相关产品推荐更多 >
万千商家帮你免费找货
0 人在求购买到急需产品
- 详细信息
- 文献和实验
- 技术资料
- 免疫原:
recombinant protein
- 形态:
liquid
- 保存条件:
Store at -20˚C
- 克隆性:
Monoclonal antibody
- 适应物种:
Human
- 保质期:
12 months
- 抗原来源:
Recombinant Rabbit
- 供应商:
南京赛戈巍生物科技有限公司
- 宿主:
Recombinant Rabbit
- 应用范围:
WB, IHC, FC
- 靶点:
Uniprot:O95954
- 抗体英文名:
58K Golgi protein Rabbit mAb
- 规格:
50ul/100ul
Formimidoyltransferase cyclodeaminase antibody
Formiminotetrahydrofolate cyclodeaminase antibody
Formiminotransferase cyclodeaminase antibody
Formiminotransferase-cyclodeaminase antibody
FTCD antibody
FTCD_HUMAN antibody
Glutamate formiminotransferase antibody
Glutamate formyltransferase antibody
LCHC 1 antibody
LCHC1 antibody
计算分子量:59 kDa
配方:1*TBS (pH7.4), 1%BSA, 40%Glycerol. Preservative: 0.05% Sodium Azide.
应用详情:WB: 1:500-1:1000
IHC: 1:50-1:200
FC: 1:50-1:100
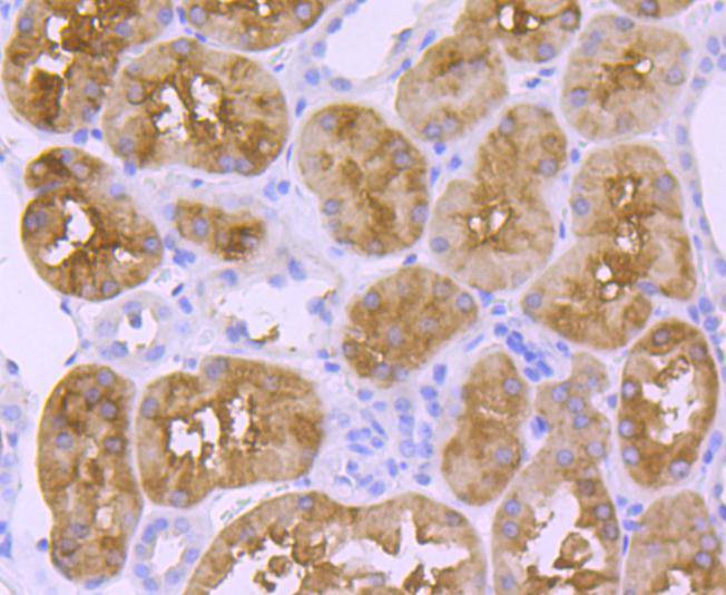
图片:

Immunohistochemical analysis of paraffin-embedded human liver tissue using anti-58K Golgi protein antibody. Counter stained with hematoxylin.
,

Immunohistochemical analysis of paraffin-embedded human kidney tissue using anti-58K Golgi protein antibody. Counter stained with hematoxylin.
,

Flow cytometric analysis of HepG2 cells with 58K Golgi protein antibody at 1/50 dilution (red) compared with an unlabelled control (cells without incubation with primary antibody; black). Alexa Fluor 488-conjugated goat anti rabbit IgG was used as the secondary antibody
风险提示:丁香通仅作为第三方平台,为商家信息发布提供平台空间。用户咨询产品时请注意保护个人信息及财产安全,合理判断,谨慎选购商品,商家和用户对交易行为负责。对于医疗器械类产品,请先查证核实企业经营资质和医疗器械产品注册证情况。
文献和实验祝贺〖雅裕睿安〗成为Signalway Antibody(SAB)独家
2+/Calmodulin-Dependent Protein Kinase II {delta} and Protein Kinase D Overexpression Reinforce. Circulation Research''102(6):695-702. 4.Pang J''Yan u C''Natarajan K''et al.(2008) GIT1 mediates HDAC5 activation by angiotensin II in vascular
High‐Throughput, Multiplexed Analysis of 3‐Nitrotyrosine in Individual Proteins
RANTES MAB678 c Lung surfactant protein A
The OP9-DL1 System: Generation of T-Lymphocytes from Embryonic or Hematopoietic Stem Cells In Vitro
al. 2006b ). MATERIALS Reagents Anti-CD24 monoclonal antibody (mAb) (J11d clone) (for Protocol 3) Use either culture supernatant that contains anti-CD24 mAb or purified anti-CD24 mAb (see Step 55). BDPharmLyse (red blood cell lysing
技术资料暂无技术资料 索取技术资料





![Neurofascin Rabbit mAb[52044]](https://img1.dxycdn.com/p/s14/2025/0922/498/0460884283108299691.jpg!wh200)
![WIPI1 Conjugated Antibody[C56469]](https://img1.dxycdn.com/p/s14/2025/0922/632/2321321568067599691.jpg!wh200)
![CKMT1B Conjugated Antibody[C30431]](https://img1.dxycdn.com/p/s14/2025/0923/305/2150219664296040791.jpg!wh200)
