相关产品推荐更多 >
万千商家帮你免费找货
0 人在求购买到急需产品
- 详细信息
- 文献和实验
- 技术资料
- 免疫原:
Peptide
- 形态:
liquid
- 保存条件:
Store at -20˚C
- 克隆性:
Monoclonal
- 适应物种:
Human;Rat
- 保质期:
12 months
- 抗原来源:
Mouse
- 供应商:
南京赛戈巍生物科技有限公司
- 宿主:
Mouse
- 应用范围:
WB,IHC
- 靶点:
Uniprot:P59665
- 抗体英文名:
HNP-1 Antibody
- 规格:
50ul/100ul
DEF1 antibody
DEF1_HUMAN antibody
DEFA1 antibody
DEFA1B antibody
DEFA2 antibody
Defensin 1 antibody
Defensin antibody
Defensin, alpha 1 antibody
Defensin, alpha 1, myeloid related sequence antibody
Defensin, alpha 2 antibody
HNP-1 antibody
HNP-2 antibody
HNP1 antibody
HP-1 antibody
HP-2 antibody
HP1 antibody
HP2 antibody
MRS antibody
Myeloid related sequence antibody
Neutrophil defensin 1 antibody
Neutrophil defensin 2 antibody
计算分子量:10 kDa
配方:1*TBS (pH7.4), 0.5%BSA, 50%Glycerol. Preservative: 0.05% Sodium Azide.
应用详情:WB: 1:500-1:2,000
IHC: 1:50-1:200
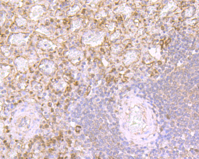
图片:

Western blot analysis of HNP-1 on rat spleen tissue lysates using anti-HNP-1 antibody at 1/500 dilution.
,

Immunohistochemical analysis of paraffin-embedded human spleen tissue using anti-HNP-1 antibody. Counter stained with hematoxylin.
风险提示:丁香通仅作为第三方平台,为商家信息发布提供平台空间。用户咨询产品时请注意保护个人信息及财产安全,合理判断,谨慎选购商品,商家和用户对交易行为负责。对于医疗器械类产品,请先查证核实企业经营资质和医疗器械产品注册证情况。
文献和实验人Neutrophil Peptide-1 (HNP-1)ELISA试剂盒 说明书
上海西唐生物科技有限公司 021-55229872, 65333639 www.westang.com 人 Neutrophil Peptide-1 (HNP-1)ELISA 试剂盒 ( 用于血清、血浆、细胞培养上清液和其它生物体液内 ) 原理 本实验采用双抗体夹心 ABC-ELISA 法。用抗人 HNP-1 单抗包被于酶标板上,标准品和样品中的 HNP-1与单抗
Generation of Antibody Molecules Through Antibody Engineering
been overcome to a large extent using genetic-engineering techniques to produce chimeric mouse/human and completely human antibodies. Such an approach is particularly suitable because of the domain structure of the antibody molecule ( 2 ), where functional
The importance of antibody molecules was first recognized in the 1890s, when it was shown that immunity to tetanus and diphtheria was caused by antibodies against the bacterial exotoxins (1 ). Around the same time, it was shown that antisera
技术资料暂无技术资料 索取技术资料





![PRAS40 Rabbit mAb[56183]](https://img1.dxycdn.com/p/s14/2025/0922/632/2321321568067599691.jpg!wh200)
![TYRO3/MERTK (phospho-Tyr749/681) Antibody[13303]](https://img1.dxycdn.com/p/s14/2025/0923/278/4431488150116040791.jpg!wh200)
![Brk (Phospho-Tyr447) Polyclonal Antibody[12268]](https://img1.dxycdn.com/p/s14/2025/0922/568/0046652811090600791.jpg!wh200)

