相关产品推荐更多 >
万千商家帮你免费找货
0 人在求购买到急需产品
- 详细信息
- 技术资料
- 免疫原:
Recombinant protein within human Fibulin 5 210-360 aa.
- 形态:
liquid
- 保存条件:
Store at -20˚C
- 克隆性:
Polyclonal
- 适应物种:
Human;Mouse;Rat
- 保质期:
12 months
- 抗原来源:
Rabbit
- 供应商:
南京赛戈巍生物科技有限公司
- 宿主:
Rabbit
- 应用范围:
WB,ICC,IHC,FC
- 靶点:
Uniprot:Q9UBX5
- 抗体英文名:
Fibulin 5 Antibody
- 规格:
50ul/100ul
ARCL1A antibody
ARMD3 antibody
Dance antibody
Developmental arteries and neural crest EGF like protein antibody
Developmental arteries and neural crest EGF-like protein antibody
EVEC antibody
Fbln5 antibody
FBLN5_HUMAN antibody
FIBL 5 antibody
FIBL-5 antibody
Fibulin-5 antibody
FLJ90059 antibody
UP50 antibody
Urine p50 protein antibody
计算分子量:50 kDa
配方:1*TBS (pH7.4), 0.5%BSA, 50%Glycerol. Preservative: 0.05% Sodium Azide.
应用详情:WB: 1:1,000-1:2,000
IHC: 1:50-1:200
ICC: 1:200
FC: 1:50-1:100
图片:

Western blot analysis of Fibulin 5 on human skin tissue lysate using anti-Fibulin 5 antibody at 1/1,000 dilution.
,

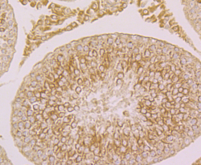
Immunohistochemical analysis of paraffin-embedded rat testis tissue using anti-Fibulin 5 antibody. Counter stained with hematoxylin.
,

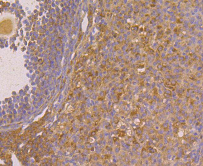
Immunohistochemical analysis of paraffin-embedded mouse ovary tissue using anti-Fibulin 5 antibody. Counter stained with hematoxylin.
,

ICC staining Fibulin 5 in JAR cells (green). The nuclear counter stain is DAPI (blue). Cells were fixed in paraformaldehyde, permeabilised with 0.25% Triton X100/PBS.
,

ICC staining Fibulin 5 in SiHa cells (green). The nuclear counter stain is DAPI (blue). Cells were fixed in paraformaldehyde, permeabilised with 0.25% Triton X100/PBS.
,

ICC staining Fibulin 5 in SKOV-3 cells (green). The nuclear counter stain is DAPI (blue). Cells were fixed in paraformaldehyde, permeabilised with 0.25% Triton X100/PBS.
,

Flow cytometric analysis of SiHa cells with Fibulin 5 antibody at 1/100 dilution (purple) compared with an unlabelled control (cells without incubation with primary antibody; yellow). Alexa Fluor 488-conjugated goat anti-rabbit IgG was used as the secondary antibody.
风险提示:丁香通仅作为第三方平台,为商家信息发布提供平台空间。用户咨询产品时请注意保护个人信息及财产安全,合理判断,谨慎选购商品,商家和用户对交易行为负责。对于医疗器械类产品,请先查证核实企业经营资质和医疗器械产品注册证情况。
技术资料暂无技术资料 索取技术资料





![ASIC1 Polyclonal Antibody[29593]](https://img1.dxycdn.com/p/s14/2025/0922/498/0460884283108299691.jpg!wh200)
![UBE2J2 Conjugated Antibody[C43366]](https://img1.dxycdn.com/p/s14/2025/0923/278/4431488150116040791.jpg!wh200)
![PAI-3 Conjugated Antibody[C48021]](https://img1.dxycdn.com/p/s14/2025/0923/305/2150219664296040791.jpg!wh200)
![CSF2RA antibody[38337]](https://img1.dxycdn.com/p/s14/2025/0922/359/6146153295428599691.jpg!wh200)
