相关产品推荐更多 >
万千商家帮你免费找货
0 人在求购买到急需产品
- 详细信息
- 文献和实验
- 技术资料
- 免疫原:
Synthetic peptide within human Kv4.3 440-480 aa.
- 形态:
liquid
- 保存条件:
Store at -20˚C
- 克隆性:
Polyclonal
- 适应物种:
Human;Mouse
- 保质期:
12 months
- 抗原来源:
Rabbit
- 供应商:
南京赛戈巍生物科技有限公司
- 宿主:
Rabbit
- 应用范围:
WB,ICC,IHC,FC
- 靶点:
Uniprot:Q9UK17
- 抗体英文名:
KV4.3 Antibody
- 规格:
50ul/100ul
KCND 3L antibody
KCND 3S antibody
Kcnd3 antibody
KCND3_HUMAN antibody
KCND3L antibody
KCND3S antibody
KSHIVB antibody
Kv 4.3 antibody
MGC14203 antibody
MGC142037 antibody
OTTHUMP00000063948 antibody
Potassium ioinic channel Kv4.3 antibody
Potassium voltage gated channel Shal related subfamily member 3 antibody
Potassium voltage gated channel subfamily D member 3 antibody
Potassium voltage-gated channel subfamily D member 3 antibody
Sha1 related potassium channel Kv4.3 antibody
Voltage gated K+ channel antibody
Voltage gated potassium channel Kv4.3 antibody
Voltage gated potassium channel subunit Kv4.3 antibody
Voltage-gated potassium channel subunit Kv4.3 antibody
计算分子量:73 kDa
配方:1*TBS (pH7.4), 0.5%BSA, 50%Glycerol. Preservative: 0.05% Sodium Azide.
应用详情:WB: 1:500-1:1,000
IHC: 1:50-1:200
ICC: 1:200
FC: 1:50-1:100
图片:

Western blot analysis of Kv4.3 on different lysates using anti-Kv4.3 antibody at 1/1,000 dilution.
Positive control??
Lane1: MCF-7
Lane2: Mouse marrow
,

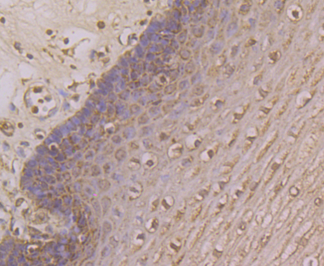
Immunohistochemical analysis of paraffin-embedded human esophagus tissue using anti-Kv4.3 antibody. Counter stained with hematoxylin.
,

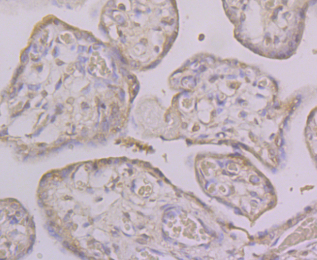
Immunohistochemical analysis of paraffin-embedded human placenta tissue using anti-Kv4.3 antibody. Counter stained with hematoxylin.
,

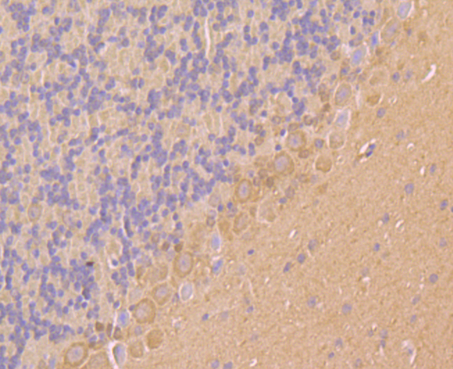
Immunohistochemical analysis of paraffin-embedded mouse cerebellum tissue using anti-Kv4.3 antibody. Counter stained with hematoxylin.
,

ICC staining Kv4.3 in LOVO cells (green). The nuclear counter stain is DAPI (blue). Cells were fixed in paraformaldehyde, permeabilised with 0.25% Triton X100/PBS.
,

ICC staining Kv4.3 in MCF-7 cells (green). The nuclear counter stain is DAPI (blue). Cells were fixed in paraformaldehyde, permeabilised with 0.25% Triton X100/PBS.
,

ICC staining Kv4.3 in MG-63 cells (green). The nuclear counter stain is DAPI (blue). Cells were fixed in paraformaldehyde, permeabilised with 0.25% Triton X100/PBS.
,

Flow cytometric analysis of MG-63 cells with Kv4.3 antibody at 1/100 dilution (purple) compared with an unlabelled control (cells without incubation with primary antibody; yellow). Alexa Fluor 488-conjugated goat anti-rabbit IgG was used as the secondary antibody
风险提示:丁香通仅作为第三方平台,为商家信息发布提供平台空间。用户咨询产品时请注意保护个人信息及财产安全,合理判断,谨慎选购商品,商家和用户对交易行为负责。对于医疗器械类产品,请先查证核实企业经营资质和医疗器械产品注册证情况。
文献和实验Generation of Antibody Molecules Through Antibody Engineering
been overcome to a large extent using genetic-engineering techniques to produce chimeric mouse/human and completely human antibodies. Such an approach is particularly suitable because of the domain structure of the antibody molecule ( 2 ), where functional
The importance of antibody molecules was first recognized in the 1890s, when it was shown that immunity to tetanus and diphtheria was caused by antibodies against the bacterial exotoxins (1 ). Around the same time, it was shown that antisera
General comments: Antibodies, like most proteins, do not like to be freeze-thawed. Avoid repetitive freezing of your solution. The best way to store your antibody is to keep a high protein concentration (>1 mg/ml), add some protease
技术资料暂无技术资料 索取技术资料





![S100A14 Conjugated Antibody[C40088]](https://img1.dxycdn.com/p/s14/2025/0923/278/4431488150116040791.jpg!wh200)
![USP45 Antibody[35125]](https://img1.dxycdn.com/p/s14/2025/0922/359/6146153295428599691.jpg!wh200)
![TRMT1 Rabbit Polyclonal Antibody[55126]](https://img1.dxycdn.com/p/s14/2025/0922/498/0460884283108299691.jpg!wh200)
![FoxO1 Polyclonal Antibody[40934]](https://img1.dxycdn.com/p/s14/2025/0922/568/0046652811090600791.jpg!wh200)
![CD24 Conjugated Antibody[C56960]](https://img1.dxycdn.com/p/s14/2025/0922/632/2321321568067599691.jpg!wh200)

