相关产品推荐更多 >
万千商家帮你免费找货
0 人在求购买到急需产品
- 详细信息
- 文献和实验
- 技术资料
- 免疫原:
recombinant protein
- 形态:
liquid
- 保存条件:
Store at -20˚C
- 克隆性:
Monoclonal antibody
- 适应物种:
Human;Mouse;Rat
- 保质期:
12 months
- 抗原来源:
Recombinant Rabbit
- 供应商:
南京赛戈巍生物科技有限公司
- 宿主:
Recombinant Rabbit
- 应用范围:
WB, IHC
- 靶点:
Uniprot:Q9Y624
- 抗体英文名:
Junctional Adhesion Molecule 1 Rabbit mAb
- 规格:
50ul/100ul
CD321 antibody
CD321 antigen antibody
ESTM33 antibody
F11 receptor antibody
F11R antibody
JAM 1 antibody
JAM A antibody
JAM antibody
JAM-1 antibody
JAM-A antibody
JAM1 antibody
JAM1_HUMAN antibody
JAMA antibody
JCAM antibody
Jcam1 antibody
Junction adhesion molecule 1 antibody
Junction adhesion molecule, mouse, homolog of antibody
Junctional adhesion molecule 1 antibody
Junctional adhesion molecule A antibody
KAT antibody
Ly106 antibody
PAM 1 antibody
PAM-1 antibody
PAM1 antibody
Platelet adhesion molecule 1 antibody
Platelet adhesion molecule antibody
Platelet F11 receptor antibody
PRO301 antibody
UNQ264 antibody
计算分子量:33 kDa
配方:1*TBS (pH7.4), 1%BSA, 40%Glycerol. Preservative: 0.05% Sodium Azide.
应用详情:WB: 1:1,000-5,000
IHC: 1:50-1:200
图片:

Western blot analysis of JAM-1 on different lysates using anti-JAM-1 antibody at 1/1,000 dilution. Positive control:
Lane 1: Hela
Lane 2: Human liver
,

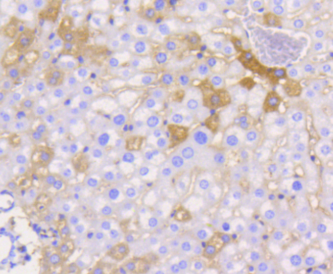
Immunohistochemical analysis of paraffin-embedded mouse liver tissue using anti-JAM-1 antibody. Counter stained with hematoxylin.
,

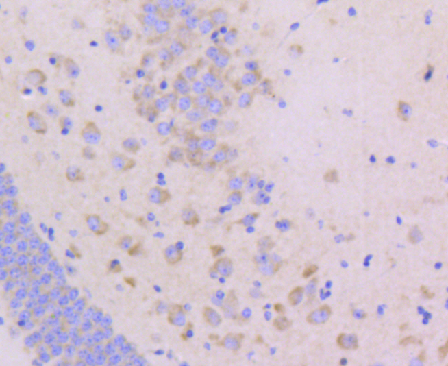
Immunohistochemical analysis of paraffin-embedded mouse brain tissue using anti-JAM-1 antibody. Counter stained with hematoxylin.
风险提示:丁香通仅作为第三方平台,为商家信息发布提供平台空间。用户咨询产品时请注意保护个人信息及财产安全,合理判断,谨慎选购商品,商家和用户对交易行为负责。对于医疗器械类产品,请先查证核实企业经营资质和医疗器械产品注册证情况。
文献和实验Endogenous Inhibitory Mechanisms and the Regulation of Platelet Function
proliferator-activated receptors, liver X receptor), and emerging inhibitory pathways (canonical Wnt signalling, Semaphorin 3A, endothelial cell specific adhesion molecule, and junctional adhesion molecule-A).
Methods for Evaluation of Structural and Biological Properties of Antiinvasive Natural Products
representatives including three selected structural classes, a macrolide, a β-carboline alkaloid, and a phenylmethylene hydantoin (PMH), were then tested for their ability to stabilize junctional complexes and enhance cell–cell adhesion of androgen independent
-term culture of human primary gastric epithelial cells obtained from gastric biopsy specimens, and the use of these cells to evaluate the effect of H. pylori on the junctional adhesion molecule-A protein.
技术资料暂无技术资料 索取技术资料





![PATZ1 Antibody[37800]](https://img1.dxycdn.com/p/s14/2025/0922/359/6146153295428599691.jpg!wh200)
![Islet amyloid polypeptide Polyclonal Antibody[42558]](https://img1.dxycdn.com/p/s14/2025/0922/568/0046652811090600791.jpg!wh200)
![STC1 Rabbit mAb[56740]](https://img1.dxycdn.com/p/s14/2025/0922/632/2321321568067599691.jpg!wh200)
![VPS26 Rabbit mAb[49803]](https://img1.dxycdn.com/p/s14/2025/0923/278/4431488150116040791.jpg!wh200)
![RNASE2 Polyclonal Antibody[31781]](https://img1.dxycdn.com/p/s14/2025/0923/305/2150219664296040791.jpg!wh200)
