相关产品推荐更多 >
万千商家帮你免费找货
0 人在求购买到急需产品
- 详细信息
- 文献和实验
- 技术资料
- 免疫原:
Synthetic peptide within C-terminal human ERGI3.
- 形态:
liquid
- 保存条件:
Store at -20˚C
- 克隆性:
Polyclonal
- 适应物种:
Human;Mouse;Rat
- 保质期:
12 months
- 抗原来源:
Rabbit
- 供应商:
南京赛戈巍生物科技有限公司
- 宿主:
Rabbit
- 应用范围:
WB,ICC,IHC,FC
- 靶点:
Uniprot:Q9Y282
- 抗体英文名:
ERGI3 Antibody
- 规格:
50ul/100ul
AV318804 antibody
C20orf47 antibody
CGI 54 antibody
D2Ucla1 antibody
dJ477O4.2 antibody
DKFZp547A2190 antibody
Endoplasmic reticulum Golgi intermediate compartment protein 3 antibody
endoplasmic reticulum localized protein ERp43 antibody
Endoplasmic reticulum-Golgi intermediate compartment protein 3 antibody
ERGI3_HUMAN antibody
ERGIC and golgi 3 antibody
ergic3 antibody
ERV46 antibody
NY BR 84 antibody
PRO0989 antibody
RP23-220D12.2 antibody
RP3-477O4.1 antibody
SDBCAG84 antibody
Serologically defined breast cancer antigen 84 antibody
Serologically defined breast cancer antigen NY BR 84 antibody
Serologically defined breast cancer antigen NY-BR-84 antibody
计算分子量:55 kDa
配方:1*TBS (pH7.4), 0.5%BSA, 50%Glycerol. Preservative: 0.05% Sodium Azide.
应用详情:WB: 1:500
IHC: 1:50-1:200
ICC: 1:50-1:200
FC: 1:50-1:100
图片:

Western blot analysis of ERGI3 on different lysates using anti-ERGI3 antibody at 1/500 dilution.
Positive control??
Lane1: SiHa
Lane2: Human placenta
Lane3: Rat bone marrow
,

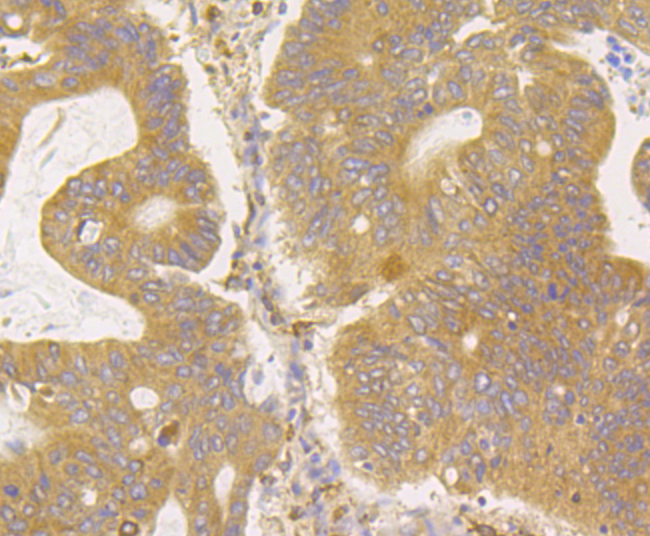
Immunohistochemical analysis of paraffin-embedded human colon cancer tissue using anti-ERGI3 antibody. Counter stained with hematoxylin.
,

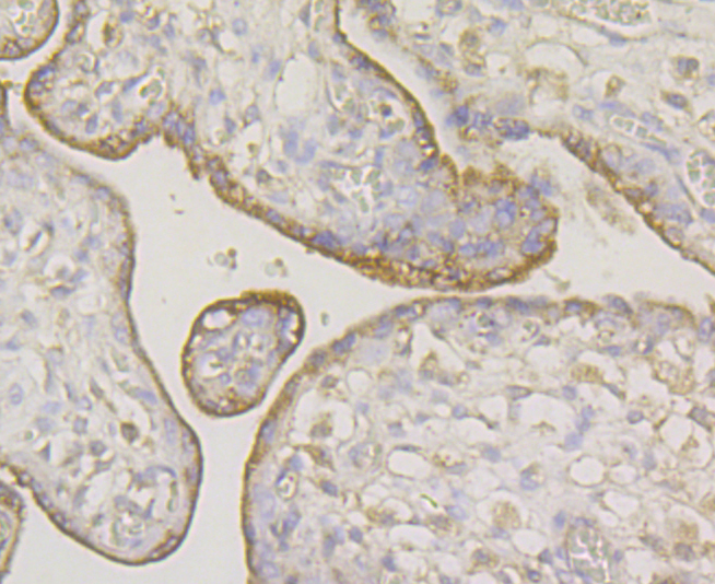
Immunohistochemical analysis of paraffin-embedded human placenta tissue using anti-ERGI3 antibody. Counter stained with hematoxylin.
,

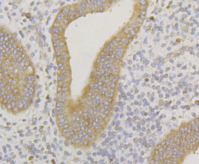
Immunohistochemical analysis of paraffin-embedded human uterus tissue using anti-ERGI3 antibody. Counter stained with hematoxylin.
,

Immunohistochemical analysis of paraffin-embedded mouse brain tissue using anti-ERGI3 antibody. Counter stained with hematoxylin.
,

ICC staining ERGI3 in LOVO cells (green). The nuclear counter stain is DAPI (blue). Cells were fixed in paraformaldehyde, permeabilised with 0.25% Triton X100/PBS.
,

ICC staining ERGI3 in SiHa cells (green). The nuclear counter stain is DAPI (blue). Cells were fixed in paraformaldehyde, permeabilised with 0.25% Triton X100/PBS.
,

Flow cytometric analysis of LOVO cells with ERGI3 antibody at 1/100 dilution (red) compared with an unlabelled control (cells without incubation with primary antibody; green). Alexa Fluor 488-conjugated goat anti-rabbit IgG was used as the secondary antibody.
风险提示:丁香通仅作为第三方平台,为商家信息发布提供平台空间。用户咨询产品时请注意保护个人信息及财产安全,合理判断,谨慎选购商品,商家和用户对交易行为负责。对于医疗器械类产品,请先查证核实企业经营资质和医疗器械产品注册证情况。
文献和实验Generation of Antibody Molecules Through Antibody Engineering
been overcome to a large extent using genetic-engineering techniques to produce chimeric mouse/human and completely human antibodies. Such an approach is particularly suitable because of the domain structure of the antibody molecule ( 2 ), where functional
The importance of antibody molecules was first recognized in the 1890s, when it was shown that immunity to tetanus and diphtheria was caused by antibodies against the bacterial exotoxins (1 ). Around the same time, it was shown that antisera
General comments: Antibodies, like most proteins, do not like to be freeze-thawed. Avoid repetitive freezing of your solution. The best way to store your antibody is to keep a high protein concentration (>1 mg/ml), add some protease
技术资料暂无技术资料 索取技术资料





![NXN Rabbit Polyclonal Antibody[54394]](https://img1.dxycdn.com/p/s14/2025/0922/498/0460884283108299691.jpg!wh200)
![CRF-RI Polyclonal Antibody[41861]](https://img1.dxycdn.com/p/s14/2025/0922/568/0046652811090600791.jpg!wh200)
![Insulin Receptor (phospho-Tyr1361) Conjugated Antibody[C13308]](https://img1.dxycdn.com/p/s14/2025/0923/278/4431488150116040791.jpg!wh200)

