相关产品推荐更多 >
万千商家帮你免费找货
0 人在求购买到急需产品
- 详细信息
- 文献和实验
- 技术资料
- 免疫原:
Recombinant protein
- 形态:
liquid
- 保存条件:
Store at -20˚C
- 克隆性:
Polyclonal
- 适应物种:
Human;Mouse
- 保质期:
12 months
- 抗原来源:
Rabbit
- 供应商:
南京赛戈巍生物科技有限公司
- 宿主:
Rabbit
- 应用范围:
WB,ICC,IHC
- 靶点:
Uniprot:P24158
- 抗体英文名:
PRTN3 Antibody
- 规格:
50ul/100ul
AGP 7 antibody
AGP7 antibody
AGP7 serine proteinase antibody
Azurophil Granule Protein 7 antibody
C ANCA antibody
C ANCA antigen antibody
C-ANCA antigen antibody
CANCA antibody
EC 3.4.21.76 antibody
Leukocyte proteinase 3 antibody
MBN antibody
MBT antibody
MBT WEGENER AUTOANTIGEN antibody
Myeloblastin antibody
Neutrophil proteinase 4 antibody
NP 4 antibody
NP-4 antibody
NP4 antibody
P29 antibody
PR 3 antibody
PR-3 antibody
PR3 antibody
Proteinase 3 antibody
Proteinase3 antibody
PRTN 3 antibody
Prtn3 antibody
PRTN3_HUMAN antibody
Serine proteinase neutrophil Wegener granulomatosis autoantigen antibody
Serine proteinase, neutrophil antibody
Wegener autoantigen antibody
Wegener granulomatosis autoantigen antibody
计算分子量:27 kDa
配方:1*TBS (pH7.4), 0.5%BSA, 50%Glycerol. Preservative: 0.05% Sodium Azide.
应用详情:WB: 1:500
IHC: 1:100-1:500
ICC: 1:50-1:200
图片:

Western blot analysis of PRTN3 on U937 using anti-PRTN3 antibody at 1/500 dilution.
,

Western blot analysis of PRTN3 on mouse marrow lysate using anti-PRTN3 antibody at 1/100 dilution.
,

Immunohistochemical analysis of paraffin-embedded human lung cancer tissue using anti-PRTN3 antibody. Counter stained with hematoxylin.
,

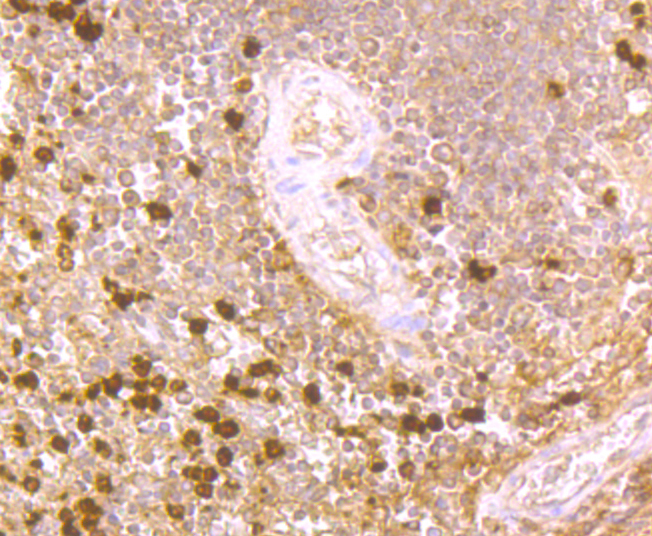
Immunohistochemical analysis of paraffin-embedded human spleen tissue using anti-PRTN3 antibody. Counter stained with hematoxylin.
,

ICC staining PRTN3 in 293T cells (green). The nuclear counter stain is DAPI (blue). Cells were fixed in paraformaldehyde, permeabilised with 0.25% Triton X100/PBS.
,

ICC staining PRTN3 in A549 cells (green). The nuclear counter stain is DAPI (blue). Cells were fixed in paraformaldehyde, permeabilised with 0.25% Triton X100/PBS.
,

ICC staining PRTN3 in SH-SY5Y cells (green). The nuclear counter stain is DAPI (blue). Cells were fixed in paraformaldehyde, permeabilised with 0.25% Triton X100/PBS.
风险提示:丁香通仅作为第三方平台,为商家信息发布提供平台空间。用户咨询产品时请注意保护个人信息及财产安全,合理判断,谨慎选购商品,商家和用户对交易行为负责。对于医疗器械类产品,请先查证核实企业经营资质和医疗器械产品注册证情况。
文献和实验Generation of Antibody Molecules Through Antibody Engineering
been overcome to a large extent using genetic-engineering techniques to produce chimeric mouse/human and completely human antibodies. Such an approach is particularly suitable because of the domain structure of the antibody molecule ( 2 ), where functional
The importance of antibody molecules was first recognized in the 1890s, when it was shown that immunity to tetanus and diphtheria was caused by antibodies against the bacterial exotoxins (1 ). Around the same time, it was shown that antisera
General comments: Antibodies, like most proteins, do not like to be freeze-thawed. Avoid repetitive freezing of your solution. The best way to store your antibody is to keep a high protein concentration (>1 mg/ml), add some protease
技术资料暂无技术资料 索取技术资料





![KIF2A Antibody[36570]](https://img1.dxycdn.com/p/s14/2025/0922/359/6146153295428599691.jpg!wh200)

![Mouse Anti-Human IgA - AF350[L35129]](https://img1.dxycdn.com/p/s14/2025/0922/498/0460884283108299691.jpg!wh200)

