相关产品推荐更多 >
万千商家帮你免费找货
0 人在求购买到急需产品
- 详细信息
- 文献和实验
- 技术资料
- 免疫原:
peptide
- 形态:
liquid
- 保存条件:
Store at -20˚C
- 适应物种:
Human;Mouse;Rat
- 保质期:
12 months
- 供应商:
南京赛戈巍生物科技有限公司
- 应用范围:
WB, IP, IF, IHC(P)
- 靶点:
Uniprot:P21728
- 抗体英文名:
D(1A) dopamine recepr (DRD1) Antibody
- 规格:
50ul/100ul
D1A dopamine receptor antibody
DADR antibody
Dopamine D1 receptor antibody
dopamine receptor D1 antibody
DR D1 antibody
DR D1A antibody
DRD 1 antibody
DRD 1A antibody
DRD1 antibody
DRD1_HUMAN antibody
DRD1A antibody
计算分子量:74kDa
配方:1*TBS (pH7.4), 1%BSA, 40%Glycerol. Preservative: 0.05% Sodium Azide.
应用详情:
WB: 1:100-1:1,000
IHC: 1:50-1:500
IP: 1-2 μg per 100-500 μg of total protein (1 ml of cell lysate)
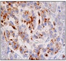
图片:

Western blot analysis of D1DR expression in KNRK (A) and HeLa (B) whole cell lysates.
,

Immunoperoxidase staining of formalin fixed, paraffin-embedded human pancreas tissue showing cytoplasmic staining of Islet of Langerhans.
风险提示:丁香通仅作为第三方平台,为商家信息发布提供平台空间。用户咨询产品时请注意保护个人信息及财产安全,合理判断,谨慎选购商品,商家和用户对交易行为负责。对于医疗器械类产品,请先查证核实企业经营资质和医疗器械产品注册证情况。
文献和实验. Lagenaur, C., Schachner, M., Solter, D., and Knowles, B. 1982. Monoclonal antibody against SSEA‐1 is specific for a subpopulation of astrocytes in mouse cerebellum. Neurosci. Lett. 31:181‐184
Use of Flow Cytometric Methods to Quantify Protein‐Protein Interactions
between RGS19 and Gαo binding is dependent on aluminum fluoride and is of high affinity ( K d ∼ 12 nM). View Image
Measurement of Oxygen Radicals and Lipid Peroxidation in Neural Tissues
Basic Protocol 8: GC/MS Determination and Quantification of 15‐F2T Isoprostane Materials 15 F 2t ‐isoprostane‐d 4 (8‐iso
技术资料暂无技术资料 索取技术资料





![MDFI Rabbit Polyclonal Antibody[53708]](https://img1.dxycdn.com/p/s14/2025/0922/498/0460884283108299691.jpg!wh200)
![Tbp7 Conjugated Antibody[C57143]](https://img1.dxycdn.com/p/s14/2025/0922/632/2321321568067599691.jpg!wh200)
![V-type proton ATPase subunit G 1 Polyclonal Conjugated Antibody[C42060]](https://img1.dxycdn.com/p/s14/2025/0923/278/4431488150116040791.jpg!wh200)

![MIXL1 Antibody[44781]](https://img1.dxycdn.com/p/s14/2025/0922/568/0046652811090600791.jpg!wh200)

