相关产品推荐更多 >
万千商家帮你免费找货
0 人在求购买到急需产品
- 详细信息
- 技术资料
- 免疫原:
recombinant protein
- 形态:
liquid
- 保存条件:
Store at -20˚C
- 克隆性:
Monoclonal antibody
- 适应物种:
Human;Mouse
- 保质期:
12 months
- 抗原来源:
Recombinant Rabbit
- 供应商:
南京赛戈巍生物科技有限公司
- 宿主:
Recombinant Rabbit
- 应用范围:
WB, ICC/IF, IHC, IP, FC
- 靶点:
Uniprot:P51946
- 抗体英文名:
Cyclin H Rabbit mAb
- 规格:
50ul/100ul
AI661354 antibody
AV102684 antibody
AW538719 antibody
CAK antibody
CAK complex subunit antibody
ccnh antibody
CCNH_HUMAN antibody
CDK activating kinase antibody
CDK activating kinase complex subunit antibody
Cyclin dependent kinase activating kinase antibody
cyclin dependent kinase activating kinase complex subunit antibody
Cyclin H antibody
Cyclin-H antibody
CyclinH antibody
MO15 associated protein antibody
MO15-associated protein antibody
p34 antibody
p36 antibody
p37 antibody
计算分子量:38 kDa
配方:1*TBS (pH7.4), 1%BSA, 40%Glycerol. Preservative: 0.05% Sodium Azide.
应用详情:WB: 1:1,000-5,000
IHC: 1:50-1:200
ICC: 1:100-1:500
FC: 1:50-1:100
图片:
![Cyclin H Rabbit mAb[49100]](https://img1.dxycdn.com/p/s14/2025/0923/111/0259147537217140791.png)
Western blot analysis of Cyclin H on K562 cells lysates using anti-Cyclin H antibody at 1/1,000 dilution.
,
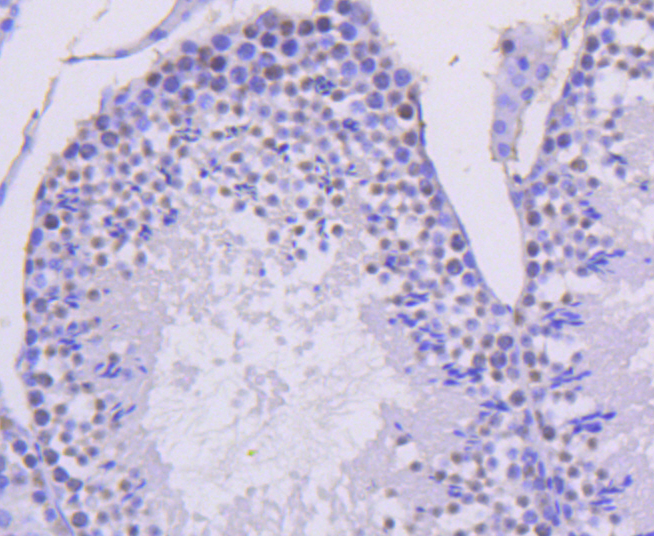
![Cyclin H Rabbit mAb[49100]](https://img1.dxycdn.com/p/s14/2025/0923/814/4224293203317140791.png)
Immunohistochemical analysis of paraffin-embedded mouse testis tissue using anti-Cyclin H antibody. Counter stained with hematoxylin.
,
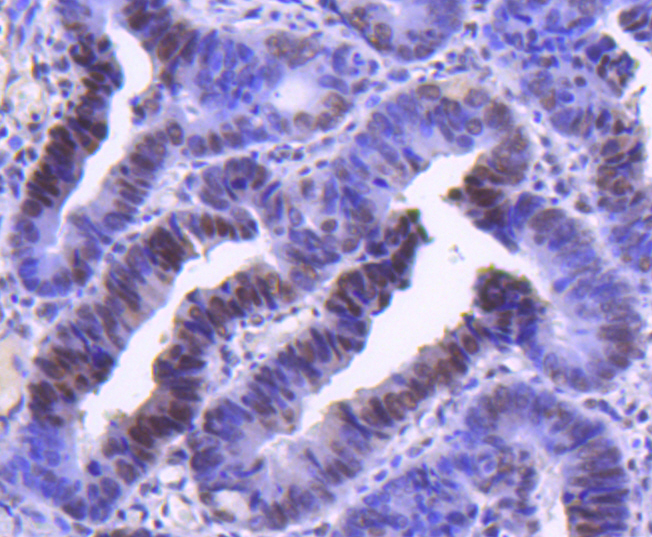
![Cyclin H Rabbit mAb[49100]](https://img1.dxycdn.com/p/s14/2025/0923/865/4490506785317140791.png)
Immunohistochemical analysis of paraffin-embedded human colon cancer tissue using anti-Cyclin H antibody. Counter stained with hematoxylin.
,
![Cyclin H Rabbit mAb[49100]](https://img1.dxycdn.com/p/s14/2025/0923/527/8653982037217140791.jpg)
ICC staining Cyclin H in Hela cells (green). The nuclear counter stain is DAPI (blue). Cells were fixed in paraformaldehyde, permeabilised with 0.25% Triton X100/PBS.
,
![Cyclin H Rabbit mAb[49100]](https://img1.dxycdn.com/p/s14/2025/0923/485/4855724794317140791.png)
ICC staining Cyclin H in MCF-7 cells (green). The nuclear counter stain is DAPI (blue). Cells were fixed in paraformaldehyde, permeabilised with 0.25% Triton X100/PBS.
,
![Cyclin H Rabbit mAb[49100]](https://img1.dxycdn.com/p/s14/2025/0923/684/2918804393317140791.png)
ICC staining Cyclin H in PC-3M cells (green). The nuclear counter stain is DAPI (blue). Cells were fixed in paraformaldehyde, permeabilised with 0.25% Triton X100/PBS.
,
![Cyclin H Rabbit mAb[49100]](https://img1.dxycdn.com/p/s14/2025/0923/503/2384419467217140791.png)
Flow cytometric analysis of Hela cells with Cyclin H antibody at 1/50 dilution (red) compared with an unlabelled control (cells without incubation with primary antibody; black). Alexa Fluor 488-conjugated goat anti rabbit IgG was used as the secondary antibody.
风险提示:丁香通仅作为第三方平台,为商家信息发布提供平台空间。用户咨询产品时请注意保护个人信息及财产安全,合理判断,谨慎选购商品,商家和用户对交易行为负责。对于医疗器械类产品,请先查证核实企业经营资质和医疗器械产品注册证情况。
技术资料暂无技术资料 索取技术资料


![Cyclin H Rabbit mAb[49100]](https://img1.dxycdn.com/p/s14/2025/0923/496/0462304380155040791.jpg)


![CD11a Mouse mAb[63228]](https://img1.dxycdn.com/p/s14/2025/0922/632/2321321568067599691.jpg!wh200)
![COL4A3 Conjugated Antibody[C37058]](https://img1.dxycdn.com/p/s14/2025/0923/278/4431488150116040791.jpg!wh200)
![NBPF7 Antibody[34855]](https://img1.dxycdn.com/p/s14/2025/0922/359/6146153295428599691.jpg!wh200)
