相关产品推荐更多 >
万千商家帮你免费找货
0 人在求购买到急需产品
- 详细信息
- 技术资料
- 免疫原:
recombinant protein
- 形态:
liquid
- 保存条件:
Store at -20˚C
- 克隆性:
Monoclonal antibody
- 适应物种:
Human;Mouse;Rat
- 保质期:
12 months
- 抗原来源:
Recombinant Rabbit
- 供应商:
南京赛戈巍生物科技有限公司
- 宿主:
Recombinant Rabbit
- 应用范围:
WB, ICC/IF, IHC
- 靶点:
Uniprot:P0CG47
- 抗体英文名:
K63-linkage Specific Ubiquitin Rabbit mAb
- 规格:
50ul/100ul
FLJ25987 antibody
HEL S 50 antibody
MGC8385 antibody
Polyubiquitin B antibody
RPS 27A antibody
RPS27A antibody
UBA 52 antibody
UBA 80 antibody
UBA52 antibody
UBA80 antibody
UBB antibody
UBB_HUMAN antibody
UBC antibody
UBCEP 1 antibody
UBCEP 2 antibody
UBCEP1 antibody
UBCEP2 antibody
Ubiquitin antibody
Ubiquitin B antibody
计算分子量:60-100 kDa
配方:1*TBS (pH7.4), 1%BSA, 40%Glycerol. Preservative: 0.05% Sodium Azide.
应用详情:WB: 1:1,000
IHC: 1:50-1:200
ICC: 1:100-1:500
图片:

Western blot analysis of K63-linkage Specific Ubiquitin on Hela cells lysates using anti-K63-linkage Specific Ubiquitin antibody at 1/1,000 dilution.
,

Immunohistochemical analysis of paraffin-embedded human colon cancer tissue using anti-K63-linkage Specific Ubiquitin antibody. Counter stained with hematoxylin.
,

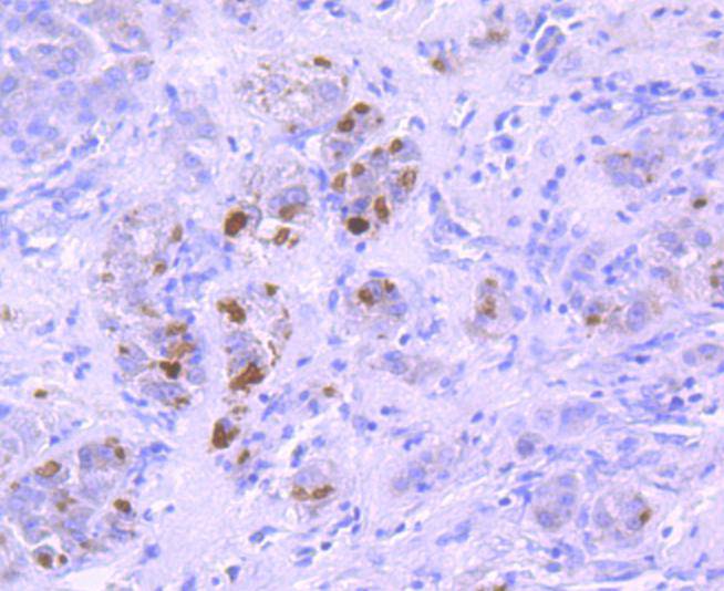
Immunohistochemical analysis of paraffin-embedded human liver cancer tissue using anti-K63-linkage Specific Ubiquitin antibody. Counter stained with hematoxylin.
,

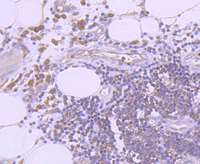
Immunohistochemical analysis of paraffin-embedded human spleen tissue using anti-K63-linkage Specific Ubiquitin antibody. Counter stained with hematoxylin.
,

ICC staining K63-linkage Specific Ubiquitin in Hela cells (red). The nuclear counter stain is DAPI (blue). Cells were fixed in paraformaldehyde, permeabilised with 0.25% Triton X100/PBS.
,

ICC staining K63-linkage Specific Ubiquitin in N2A cells (red). The nuclear counter stain is DAPI (blue). Cells were fixed in paraformaldehyde, permeabilised with 0.25% Triton X100/PBS.
,

ICC staining K63-linkage Specific Ubiquitin in 293T cells (red). The nuclear counter stain is DAPI (blue). Cells were fixed in paraformaldehyde, permeabilised with 0.25% Triton X100/PBS.
风险提示:丁香通仅作为第三方平台,为商家信息发布提供平台空间。用户咨询产品时请注意保护个人信息及财产安全,合理判断,谨慎选购商品,商家和用户对交易行为负责。对于医疗器械类产品,请先查证核实企业经营资质和医疗器械产品注册证情况。
技术资料暂无技术资料 索取技术资料


![K63-linkage Specific Ubiquitin Rabbit mAb[49420]](https://img1.dxycdn.com/p/s14/2025/0923/496/0462304380155040791.jpg)


![ELAV-like protein 2 Polyclonal Conjugated Antibody[C42158]](https://img1.dxycdn.com/p/s14/2025/0923/278/4431488150116040791.jpg!wh200)
![Caspase-3 Rabbit mAb[48658]](https://img1.dxycdn.com/p/s14/2025/0923/496/0462304380155040791.jpg!wh200)
