相关产品推荐更多 >
万千商家帮你免费找货
0 人在求购买到急需产品
- 详细信息
- 技术资料
- 免疫原:
recombinant protein
- 形态:
liquid
- 保存条件:
Store at -20˚C
- 克隆性:
Monoclonal antibody
- 适应物种:
Human
- 保质期:
12 months
- 抗原来源:
Recombinant Rabbit
- 供应商:
南京赛戈巍生物科技有限公司
- 宿主:
Recombinant Rabbit
- 应用范围:
WB, ICC/IF, IHC, FC
- 靶点:
Uniprot:Q15465
- 抗体英文名:
Sonic Hedgehog Protein/SHH(C-Product) Rabbit mAb
- 规格:
50ul/100ul
HHG-1 antibody
HHG1 antibody
HLP 3 antibody
HLP3 antibody
Holoprosencephaly 3 antibody
HPE 3 antibody
HPE3 antibody
MCOPCB5 antibody
shh antibody
SHH_HUMAN antibody
SMMC I antibody
SMMCI antibody
Sonic Hedgehog (Drosophila) homolog antibody
sonic hedgehog homolog (Drosophila) antibody
Sonic hedgehog homolog antibody
Sonic hedgehog protein antibody
Sonic hedgehog protein C-product antibody
TPT antibody
TPTPS antibody
计算分子量:50 kDa
配方:1*TBS (pH7.4), 1%BSA, 40%Glycerol. Preservative: 0.05% Sodium Azide.
应用详情:WB: 1:1,000-1:2,000
IHC: 1:200-1:500
ICC: 1:50-1:200
FC: 1:50-1:100
图片:

Western blot analysis of Sonic Hedgehog Protein on different lysates using anti-Sonic Hedgehog Protein antibody at 1/1,000 dilution. Positive control:
Lane 1: Hela
Lane 2: HepG2
,

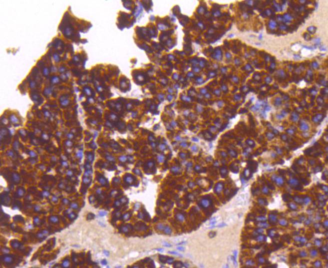
Immunohistochemical analysis of paraffin-embedded human liver cancer tissue using anti-Sonic Hedgehog Protein antibody. Counter stained with hematoxylin.
,

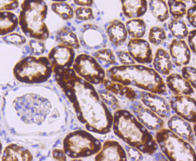
Immunohistochemical analysis of paraffin-embedded human kidney tissue using anti-Sonic Hedgehog Protein antibody. Counter stained with hematoxylin.
,

ICC staining Sonic Hedgehog Protein in Hela cells (green). The nuclear counter stain is DAPI (blue). Cells were fixed in paraformaldehyde, permeabilised with 0.25% Triton X100/PBS.
,

ICC staining Sonic Hedgehog Protein in A549 cells (green). The nuclear counter stain is DAPI (blue). Cells were fixed in paraformaldehyde, permeabilised with 0.25% Triton X100/PBS.
,

ICC staining Sonic Hedgehog Protein in 293 cells (green). The nuclear counter stain is DAPI (blue). Cells were fixed in paraformaldehyde, permeabilised with 0.25% Triton X100/PBS.
,

Flow cytometric analysis of Hela cells with Sonic Hedgehog Protein antibody at 1/50 dilution (red) compared with an unlabelled control (cells without incubation with primary antibody; black). Alexa Fluor 488-conjugated goat anti rabbit IgG was used as the secondary antibody.
风险提示:丁香通仅作为第三方平台,为商家信息发布提供平台空间。用户咨询产品时请注意保护个人信息及财产安全,合理判断,谨慎选购商品,商家和用户对交易行为负责。对于医疗器械类产品,请先查证核实企业经营资质和医疗器械产品注册证情况。
技术资料暂无技术资料 索取技术资料


![Sonic Hedgehog Protein/SHH(C-Product) Rabbit mAb[48975]](https://img1.dxycdn.com/p/s14/2025/0923/496/0462304380155040791.jpg)


![NOP10 Conjugated Antibody[C57004]](https://img1.dxycdn.com/p/s14/2025/0922/632/2321321568067599691.jpg!wh200)
![Beclin 1 Polyclonal Antibody[30900]](https://img1.dxycdn.com/p/s14/2025/0923/278/4431488150116040791.jpg!wh200)
![RHOB Antibody[34999]](https://img1.dxycdn.com/p/s14/2025/0922/359/6146153295428599691.jpg!wh200)
![RRS1 Polyclonal Antibody[41417]](https://img1.dxycdn.com/p/s14/2025/0922/568/0046652811090600791.jpg!wh200)
