相关产品推荐更多 >
万千商家帮你免费找货
0 人在求购买到急需产品
- 详细信息
- 文献和实验
- 技术资料
- 免疫原:
recombinant protein
- 形态:
liquid
- 保存条件:
Store at -20˚C
- 克隆性:
Monoclonal
- 适应物种:
Hu, zebrafish
- 保质期:
12 months
- 抗原来源:
Mouse
- 供应商:
南京赛戈巍生物科技有限公司
- 宿主:
Mouse
- 应用范围:
WB, IHC
- 靶点:
Uniprot:O75874
- 抗体英文名:
Isocitrate dehydrogenase/IDH1 Antibody
- 规格:
50ul/100ul
Cytosolic NADP-isocitrate dehydrogenase antibody
Epididymis luminal protein 216 antibody
Epididymis secretory protein Li 26 antibody
HEL-216 antibody
HEL-S-26 antibody
ICDH antibody
IDCD antibody
IDH antibody
IDH1 antibody
IDHC_HUMAN antibody
IDP antibody
IDPC antibody
Isocitrate dehydrogenase [NADP] cytoplasmic antibody
Isocitrate dehydrogenase 1 (NADP+) soluble antibody
NADP dependent isocitrate dehydrogenase cytosolic antibody
NADP dependent isocitrate dehydrogenase peroxisomal antibody
NADP(+)-specific ICDH antibody
Oxalosuccinate decarboxylase antibody
PICD antibody
计算分子量:47 kDa
配方:1*TBS (pH7.4), 1%BSA, 40%Glycerol. Preservative: 0.05% Sodium Azide.
应用详情:WB: 1:1,000
IHC: 1:100-1:200
图片:

Western blot analysis of IDH1 on different cell lysates using anti-IDH1 antibody at 1/1000 dilution. Positive control: Lane 1: Hela Lane 2: HepG2 Lane 3: A431 Lane 4: MCF-7 Lane 5: A549 Lane 6: Jurkat Lane 7: Human kidney Lane 8: Human brain Lane 9: Human liver
,

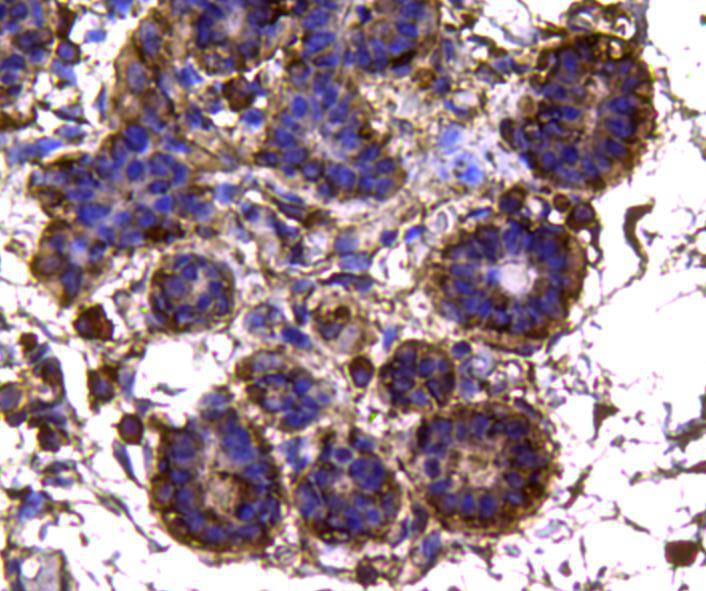
Immunohistochemical analysis of paraffin-embedded human colon carcinoma tissue using anti-IDH1 antibody. Counter stained with hematoxylin.
,

Immunohistochemical analysis of paraffin-embedded human breast tissue using anti-IDH1 antibody. Counter stained with hematoxylin.
,

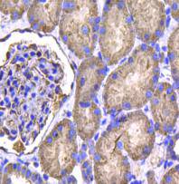
Immunohistochemical analysis of paraffin-embedded human kidney tissue using anti-IDH1 antibody. Counter stained with hematoxylin.
风险提示:丁香通仅作为第三方平台,为商家信息发布提供平台空间。用户咨询产品时请注意保护个人信息及财产安全,合理判断,谨慎选购商品,商家和用户对交易行为负责。对于医疗器械类产品,请先查证核实企业经营资质和医疗器械产品注册证情况。
文献和实验Nature 重磅:新发脑胶质瘤疫苗初见成效,瞄准肿瘤「阿喀琉斯之踵」
Parsons DW 教授在胶质母细胞瘤中首次发现异柠檬酸脱氢酶-1(isocitrate dehydrogenase,IDH1)突变以来,IDH1 突变的影响及意义逐渐成为了脑胶质瘤的研究热点。许多科学家以 IDH1 为靶点,通过肿瘤疫苗、细胞疗法等免疫治疗方式,以期在脑胶质瘤的治疗中取得突破 [1]。 2021 年 3 月 24 日,来自德国海德堡的 Michael Platten 团队研制出了一种靶向 IDH1 突变的肿瘤疫苗(IDH-vac)。这种肿瘤疫苗可以在患者体内有效激活抗肿瘤免疫应答反应
[资源] 所有的看家基因(housekeeping genes)列表+引物设计服务
, subunit e (ATP5I), mRNA 2623 NM_006936 Homo sapiens SMT3 suppressor of mif two 3 homolog 1 (yeast) (SMT3H1), mRNA 1187 NM_006899 Homo sapiens isocitrate dehydrogenase 3 (NAD+) beta (IDH3B), mRNA 565 NM_006801 Homo sapiens KDEL (Lys-Asp-Glu-Leu
DETECTION OF ß-GALACTOSIDASE AND ALKALINE PHOSPHATASE ACTIVITIES IN TISSUE
from cleavage of either X-gal or X-Phos (shown in (A) above). When reduced, NBT forms formazan, a dark purple precipitate. REFERENCES *Altman, F.P. 1972. Quantitative dehydrogenase histochemistry with special reference to the pentose shunt
技术资料暂无技术资料 索取技术资料






![CENPT Conjugated Antibody[C46472]](https://img1.dxycdn.com/p/s14/2025/0923/305/2150219664296040791.jpg!wh200)
![CCNT1 Conjugated Antibody[C36822]](https://img1.dxycdn.com/p/s14/2025/0923/278/4431488150116040791.jpg!wh200)

