相关产品推荐更多 >
万千商家帮你免费找货
0 人在求购买到急需产品
- 详细信息
- 文献和实验
- 技术资料
- 免疫原:
recombinant protein
- 形态:
liquid
- 保存条件:
Store at -20˚C
- 克隆性:
Polyclonal
- 适应物种:
Human;Mouse;Rat
- 保质期:
12 months
- 抗原来源:
Rabbit
- 供应商:
南京赛戈巍生物科技有限公司
- 宿主:
Rabbit
- 应用范围:
WB, ICC, IHC
- 靶点:
Uniprot:Q9Y5S9
- 抗体英文名:
Y14 Antibody
- 规格:
50ul/100ul
Binder of OVCA1-1 antibody
BOV 1 antibody
BOV 1A antibody
BOV 1B antibody
BOV 1C antibody
BOV-1 antibody
BOV1 antibody
BOV1A antibody
BOV1B antibody
BOV1C antibody
HSPC 114 antibody
HSPC114 antibody
MDS 014 antibody
MDS014 antibody
RBM 8 antibody
RBM 8A antibody
RBM 8B antibody
RBM8 antibody
rbm8a antibody
RBM8A_HUMAN antibody
RBM8B antibody
Ribonucleoprotein RBM 8 antibody
Ribonucleoprotein RBM 8A antibody
Ribonucleoprotein RBM8 antibody
Ribonucleoprotein RBM8A antibody
RNA binding motif protein 8 antibody
RNA binding motif protein 8A antibody
RNA binding motif protein 8B antibody
RNA binding protein 8A antibody
RNA binding protein Y14 antibody
RNA-binding motif protein 8A antibody
RNA-binding protein 8A antibody
RNA-binding protein Y14 antibody
ZNRP antibody
ZRNP 1 antibody
ZRNP1 antibody
计算分子量:20kDa
配方:1*TBS (pH7.4), 1%BSA, 40%Glycerol. Preservative: 0.05% Sodium Azide.
应用详情:WB: 1:2000-1:5000
IHC: 1:200
ICC: 1:200
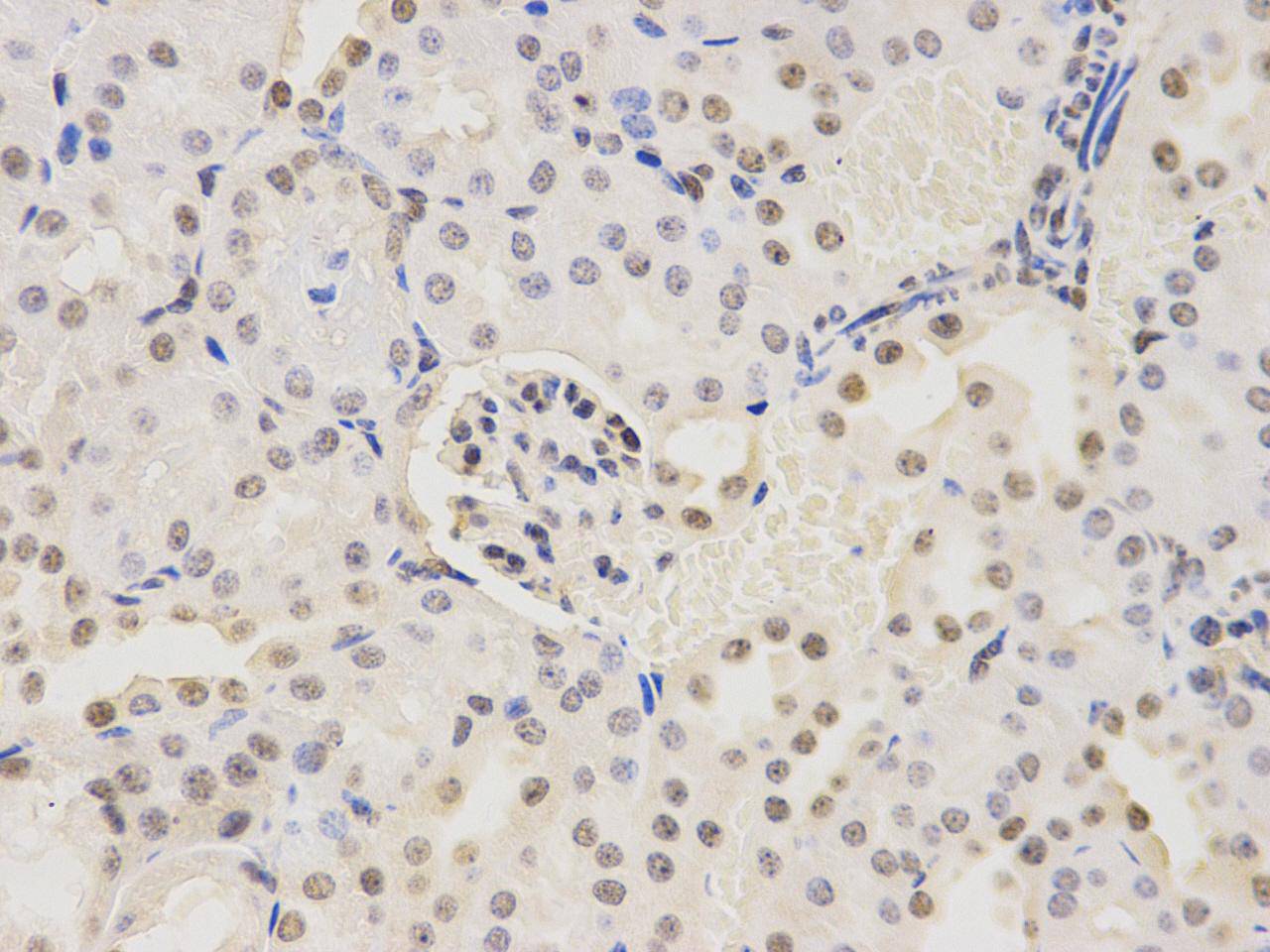
图片:

