相关产品推荐更多 >
万千商家帮你免费找货
0 人在求购买到急需产品
- 详细信息
- 文献和实验
- 技术资料
- 免疫原:
recombinant protein
- 形态:
liquid
- 保存条件:
Store at -20˚C
- 克隆性:
Monoclonal
- 适应物种:
Human
- 保质期:
12 months
- 抗原来源:
Recombinant Rabbit
- 供应商:
南京赛戈巍生物科技有限公司
- 宿主:
Recombinant Rabbit
- 应用范围:
WB, IHC
- 靶点:
Uniprot:P04275
- 抗体英文名:
Von Willebrand Factor Rabbit mAb
- 规格:
50ul/100ul
Coagulation factor VIII VWF antibody
F8VWF antibody
Factor VIII related antigen antibody
von Willebrand antigen 2 antibody
von Willebrand antigen II antibody
Von Willebrand disease antibody
VWD antibody
vWF antibody
VWF_HUMAN antibody
计算分子量:309 kDa
配方:Rabbit IgG in phosphate buffered saline , pH 7.4, 150mM NaCl, 0.02% sodium azide and 50% glycerol.
应用详情:
WB 1:500-1:2000 IHC 1:50-1:200
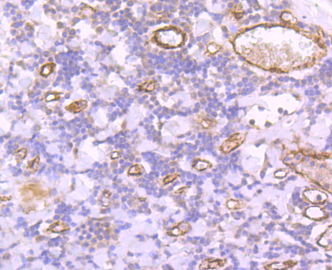
图片:

Immunohistochemical analysis of paraffin-embedded human tonsil tissue using anti-Von Willebrand Factor antibody. Counter stained with hematoxylin.
,

Western blot analysis of VWF expression in human serum lysate.
风险提示:丁香通仅作为第三方平台,为商家信息发布提供平台空间。用户咨询产品时请注意保护个人信息及财产安全,合理判断,谨慎选购商品,商家和用户对交易行为负责。对于医疗器械类产品,请先查证核实企业经营资质和医疗器械产品注册证情况。
文献和实验Multimeric Analysis of von Willebrand Factor
Von Willebrand Factor (vWF) in normal plasma is composed of a series of high molecular multimers, ranging in size from 8�105 to over 15�106 Daltons (1 ). The multimeric structure of vWF was first investigated by two-dimensional crossed
Screening for Candidate Mutations Causing von Willebrands Disease (vWD)
von Willebrand factor (vWF) is a large, complex glycoprotein that exists in plasma and platelets, and is synthesized by megakaryocytes and endothelial cells. vWF plays an essential role in hemostasis in at least two ways. It is involved
Snake Venom Toxins Affecting Platelet Function
Botrocetin from the South American pit viper Bothrops jararaca was described as an activator of von Willebrand factor-dependent platelet aggregation by Read, Shermer, and Brinkhous in 1978 (1 ). Subsequently, botrocetin has been widely used
技术资料暂无技术资料 索取技术资料





![TEX11 Antibody[47323]](https://img1.dxycdn.com/p/s14/2025/0923/496/0462304380155040791.jpg!wh200)
![MEOX2 Antibody[33789]](https://img1.dxycdn.com/p/s14/2025/0922/359/6146153295428599691.jpg!wh200)
![STX10 Antibody[40131]](https://img1.dxycdn.com/p/s14/2025/0922/568/0046652811090600791.jpg!wh200)
