相关产品推荐更多 >
万千商家帮你免费找货
0 人在求购买到急需产品
- 详细信息
- 文献和实验
- 技术资料
- 免疫原:
Purified recombinant fragment of ApoA
- 形态:
liquid
- 保存条件:
Store at -20˚C
- 克隆性:
Monoclonal
- 适应物种:
Human
- 保质期:
12 months
- 抗原来源:
Mouse
- 供应商:
南京赛戈巍生物科技有限公司
- 宿主:
Mouse
- 应用范围:
WB;IHC;IF
- 靶点:
Uniprot:P08519
- 抗体英文名:
LPA Antibody
- 规格:
50ul/100ul
计算分子量:226kDa
配方:Liquid in PBS containing 50% glycerol, 0.5% BSA and 0.02% sodium azide.
应用详情:WB 1:500 - 1:2000;
IHC 1:200 - 1:1000;
IF 1:50 - 1:200
图片:

Western blot analysis of Lipoprotein a on human Lipoprotein a recombinant protein using anti- Lipoprotein a antibody at 1/1,000 dilution.
,

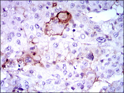
Immunohistochemical analysis of paraffin-embedded human liver cancer tissue using anti- Lipoprotein a antibody. Counter stained with hematoxylin.
,

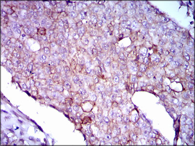
Immunohistochemical analysis of paraffin-embedded human breast cancer tissue using anti- Lipoprotein a antibody. Counter stained with hematoxylin.
,

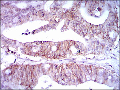
Immunohistochemical analysis of paraffin-embedded human rectum cancer tissue using anti- Lipoprotein a antibody. Counter stained with hematoxylin.
,

ICC staining Lipoprotein a (green) and actin filaments (red) in HepG2 cell. The nuclear counter stain is DAPI (blue). Cells were fixed in paraformaldehyde, permeabilised with 0.25% Triton X100/PBS.
风险提示:丁香通仅作为第三方平台,为商家信息发布提供平台空间。用户咨询产品时请注意保护个人信息及财产安全,合理判断,谨慎选购商品,商家和用户对交易行为负责。对于医疗器械类产品,请先查证核实企业经营资质和医疗器械产品注册证情况。
文献和实验人溶血磷脂酸(LPA) 酶联免疫分析( ELISA ) 试剂盒使用说明书 本试剂仅供研究使用 目的:本试剂盒用于测定人血清,血浆及相关液体样本中溶血磷脂酸(LPA) 的 含量。 实验原理: 本试剂盒应用双抗体夹心法测定标本中人溶血磷脂酸 (LPA) 水平。用纯化的人溶血磷脂酸 (LPA) 抗体包被微孔板,制成固相抗体,往包被单抗的微孔中依次加入溶血磷脂酸 (LPA) , 再与 HRP
大鼠溶血磷脂酸(LPA) 酶联免疫分析( ELISA ) 试剂盒使用说明书 本试剂仅供研究使用 目的:本试剂盒用于测定大鼠血清,血浆及相关液体样本中溶血磷脂酸(LPA) 的 含量。 实验原理: 本试剂盒应用双抗体夹心法测定标本中大鼠溶血磷脂酸 (LPA) 水平。用纯化的大鼠溶血磷脂酸 (LPA) 抗体包被微孔板,制成固相抗体,往包被单抗的微孔中依次加入溶血磷脂酸 (LPA
上海西唐生物科技有限公司 021-55229872, 65333639 www.westang.com 人脂蛋白a (LPa)ELISA 试剂盒 ( 用于血清、血浆、细胞培养上清液和其它生物体液内 ) 原理 本实验采用双抗体夹心 ABC-ELISA 法。用抗人 LPa 单抗包被于酶标板上,标准品和样品中的 LPa与单抗结合,加入生物素化的抗人 LPa ,形成免疫
技术资料暂无技术资料 索取技术资料






![VAV1 Mouse mAb[64395]](https://img1.dxycdn.com/p/s14/2025/0922/632/2321321568067599691.jpg!wh200)
![CLCN7 Antibody[34580]](https://img1.dxycdn.com/p/s14/2025/0922/359/6146153295428599691.jpg!wh200)
![FN3KRP Conjugated Antibody[C47691]](https://img1.dxycdn.com/p/s14/2025/0923/305/2150219664296040791.jpg!wh200)
![SSBP4 Antibody[40337]](https://img1.dxycdn.com/p/s14/2025/0922/568/0046652811090600791.jpg!wh200)

