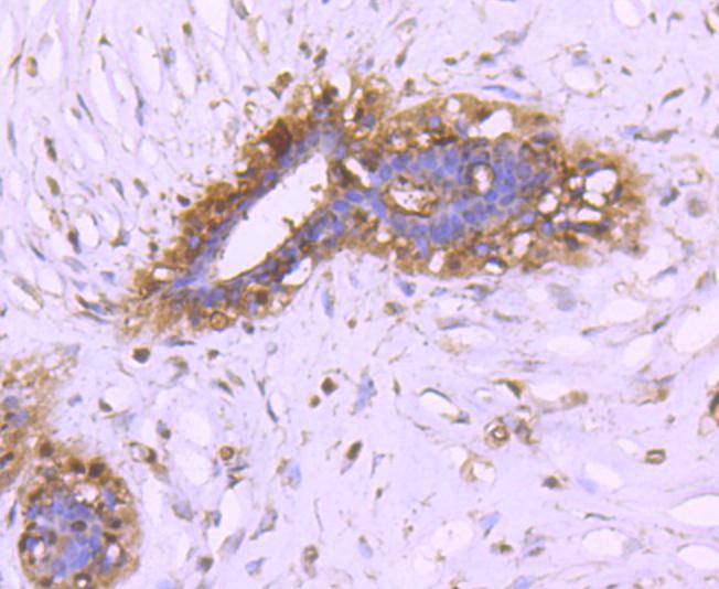
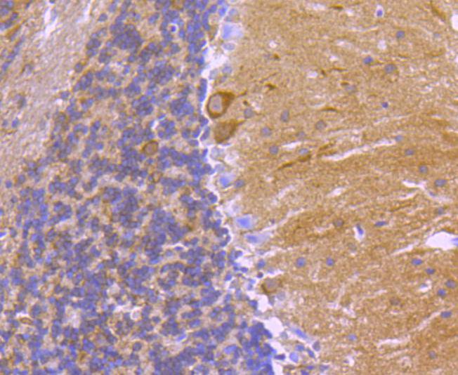
- 应用范围:
WB, ICC, IHC, IP, FC
- 宿主:
Recombinant Rabbit
- 适应物种:
Human;Mouse;Rat
- 抗原来源:
Recombinant Rabbit
- 供应商:
南京赛戈巍生物科技有限公司
- 保存条件:
Store at -20°C
- 免疫原:
recombinant protein
purification
ProA affinity purified
applications
WB, ICC, IHC, IP, FC
appl_detail
WB: 1:1,000-5,000
IHC: 1:50-1:200
ICC: 1:100-1:500
FC: 1:50-1:100
other_names
14 3 3 alpha antibody
14 3 3 protein beta/alpha antibody
14-3-3 protein beta/alpha antibody
1433B_HUMAN antibody
Brain protein 14 3 3 beta isoform antibody
GW128 antibody
HS 1 antibody
KCIP-1 antibody
KCIP1 antibody
N-terminally processed antibody
Protein 1054 antibody
Protein kinase C inhibitor protein 1 antibody
YWHAA antibody
YWHAB antibody
calculated_mw
28 kDa
formulation
1*TBS (pH7.4), 1%BSA, 40%Glycerol. Preservative: 0.05% Sodium Azide.
uniprot
P31946
风险提示:丁香通仅作为第三方平台,为商家信息发布提供平台空间。用户咨询产品时请注意保护个人信息及财产安全,合理判断,谨慎选购商品,商家和用户对交易行为负责。对于医疗器械类产品,请先查证核实企业经营资质和医疗器械产品注册证情况。
文献和实验【求助】rabbit beta-globin intron这个内含子有什么作用啊?
maiqitu 在构建载体的时候要往里面加rabbit beta-globin intron,请问是为什么呢?谢了啊 zhujoker 那你到底是构建什么载体啊?还需要往里面加rabbit beta-globin intron,我也觉得奇怪。但是有一个东西是可能的,那就是你构建的是miRNA表达质粒,因为miRNA位于大多数基因间,也就是位于内含子得地方?不知道是不是你所想要的,呵呵! hcai55
7.8 or Binding Buffer.(6) BD tubing 14-170-12F (Fisher).(7) Polyethylene tubing Clay Adanes.(8) 18 Gauge needles.(9) Binding Buffer (BioRad): make 1L. 314g/L ddH2O and filter through 0.22 um, filter. pH=9.0.(10) Elution buffer (BioRad): make 500 ml. 11g/500 ml
hydroxylaseAssociation of a 14-3-3 protein with CMP-NeuAc:GM1 alpha 2,3-sialyltransferaseInteraction of 14-3-3 with signaling proteins is mediated by phosphoserineActivation-modulated association of 14-3-3 proteins with Cbl14-3-3 binding sequence in cytoplasmic domain
技术资料暂无技术资料 索取技术资料










