相关产品推荐更多 >
万千商家帮你免费找货
0 人在求购买到急需产品
- 详细信息
- 技术资料
- 免疫原:
recombinant protein
- 形态:
liquid
- 保存条件:
Store at -20˚C
- 克隆性:
Monoclonal antibody
- 适应物种:
Human;Mouse;Rat
- 保质期:
12 months
- 抗原来源:
Recombinant Rabbit
- 供应商:
南京赛戈巍生物科技有限公司
- 宿主:
Recombinant Rabbit
- 应用范围:
WB, ICC/IF, IHC
- 靶点:
Uniprot:P12109
- 抗体英文名:
Collagen VI Rabbit mAb
- 规格:
50ul/100ul
CO6A1_HUMAN antibody
COL6A1 antibody
COL6A2 antibody
COL6A3 antibody
Collagen alpha 2(VI) chain antibody
Collagen alpha 3(VI) chain antibody
Collagen alpha-1(VI) chain antibody
Collagen type VI alpha 1 antibody
Collagen type VI alpha 2 antibody
Collagen type VI alpha 3 antibody
Collagen VI alpha 1 polypeptide antibody
Collagen VI alpha 2 polypeptide antibody
Collagen VI alpha 3 polypeptide antibody
CollagenVI antibody
Human mRNA for collagen VI alpha 2 C terminal globular domain antibody
OPLL antibody
PP3610 antibody
计算分子量:134/109 kDa
配方:1*TBS (pH7.4), 1%BSA, 40%Glycerol. Preservative: 0.05% Sodium Azide.
应用详情:WB: 1:1,000-1:2,000
IHC: 1:50-1:200
ICC: 1:100-1:500
图片:
![Collagen VI Rabbit mAb[49207]](https://img1.dxycdn.com/p/s14/2025/0923/482/6391951748757140791.jpg)
Western blot analysis of Collagen VI on different lysates using anti-Collagen VI antibody at 1/1,000 dilution. Positive control:
Lane 1: Mouse heart
Lane 2: Human heart
Lane 3: Human kidney
,
![Collagen VI Rabbit mAb[49207]](https://img1.dxycdn.com/p/s14/2025/0923/842/6182679278757140791.jpg)
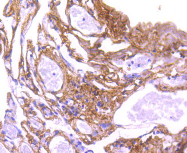
Immunohistochemical analysis of paraffin-embedded human lung tissue using anti-Collagen VI antibody. Counter stained with hematoxylin.
,
![Collagen VI Rabbit mAb[49207]](https://img1.dxycdn.com/p/s14/2025/0923/586/2937200478757140791.jpg)
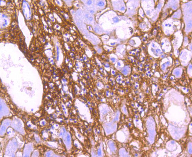
Immunohistochemical analysis of paraffin-embedded human liver tissue using anti-Collagen VI antibody. Counter stained with hematoxylin.
,
![Collagen VI Rabbit mAb[49207]](https://img1.dxycdn.com/p/s14/2025/0923/888/2785509178757140791.jpg)
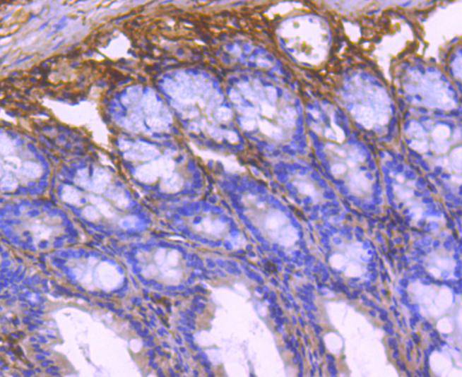
Immunohistochemical analysis of paraffin-embedded mouse colon tissue using anti-Collagen VI antibody. Counter stained with hematoxylin.
,
![Collagen VI Rabbit mAb[49207]](https://img1.dxycdn.com/p/s14/2025/0923/212/8862040078757140791.jpg)
ICC staining Collagen VI in Hela cells (green). The nuclear counter stain is DAPI (blue). Cells were fixed in paraformaldehyde, permeabilised with 0.25% Triton X100/PBS.
,
![Collagen VI Rabbit mAb[49207]](https://img1.dxycdn.com/p/s14/2025/0923/207/6754018748757140791.jpg)
ICC staining Collagen VI in A549 cells (green). The nuclear counter stain is DAPI (blue). Cells were fixed in paraformaldehyde, permeabilised with 0.25% Triton X100/PBS.
,
![Collagen VI Rabbit mAb[49207]](https://img1.dxycdn.com/p/s14/2025/0923/589/0804102968757140791.jpg)
ICC staining Collagen VI in HepG2 cells (green). The nuclear counter stain is DAPI (blue). Cells were fixed in paraformaldehyde, permeabilised with 0.25% Triton X100/PBS.
,
![Collagen VI Rabbit mAb[49207]](https://img1.dxycdn.com/p/s14/2025/0923/919/8695179648757140791.jpg)
ICC staining Collagen VI in RH-35 cells (green). The nuclear counter stain is DAPI (blue). Cells were fixed in paraformaldehyde, permeabilised with 0.25% Triton X100/PBS.
风险提示:丁香通仅作为第三方平台,为商家信息发布提供平台空间。用户咨询产品时请注意保护个人信息及财产安全,合理判断,谨慎选购商品,商家和用户对交易行为负责。对于医疗器械类产品,请先查证核实企业经营资质和医疗器械产品注册证情况。
技术资料暂无技术资料 索取技术资料


![Collagen VI Rabbit mAb[49207]](https://img1.dxycdn.com/p/s14/2025/0923/496/0462304380155040791.jpg)


![MUC6 rabbit pAb[49094]](https://img1.dxycdn.com/p/s14/2025/0922/632/2321321568067599691.jpg!wh200)
![GFP-Tag Monoclonal Antibody(2G6)[44021]](https://img1.dxycdn.com/p/s14/2025/0922/568/0046652811090600791.jpg!wh200)
![ATM Conjugated Antibody[C21147]](https://img1.dxycdn.com/p/s14/2025/0923/278/4431488150116040791.jpg!wh200)