Western blot analysis on different cell lysates using anti-Y14 rabbit polyclonal antibodies.
,

Immunohistochemical analysis of paraffin-embedded mouse kidney tissue using anti- Y14 rabbit polyclonal antibody.
,

Immunohistochemical analysis of paraffin-embedded mouse heart tissue using anti- Y14 rabbit polyclonal antibody.
,

ICC staining Y14 in HUVEC cells (green). Cells were fixed in paraformaldehyde, permeabilised with 0.25% Triton X100/PBS and counterstained with DAPI in order to highlight the nucleus (blue).
风险提示:丁香通仅作为第三方平台,为商家信息发布提供平台空间。用户咨询产品时请注意保护个人信息及财产安全,合理判断,谨慎选购商品,商家和用户对交易行为负责。对于医疗器械类产品,请先查证核实企业经营资质和医疗器械产品注册证情况。
文献和实验Generation of Antibody Molecules Through Antibody Engineering
been overcome to a large extent using genetic-engineering techniques to produce chimeric mouse/human and completely human antibodies. Such an approach is particularly suitable because of the domain structure of the antibody molecule ( 2 ), where functional
The importance of antibody molecules was first recognized in the 1890s, when it was shown that immunity to tetanus and diphtheria was caused by antibodies against the bacterial exotoxins (1 ). Around the same time, it was shown that antisera
General comments: Antibodies, like most proteins, do not like to be freeze-thawed. Avoid repetitive freezing of your solution. The best way to store your antibody is to keep a high protein concentration (>1 mg/ml), add some protease
技术资料暂无技术资料 索取技术资料





![Tau (Phospho-Ser396) Conjugated Antibody[C14186]](https://img1.dxycdn.com/p/s14/2025/0922/632/2321321568067599691.jpg!wh200)
![SHC1 Antibody[48389]](https://img1.dxycdn.com/p/s14/2025/0923/496/0462304380155040791.jpg!wh200)
![BCAS3 Antibody[37148]](https://img1.dxycdn.com/p/s14/2025/0922/359/6146153295428599691.jpg!wh200)

![FCHO1 Antibody[39866]](https://img1.dxycdn.com/p/s14/2025/0922/568/0046652811090600791.jpg!wh200)
